VGLUT1 Antibody - BSA Free
Novus Biologicals, part of Bio-Techne | Catalog # NBP2-39000
Key Product Details
Validated by
Orthogonal Validation, Independent Antibodies
Species Reactivity
Validated:
Human
Predicted:
Mouse (94%), Rat (94%). Backed by our 100% Guarantee.
Applications
Immunohistochemistry, Immunohistochemistry-Paraffin
Label
Unconjugated
Antibody Source
Polyclonal Rabbit IgG
Format
BSA Free
Concentration
Concentrations vary lot to lot. See vial label for concentration. If unlisted please contact technical services.
Product Specifications
Immunogen
This antibody was developed against a recombinant protein corresponding to amino acids: PSISEEERKYIEDAIGESAKLMNPLTKFSTP
Clonality
Polyclonal
Host
Rabbit
Isotype
IgG
Description
Novus Biologicals Rabbit VGLUT1 Antibody - BSA Free (NBP2-39000) is a polyclonal antibody validated for use in IHC. All Novus Biologicals antibodies are covered by our 100% guarantee.
Scientific Data Images for VGLUT1 Antibody - BSA Free
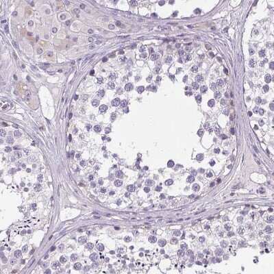
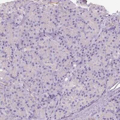
Immunohistochemistry-Paraffin: VGLUT1 Antibody [NBP2-39000]
Immunohistochemistry-Paraffin: VGLUT1 Antibody [NBP2-39000] - Staining of human cerebellum, cerebral cortex, pancreas and testis using Anti-VGLUT1 antibody NBP2-39000 (A) shows similar protein distribution across tissues to independent antibody NBP2-33597 (B).Immunohistochemistry-Paraffin: VGLUT1 Antibody [NBP2-39000]
Immunohistochemistry-Paraffin: VGLUT1 Antibody [NBP2-39000] - Staining of human testis shows no positivity in cells in seminiferous ducts as expected.Applications for VGLUT1 Antibody - BSA Free
Application
Recommended Usage
Immunohistochemistry
1:1000 - 1:2500
Immunohistochemistry-Paraffin
1:1000 - 1:2500
Application Notes
For IHC-Paraffin, HIER pH 6 retrieval is recommended.
Formulation, Preparation, and Storage
Purification
Affinity purified
Formulation
PBS (pH 7.2) and 40% Glycerol
Format
BSA Free
Preservative
0.02% Sodium Azide
Concentration
Concentrations vary lot to lot. See vial label for concentration. If unlisted please contact technical services.
Shipping
The product is shipped with polar packs. Upon receipt, store it immediately at the temperature recommended below.
Stability & Storage
Store at 4C short term. Aliquot and store at -20C long term. Avoid freeze-thaw cycles.
Background: VGLUT1/SLC17A7
Long Name
Vesicular Glutamate Transporter 1
Alternate Names
BNPI, SLC17A7
Gene Symbol
SLC17A7
UniProt
Additional VGLUT1/SLC17A7 Products
Product Documents for VGLUT1 Antibody - BSA Free
Product Specific Notices for VGLUT1 Antibody - BSA Free
This product is for research use only and is not approved for use in humans or in clinical diagnosis. Primary Antibodies are guaranteed for 1 year from date of receipt.
Loading...
Loading...
Loading...
Loading...