Skip to main content

Villin 1 Antibody (JU34-75)

Novus Biologicals, part of Bio-Techne | Catalog # NBP2-75707

Recombinant Monoclonal Antibody
Novus Biologicals, part of Bio-Techne
Catalog #
Availability
Size / Price
Qty
Loading...
NBP2-75707

Key Product Details

Species Reactivity

Human, Mouse, Rat

Applications

Multiplex Immunofluorescence, Immunohistochemistry, Immunohistochemistry-Paraffin, Western Blot, Flow Cytometry, Immunocytochemistry/ Immunofluorescence

Label

Unconjugated

Antibody Source

Recombinant Monoclonal Rabbit IgG Clone # JU34-75 expressed in HEK293

Concentration

1 mg/ml

Product Specifications

Immunogen

Synthetic peptide within Human Villin 1 aa 176-225 / 827. (SwissProt: P09327 Human; SwissProt: Q62468 Mouse)

Localization

Cytoskeleton.

Clonality

Monoclonal

Host

Rabbit

Isotype

IgG

Theoretical MW

93 kDa.
Disclaimer note: The observed molecular weight of the protein may vary from the listed predicted molecular weight due to post translational modifications, post translation cleavages, relative charges, and other experimental factors.

Description

Novus Biologicals Rabbit Villin 1 Antibody (JU34-75) (NBP2-75707) is a recombinant monoclonal antibody validated for use in Multiplex Immunofluorescence, IHC, WB, Flow and ICC/IF. All Novus Biologicals antibodies are covered by our 100% guarantee.

Scientific Data Images for Villin 1 Antibody (JU34-75)

Western Blot: Villin 1 Antibody (JU34-75) [NBP2-75707]

Western Blot: Villin 1 Antibody (JU34-75) [NBP2-75707]

Western Blot: Villin 1 Antibody (JU34-75) [NBP2-75707] - Analysis of Villin1 on different tissue lysates using anti-Villin1 antibody at 1:500 dilution. Positive control:Lane 1: Mouse colon. Lane 2: Human small intestine. Lane 3: Human colon. Lane 4: Rat kidney.
Immunocytochemistry/ Immunofluorescence: Villin 1 Antibody (JU34-75) [NBP2-75707]

Immunocytochemistry/ Immunofluorescence: Villin 1 Antibody (JU34-75) [NBP2-75707]

Immunocytochemistry/Immunofluorescence: Villin 1 Antibody (JU34-75) [NBP2-75707] - Staining Villin1 in LOVO cells (green). The nuclear counter stain is DAPI (blue). Cells were fixed in paraformaldehyde, permeabilised with 0.25% Triton X-100/PBS.
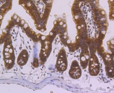
Immunohistochemistry-Paraffin: Villin 1 Antibody (JU34-75) [NBP2-75707]

Immunohistochemistry-Paraffin: Villin 1 Antibody (JU34-75) [NBP2-75707]

Immunohistochemistry-Paraffin: Villin 1 Antibody (JU34-75) [NBP2-75707] - Analysis of paraffin-embedded mouse colon tissue using anti-Villin1 antibody. Counter stained with hematoxylin.

Applications for Villin 1 Antibody (JU34-75)

Application
Recommended Usage

Flow Cytometry

1:50-1:100

Immunocytochemistry/ Immunofluorescence

1:500-1:2000

Immunohistochemistry-Paraffin

1:50-1:200

Multiplex Immunofluorescence

1:5000

Western Blot

1:500-1:2000

Reviewed Applications

Read 1 review rated 5 using NBP2-75707 in the following applications:

Formulation, Preparation, and Storage

Purification

Protein A purified

Formulation

TBS (pH7.4), 0.05% BSA, 40% Glycerol

Preservative

0.05% Sodium Azide

Concentration

1 mg/ml

Shipping

The product is shipped with polar packs. Upon receipt, store it immediately at the temperature recommended below.

Stability & Storage

Store at 4C short term. Aliquot and store at -20C long term. Avoid freeze-thaw cycles.

Background: Villin 1

Villin 1 encodes a member of a family of calcium-regulated actin-binding proteins. This protein represents a dominant part of the brush border cytoskeleton which functions in the capping, severing, and bundling of actin filaments. Two mRNAs of 2.7 kb and 3.5 kb have been observed; they result from utilization of alternate poly-adenylation signals present in the terminal exon. [provided by RefSeq]

Alternate Names

D2S1471, VIL, villin 1, villin-1

Gene Symbol

VIL1

Additional Villin 1 Products

Product Documents for Villin 1 Antibody (JU34-75)

Certificate of Analysis

To download a Certificate of Analysis, please enter a lot number in the search box below.

Product Specific Notices for Villin 1 Antibody (JU34-75)

This product is for research use only and is not approved for use in humans or in clinical diagnosis. Primary Antibodies are guaranteed for 1 year from date of receipt.

Loading...
Loading...
Loading...
Loading...
Loading...