Uroplakin Ia Antibody (UPK1A/2921)
Novus Biologicals, part of Bio-Techne | Catalog # NBP2-79733
Conjugate
Catalog #
Forumulation
Catalog #
Key Product Details
Species Reactivity
Human, Canine
Applications
Immunohistochemistry, Immunohistochemistry-Paraffin, ELISA, Protein Array
Label
Unconjugated
Antibody Source
Monoclonal Mouse IgG2b Kappa Clone # UPK1A/2921
Concentration
0.2 mg/ml
Product Specifications
Immunogen
Recombinant fragment (around aa 114-173) of human Uroplakin Ia (UPK1A) protein (exact sequence is proprietary) (Uniprot: O00322)
Reactivity Notes
Canine reactivity reported from a verified customer review.
Localization
Cell Surface
Marker
Urothelial Differentiation Marker
Clonality
Monoclonal
Host
Mouse
Isotype
IgG2b Kappa
Theoretical MW
29 kDa.
Disclaimer note: The observed molecular weight of the protein may vary from the listed predicted molecular weight due to post translational modifications, post translation cleavages, relative charges, and other experimental factors.
Disclaimer note: The observed molecular weight of the protein may vary from the listed predicted molecular weight due to post translational modifications, post translation cleavages, relative charges, and other experimental factors.
Description
200ug/ml of antibody purified from Bioreactor Concentrate by Protein A or G. Prepared in 10 mM PBS with 0.05% BSA & 0.05% azide. Also available WITHOUT BSA & azide at 1.0 mg/ml. (NBP2-79868)
Antibody with azide - store at 2 to 8C. Antibody without azide - store at -20 to -80C.
Antibody with azide - store at 2 to 8C. Antibody without azide - store at -20 to -80C.
Scientific Data Images for Uroplakin Ia Antibody (UPK1A/2921)
Immunohistochemistry-Paraffin: Uroplakin Ia Antibody (UPK1A/2921) [NBP2-79733]
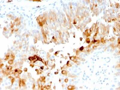
Immunohistochemistry-Paraffin: Uroplakin Ia Antibody (UPK1A/2921) [NBP2-79733] - Analysis of canine bladder tissue using Uroplakin Ia antibody. Uroplakin Ia antibody used at 1:500 concentration in 3% BSA and left at 4C overnight on paraffin embedded canine bladder tissue. HIER was performed in Tris/EDTA buffer, pH 9. Image from verified customer review.Immunohistochemistry-Paraffin: Uroplakin Ia Antibody (UPK1A/2921) [NBP2-79733]
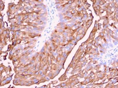
Immunohistochemistry-Paraffin: Uroplakin Ia Antibody (UPK1A/2921) [NBP2-79733] - Formalin-fixed, paraffin-embedded human Urothelial Carcinoma stained with Uroplakin Ia Antibody (UPK1A/2921).Immunohistochemistry-Paraffin: Uroplakin Ia Antibody (UPK1A/2921) [NBP2-79733]
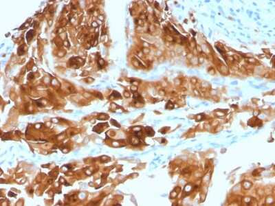
Immunohistochemistry-Paraffin: Uroplakin Ia Antibody (UPK1A/2921) [NBP2-79733] - Formalin-fixed, paraffin-embedded human Urinary Bladder stained with Uroplakin Ia Antibody (UPK1A/2921).Applications for Uroplakin Ia Antibody (UPK1A/2921)
Application
Recommended Usage
Immunohistochemistry
1-2 ug/ml
Immunohistochemistry-Paraffin
1-2 ug/ml
Application Notes
ELISA: For coating, order Ab without BSA.
Immunohistochemistry (Formalin-fixed): 1-2ug/ml for 30 minutes at RT. Staining of formalin-fixed tissues requires heating tissue sections in 10mM Tris with 1mM EDTA, pH 9.0, for 45 min at 95C followed by cooling at RT for 20 minutes.
Optimal dilution for a specific application should be determined.
Immunohistochemistry (Formalin-fixed): 1-2ug/ml for 30 minutes at RT. Staining of formalin-fixed tissues requires heating tissue sections in 10mM Tris with 1mM EDTA, pH 9.0, for 45 min at 95C followed by cooling at RT for 20 minutes.
Optimal dilution for a specific application should be determined.
Reviewed Applications
Read 1 review rated 5 using NBP2-79733 in the following applications:
Formulation, Preparation, and Storage
Purification
Protein A or G purified
Formulation
10 mM PBS with 0.05% BSA
Preservative
0.05% Sodium Azide
Concentration
0.2 mg/ml
Shipping
The product is shipped with polar packs. Upon receipt, store it immediately at the temperature recommended below.
Stability & Storage
Store at 4C.
Background: Uroplakin Ia
Additional Uroplakin Ia Products
Product Documents for Uroplakin Ia Antibody (UPK1A/2921)
Product Specific Notices for Uroplakin Ia Antibody (UPK1A/2921)
This product is for research use only and is not approved for use in humans or in clinical diagnosis. Primary Antibodies are guaranteed for 1 year from date of receipt.
Loading...
Loading...
Loading...
Loading...