Skip to main content

UQCRFS1 Antibody (JG62-31)

Novus Biologicals, part of Bio-Techne | Catalog # NBP2-75697

Recombinant Monoclonal Antibody.
Novus Biologicals, part of Bio-Techne
Catalog #
Availability
Size / Price
Qty
Loading...
NBP2-75697

Key Product Details

Species Reactivity

Human, Mouse, Rat

Applications

Flow Cytometry, Immunocytochemistry/ Immunofluorescence, Immunohistochemistry, Immunohistochemistry-Paraffin, Immunoprecipitation, Western Blot

Label

Unconjugated

Antibody Source

Recombinant Monoclonal Rabbit IgG Clone # JG62-31 expressed in HEK293

Concentration

1 mg/ml

Product Specifications

Immunogen

Recombinant protein within Human UQCRFS1 aa 180-274 / 274. (SwissProt: P47985 Human; SwissProt: Q9CR68 Mouse; SwissProt: P20788 Rat)

Localization

Mitochondrion.

Clonality

Monoclonal

Host

Rabbit

Isotype

IgG

Theoretical MW

21 kDa.
Disclaimer note: The observed molecular weight of the protein may vary from the listed predicted molecular weight due to post translational modifications, post translation cleavages, relative charges, and other experimental factors.

Description

Novus Biologicals Rabbit UQCRFS1 Antibody (JG62-31) (NBP2-75697) is a recombinant monoclonal antibody validated for use in IHC, WB, Flow, ICC/IF and IP. All Novus Biologicals antibodies are covered by our 100% guarantee.

Scientific Data Images for UQCRFS1 Antibody (JG62-31)

Western Blot: UQCRFS1 Antibody (JG62-31) [NBP2-75697]

Western Blot: UQCRFS1 Antibody (JG62-31) [NBP2-75697]

Western Blot: UQCRFS1 Antibody (JG62-31) [NBP2-75697] - Analysis of UQCRFS1 on different lysates using anti-UQCRFS1 antibody at 1/1,000 dilution. Positive control: Lane 1: A549, Lane 2: 293 ,Lane 3: Mouse kidney
Immunocytochemistry/ Immunofluorescence: UQCRFS1 Antibody (JG62-31) [NBP2-75697]

Immunocytochemistry/ Immunofluorescence: UQCRFS1 Antibody (JG62-31) [NBP2-75697]

Immunocytochemistry/Immunofluorescence: UQCRFS1 Antibody (JG62-31) [NBP2-75697] - Staining UQCRFS1 in SiHa cells (green). The nuclear counter stain is DAPI (blue). Cells were fixed in paraformaldehyde, permeabilised with 0.25% Triton X100/PBS.
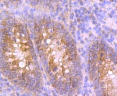
Immunohistochemistry-Paraffin: UQCRFS1 Antibody (JG62-31) [NBP2-75697]

Immunohistochemistry-Paraffin: UQCRFS1 Antibody (JG62-31) [NBP2-75697]

Immunohistochemistry-Paraffin: UQCRFS1 Antibody (JG62-31) [NBP2-75697] - Analysis of paraffin-embedded rat skeletal muscle tissue using anti-UQCRFS1 antibody. Counter stained with hematoxylin.

Applications for UQCRFS1 Antibody (JG62-31)

Application
Recommended Usage

Flow Cytometry

1:10-1:50

Immunocytochemistry/ Immunofluorescence

1:500-1:2000

Immunohistochemistry-Paraffin

1:50-1:200

Western Blot

1:500-1:2000

Formulation, Preparation, and Storage

Purification

Protein A purified

Formulation

TBS (pH7.4), 0.05% BSA, 40% Glycerol

Preservative

0.05% Sodium Azide

Concentration

1 mg/ml

Shipping

The product is shipped with polar packs. Upon receipt, store it immediately at the temperature recommended below.

Stability & Storage

Store at 4C short term. Aliquot and store at -20C long term. Avoid freeze-thaw cycles.

Background: UQCRFS1

RIP1 is a component of the ubiquinol-cytochrome c reductase complex (complex III or cytochrome b-c1 complex), which is a respiratory chain that generates an electrochemical potential coupled to ATP synthesis Function: The transit peptide of the Rieske protein seems

Alternate Names

Complex III subunit 5, Cytochrome b-c1 complex subunit 5, cytochrome b-c1 complex subunit Rieske, mitochondrial, EC 1.10.2.2, Rieske iron-sulfur protein, RIP1, RIS1, RISPUbiquinol-cytochrome c reductase iron-sulfur subunit, ubiquinol-cytochrome c reductase, Rieske iron-sulfur polypeptide 1, UQCR5

Gene Symbol

UQCRFS1

Additional UQCRFS1 Products

Product Documents for UQCRFS1 Antibody (JG62-31)

Certificate of Analysis

To download a Certificate of Analysis, please enter a lot number in the search box below.

Product Specific Notices for UQCRFS1 Antibody (JG62-31)

This product is for research use only and is not approved for use in humans or in clinical diagnosis. Primary Antibodies are guaranteed for 1 year from date of receipt.

Loading...
Loading...
Loading...
Loading...
Loading...