Skip to main content

VGLUT2 Antibody (CL2952) - Azide and BSA Free

Novus Biologicals, part of Bio-Techne | Catalog # NBP3-43789

Novus Biologicals, part of Bio-Techne
Catalog #
Availability
Size / Price
Qty
Loading...
NBP3-43789
Conjugate
Catalog #
Forumulation
Catalog #

Key Product Details

Validated by

Orthogonal Validation

Species Reactivity

Human, Mouse, Rat, Rhesus Macaque

Applications

Immunohistochemistry, Immunohistochemistry-Paraffin

Label

Unconjugated

Antibody Source

Monoclonal Mouse IgG1 Clone # CL2952

Format

Azide and BSA Free

Concentration

LYOPH mg/ml

Product Specifications

Immunogen

This antibody was generated using a recombinant protein sequence of Q9P2U8, with the exact immunogen sequence remaining proprietary.

Reactivity Notes

Use in Rhesus Macaque reported in scientific publication (PMID: 32337749) used in alternate format NBP2-46641.

Clonality

Monoclonal

Host

Mouse

Isotype

IgG1

Scientific Data Images for VGLUT2 Antibody (CL2952) - Azide and BSA Free

VGLUT2 Antibody (CL2952) - Azide and BSA Free Immunohistochemistry-Paraffin: VGLUT2 Antibody [NBP3-43789]

Immunohistochemistry-Paraffin: VGLUT2 Antibody [NBP3-43789]

Analysis in human cerebral cortex and tonsil tissues using NBP3-43789 antibody. Corresponding VGLUT2 RNA-seq data are presented for the same tissues.
VGLUT2 Antibody (CL2952) - Azide and BSA Free Immunohistochemistry-Paraffin: VGLUT2 Antibody [NBP3-43789]

Immunohistochemistry-Paraffin: VGLUT2 Antibody [NBP3-43789]

Staining of human cerebellum shows strong positivity in glutamatergic fibers in molecular and granular layers.
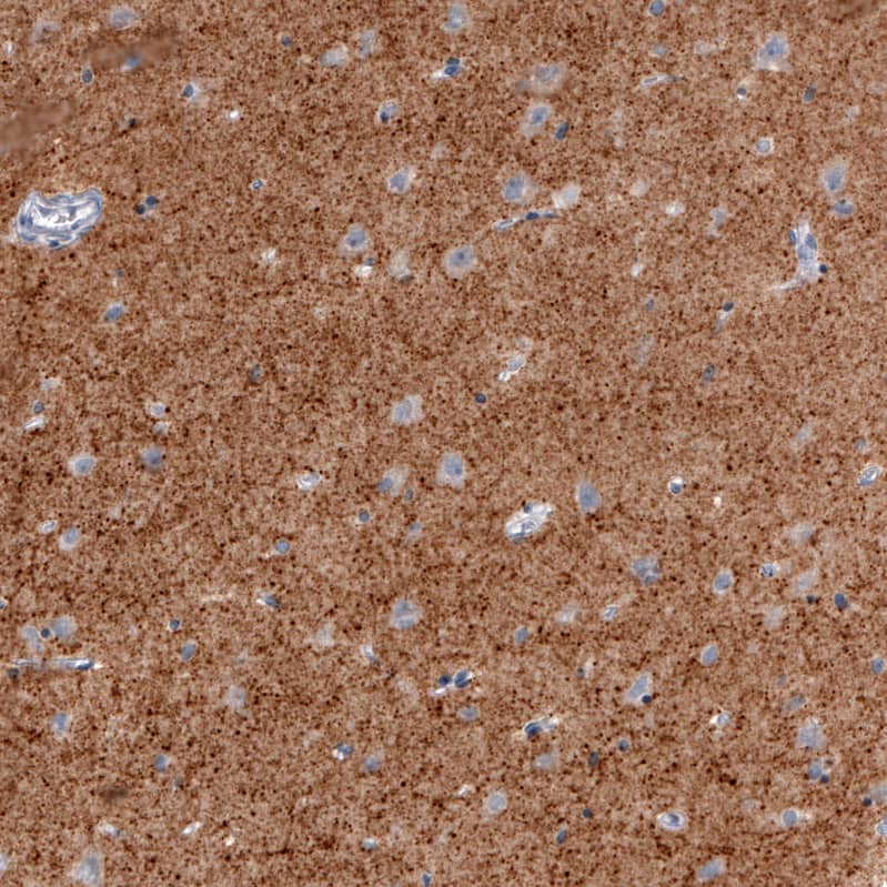
VGLUT2 Antibody (CL2952) - Azide and BSA Free Immunohistochemistry-Paraffin: VGLUT2 Antibody [NBP3-43789]

Immunohistochemistry-Paraffin: VGLUT2 Antibody [NBP3-43789]

Staining of human cerebral cortex shows strong positivity in neuropil.

Applications for VGLUT2 Antibody (CL2952) - Azide and BSA Free

Application
Recommended Usage

Immunohistochemistry

1:1000 - 1:2500

Immunohistochemistry-Paraffin

1:1000 - 1:2500
Application Notes
For IHC-Paraffin, HIER pH 6 retrieval is recommended.

Formulation, Preparation, and Storage

Purification

Protein A purified

Reconstitution

Centrifuge the vial of lyophilized antibody at 12,000 x g for 20 seconds. Reconstitute by adding sterile, distilled water to achieve a final antibody concentration of 1mg/ml.

Formulation

Lyophilized from a 0.2 um filtered solution in PBS with Trehalose

Format

Azide and BSA Free

Preservative

No Preservative

Concentration

LYOPH mg/ml

Shipping

The product is shipped at ambient temperature. Upon receipt, store it immediately at the temperature recommended below.

Stability & Storage

Store at 4C short term. Aliquot and store at -20C long term. Avoid freeze-thaw cycles.

Background: VGLUT2

VGLUT2 is a sodium dependent inorganic phosphate cotransporter that is involved in the calcium dependent glutamate release from astrocytes. It is expressed in only a subset of neurons, localized to synaptic vesicles, at synapses exhibiting classical excitatory features. VGLUT2 mRNA is found in brain regions that lack VGLUT1, a related protein also displaying sodium dependent inorganic phosphate cotransporter activity.

Alternate Names

differentiation-associated BNPI, differentiation-associated Na(+)-dependent inorganic phosphate cotransporter, differentiation-associated Na-dependent inorganic phosphate cotransporter, DNPI, solute carrier family 17 (sodium-dependent inorganic phosphate cotransporter), member 6, solute carrier family 17 member 6, vesicular glutamate transporter 2, VGLUT2

Gene Symbol

SLC17A6

Additional VGLUT2 Products

Product Documents for VGLUT2 Antibody (CL2952) - Azide and BSA Free

Certificate of Analysis

To download a Certificate of Analysis, please enter a lot number in the search box below.

Product Specific Notices for VGLUT2 Antibody (CL2952) - Azide and BSA Free

This product is for research use only and is not approved for use in humans or in clinical diagnosis. Primary Antibodies are guaranteed for 1 year from date of receipt.

Loading...
Loading...
Loading...
Loading...
Loading...