Skip to main content

UHRF1 Antibody - BSA Free

Novus Biologicals, part of Bio-Techne | Catalog # NBP2-20807

Novus Biologicals, part of Bio-Techne
Catalog #
Availability
Size / Price
Qty
Loading...
NBP2-20807

Key Product Details

Validated by

Knockout/Knockdown, Orthogonal Validation

Species Reactivity

Human

Applications

Immunohistochemistry, Immunohistochemistry-Paraffin, Western Blot, Immunocytochemistry/ Immunofluorescence, Immunoprecipitation, Chromatin Immunoprecipitation (ChIP)

Label

Unconjugated

Antibody Source

Polyclonal Rabbit IgG

Format

BSA Free

Concentration

Concentrations vary lot to lot. See vial label for concentration. If unlisted please contact technical services.

Product Specifications

Immunogen

Recombinant protein encompassing a sequence within the C-terminus region of human UHRF1. The exact sequence is proprietary.

Localization

Nucleus

Clonality

Polyclonal

Host

Rabbit

Isotype

IgG

Theoretical MW

90 kDa.
Disclaimer note: The observed molecular weight of the protein may vary from the listed predicted molecular weight due to post translational modifications, post translation cleavages, relative charges, and other experimental factors.

Description

Novus Biologicals Rabbit UHRF1 Antibody - BSA Free (NBP2-20807) is a polyclonal antibody validated for use in IHC, WB, ICC/IF, IP and ChIP. All Novus Biologicals antibodies are covered by our 100% guarantee.

Scientific Data Images for UHRF1 Antibody - BSA Free

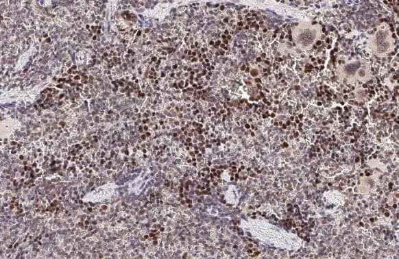
Immunohistochemistry-Paraffin: UHRF1 Antibody [NBP2-20807]

Immunohistochemistry-Paraffin: UHRF1 Antibody [NBP2-20807]

Immunohistochemistry-Paraffin: UHRF1 Antibody [NBP2-20807] - HBL435 xenograft. UHRF1 antibody dilution: 1:500. Antigen Retrieval: Trilogy™ (EDTA based, pH 8.0) buffer, 15min.
UHRF1 Antibody

Immunocytochemistry/ Immunofluorescence: UHRF1 Antibody [NBP2-20807] -

Immunocytochemistry/ Immunofluorescence: UHRF1 Antibody [NBP2-20807] - UHRF1 antibody detects UHRF1 protein at cytoplasm and nucleus by immunofluorescent analysis.Sample: A549 cells were fixed in 4% paraformaldehyde at RT for 15 min.Green: UHRF1 stained by UHRF1 antibody (NBP2-20807) diluted at 1:1000.Red: alpha Tubulin, a cytoskeleton marker, stained by alpha Tubulin antibody [GT114] diluted at 1:1000.
UHRF1 Antibody

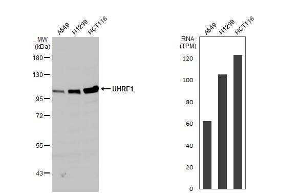
Western Blot: UHRF1 Antibody [NBP2-20807] -

Western Blot: UHRF1 Antibody [NBP2-20807] - Various whole cell extracts (30 ug) were separated by 7.5% SDS-PAGE, and the membrane was blotted with UHRF1 antibody diluted at 1:1000. The HRP-conjugated anti-rabbit IgG antibody was used to detect the primary antibody. Corresponding RNA expression data for the same cell lines are based on Human Protein Atlas program.

Applications for UHRF1 Antibody - BSA Free

Application
Recommended Usage

Immunocytochemistry/ Immunofluorescence

1:100-1:1000

Immunohistochemistry

1:100-1:1000

Immunohistochemistry-Paraffin

1:100-1:1000

Immunoprecipitation

1:100-1:500

Western Blot

1:500-1:3000
Application Notes
Chip Assay-Assay depenedent

Formulation, Preparation, and Storage

Purification

Antigen Affinity-purified

Formulation

PBS, 20% Glycerol

Format

BSA Free

Preservative

0.025% Proclin 300

Concentration

Concentrations vary lot to lot. See vial label for concentration. If unlisted please contact technical services.

Shipping

The product is shipped with polar packs. Upon receipt, store it immediately at the temperature recommended below.

Stability & Storage

Aliquot and store at -20C or -80C. Avoid freeze-thaw cycles.

Background: UHRF1

This gene encodes a member of a subfamily of RING-finger type E3 ubiquitin ligases. The protein binds to specific DNA sequences, and recruits a histone deacetylase to regulate gene expression. Its expression peaks at late G1 phase and continues during G2 and M phases of the cell cycle. It plays a major role in the G1/S transition by regulating topoisomerase IIalpha and retinoblastoma gene expression, and functions in the p53-dependent DNA damage checkpoint. Multiple transcript variants encoding different isoforms have been found for this gene. [provided by RefSeq]

Long Name

E3 ubiquitin-protein ligase UHRF1

Alternate Names

hNp95, hUHRF1, HuNp95, ICBP90, NP95, Nuclear protein 95, RNF106

Gene Symbol

UHRF1

UniProt

Additional UHRF1 Products

Product Documents for UHRF1 Antibody - BSA Free

Certificate of Analysis

To download a Certificate of Analysis, please enter a lot number in the search box below.

Product Specific Notices for UHRF1 Antibody - BSA Free

This product is for research use only and is not approved for use in humans or in clinical diagnosis. Primary Antibodies are guaranteed for 1 year from date of receipt.

Loading...
Loading...
Loading...
Loading...

⚠ WARNING: This product can expose you to chemicals including mercury, which is known to the State of California to cause reproductive toxicity with developmental effects.  For more information go to www.P65Warnings.ca.gov.