Vanilloid R1/TRPV1 Antibody - BSA Free
Novus Biologicals, part of Bio-Techne | Catalog # NBP1-71774
Conjugate
Catalog #
Key Product Details
Species Reactivity
Validated:
Human, Mouse
Cited:
Human, Mouse, Primate, Primate - Callithrix jacchus (Common Marmoset)
Applications
Validated:
Immunohistochemistry, Immunohistochemistry-Paraffin, Immunocytochemistry/ Immunofluorescence
Cited:
Immunohistochemistry, Immunohistochemistry-Paraffin, Immunohistochemistry-Frozen, Western Blot, IF/IHC
Label
Unconjugated
Antibody Source
Polyclonal Rabbit IgG
Format
BSA Free
Concentration
1.0 mg/ml
Product Specifications
Immunogen
A genomic peptide made to a C-terminal region of the human TRPV1 protein (within residues 725-839). [Swiss-Prot# Q8NER1]
Localization
Cell junction: synapse. Multi-pass membrane protein.
Clonality
Polyclonal
Host
Rabbit
Isotype
IgG
Description
Novus Biologicals Rabbit Vanilloid R1/TRPV1 Antibody - BSA Free (NBP1-71774) is a polyclonal antibody validated for use in IHC, WB and ICC/IF. Anti-Vanilloid R1/TRPV1 Antibody: Cited in 11 publications. All Novus Biologicals antibodies are covered by our 100% guarantee.
Scientific Data Images for Vanilloid R1/TRPV1 Antibody - BSA Free
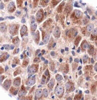
Immunohistochemistry: Vanilloid R1/TRPV1 Antibody - BSA Free [NBP1-71774]
Vanilloid-R1-TRPV1-Antibody-Immunohistochemistry-NBP1-71774-img0010.jpgImmunocytochemistry/ Immunofluorescence: Vanilloid R1/TRPV1 Antibody - BSA Free [NBP1-71774]
Immunocytochemistry/Immunofluorescence: Vanilloid R1/TRPV1 Antibody [NBP1-71774] - TRPV1 antibody was tested at 1:50 in HeLa cells with FITC (green). Nuclei were counterstained with DAPI (blue).Immunohistochemistry: Vanilloid R1/TRPV1 Antibody - BSA Free [NBP1-71774]
Immunohistochemistry: Vanilloid R1/TRPV1 Antibody [NBP1-71774] - Analysis of TRPV1 in mouse dorsal root ganglion using DAB with hematoxylin counterstain.Applications for Vanilloid R1/TRPV1 Antibody - BSA Free
Application
Recommended Usage
Immunocytochemistry/ Immunofluorescence
1:50-1:100
Immunohistochemistry
1:200
Immunohistochemistry-Paraffin
1:200
Application Notes
This TRPV1 antibody is useful for ICC/IF and IHC-paraffin embedded tissues. Prior to immunostaining paraffin tissues, antigen retrieval with sodium citrate buffer (pH 6.0) is recommended.
Reviewed Applications
Read 1 review rated 5 using NBP1-71774 in the following applications:
Formulation, Preparation, and Storage
Purification
Immunogen affinity purified
Formulation
PBS
Format
BSA Free
Preservative
0.05% Sodium Azide
Concentration
1.0 mg/ml
Shipping
The product is shipped with polar packs. Upon receipt, store it immediately at the temperature recommended below.
Stability & Storage
Store at 4C short term. Aliquot and store at -20C long term. Avoid freeze-thaw cycles.
Background: Vanilloid R1/TRPV1
Long Name
Vanilloid Receptor 1/Transient Receptor Potential Cation Channel 1
Alternate Names
Capsaicin Receptor, TRPV1, VanilloidR1, VR1
Entrez Gene IDs
7442 (Human)
Gene Symbol
TRPV1
UniProt
Additional Vanilloid R1/TRPV1 Products
Product Documents for Vanilloid R1/TRPV1 Antibody - BSA Free
Product Specific Notices for Vanilloid R1/TRPV1 Antibody - BSA Free
Manufactured by Genomic Antibody Technology™. GAT FAQs
This product is for research use only and is not approved for use in humans or in clinical diagnosis. Primary Antibodies are guaranteed for 1 year from date of receipt.
Loading...
Loading...
Loading...
Loading...