Skip to main content

VISTA/B7-H5/PD-1H Antibody (CL3975) - Azide and BSA Free

Novus Biologicals, part of Bio-Techne | Catalog # NBP3-44112

Novus Biologicals, part of Bio-Techne

Key Product Details

Validated by

Orthogonal Validation

Species Reactivity

Human

Applications

Immunohistochemistry-Paraffin, Western Blot

Label

Unconjugated

Antibody Source

Monoclonal Mouse IgG1 Clone # CL3975

Format

Azide and BSA Free

Concentration

LYOPH mg/ml

Product Specifications

Immunogen

This antibody was generated using a recombinant protein sequence of Q9H7M9, with the exact immunogen sequence remaining proprietary.

Clonality

Monoclonal

Host

Mouse

Isotype

IgG1

Description

Novus Biologicals Mouse VISTA/B7-H5/PD-1H Antibody (CL3975) - Azide and BSA Free (NBP2-59030) is a monoclonal antibody validated for use in IHC and WB. All Novus Biologicals antibodies are covered by our 100% guarantee.

Scientific Data Images for VISTA/B7-H5/PD-1H Antibody (CL3975) - Azide and BSA Free

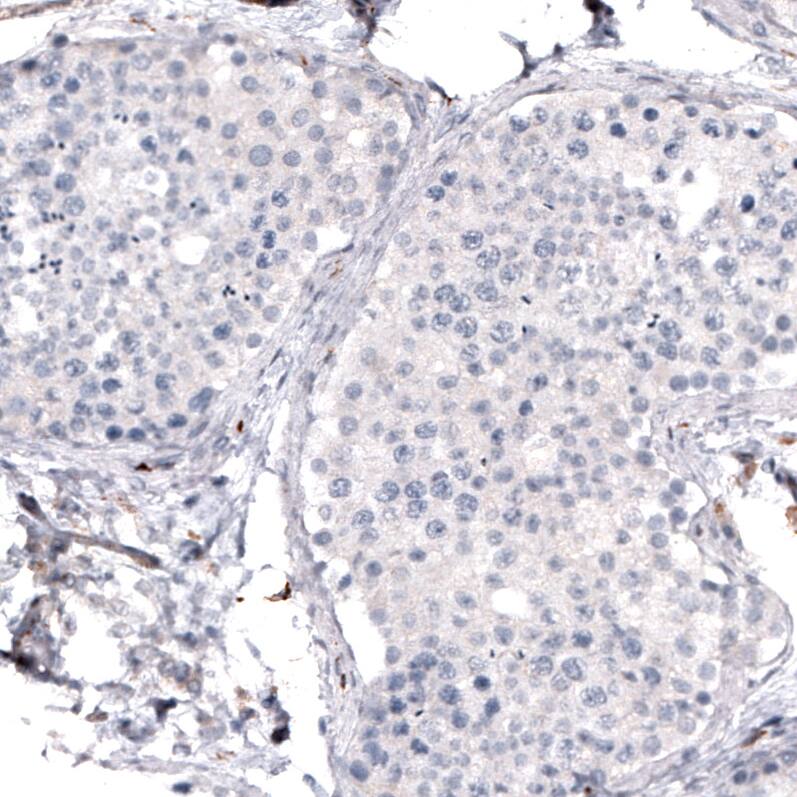
VISTA/B7-H5/PD-1H Antibody (CL3975) - Azide and BSA Free Immunohistochemistry-Paraffin: VISTA/B7-H5/PD-1H Antibody [NBP3-44112]

Immunohistochemistry-Paraffin: VISTA/B7-H5/PD-1H Antibody [NBP3-44112]

Analysis in human lymph node and testis tissues using NBP3-44112 antibody. Corresponding VISTA/B7-H5/PD-1H RNA-seq data are presented for the same tissues.
VISTA/B7-H5/PD-1H Antibody (CL3975) - Azide and BSA Free Immunohistochemistry-Paraffin: VISTA/B7-H5/PD-1H Antibody [NBP3-44112]

Immunohistochemistry-Paraffin: VISTA/B7-H5/PD-1H Antibody [NBP3-44112]

Staining of human rectum shows moderate to strong cytoplasmic positivity in lymphoid cells.
VISTA/B7-H5/PD-1H Antibody (CL3975) - Azide and BSA Free Immunohistochemistry-Paraffin: VISTA/B7-H5/PD-1H Antibody [NBP3-44112]

Immunohistochemistry-Paraffin: VISTA/B7-H5/PD-1H Antibody [NBP3-44112]

Staining of human lymph node shows moderate to strong cytoplasmic positivity in non-germinal center cells.

Applications for VISTA/B7-H5/PD-1H Antibody (CL3975) - Azide and BSA Free

Application
Recommended Usage

Immunohistochemistry-Paraffin

1:200 - 1:500

Western Blot

1 ug/ml
Application Notes
For IHC-Paraffin, HIER pH 6 retrieval is recommended.

Formulation, Preparation, and Storage

Purification

Protein A purified

Reconstitution

Centrifuge the vial of lyophilized antibody at 12,000 x g for 20 seconds. Reconstitute by adding sterile, distilled water to achieve a final antibody concentration of 1mg/ml.

Formulation

Lyophilized from a 0.2 um filtered solution in PBS with Trehalose

Format

Azide and BSA Free

Preservative

No Preservative

Concentration

LYOPH mg/ml

Shipping

The product is shipped at ambient temperature. Upon receipt, store it immediately at the temperature recommended below.

Stability & Storage

Store at 4C short term. Aliquot and store at -20C long term. Avoid freeze-thaw cycles.

Background: VISTA/B7-H5/PD-1H

VISTA (V-domain immunoglobulin suppressor of T cell activation) is a cell surface coinhibitory protein belonging to the CD28/B7 family. VISTA can act as both a ligand and a receptor in regulating T cell activity. VISTA is expressed on dendritic cells, monocytes, and both CD4+ and CD8+ T cells. VISTA functions as an inhibitory receptor downregulating CD4+ and CD8+ T cell proliferation and exhibiting a protective effect in mice from graft versus host disease, asthma, and acute hepatitis. VISTA also acts as a ligand on antigen presenting cells. Two cell surface expressed proteins VSIG-3 and PSGL-1 have been identified as binding partners of VISTA. Immune checkpoint proteins like the VISTA protein are often overexpressed by cancer cells or surrounding cells in the tumor microenvironment. VISTA upregulation occurs on tumor-infiltrating leukocytes and is expressed on several cancer types including melanoma, lung, ovarian, colon, prostate, and pancreatic cancer. Further, knockout and blocking antibody studies of VISTA have shown an increase in T cell responses in several mouse tumor models making VISTA a potential therapeutic target alone or in combination with other known immune checkpoint inhibitors. Alternative names of VISTA include PD-1H, Gi24, Dies1, and SISP1.

Alternate Names

4632428N05Rik, B7-H5, C10orf54, Dies1, Gi24, PD-1H, PD1H, SISP1, VSIR

Gene Symbol

VSIR

Additional VISTA/B7-H5/PD-1H Products

Product Documents for VISTA/B7-H5/PD-1H Antibody (CL3975) - Azide and BSA Free

Certificate of Analysis

To download a Certificate of Analysis, please enter a lot number in the search box below.

Product Specific Notices for VISTA/B7-H5/PD-1H Antibody (CL3975) - Azide and BSA Free

This product is for research use only and is not approved for use in humans or in clinical diagnosis. Primary Antibodies are guaranteed for 1 year from date of receipt.

Loading...
Loading...
Loading...
Loading...
Loading...