UHRF1 Antibody
Novus Biologicals, part of Bio-Techne | Catalog # NB100-74597
Key Product Details
Validated by
Independent Antibodies, Biological Validation
Species Reactivity
Validated:
Human
Cited:
Human
Applications
Validated:
Immunohistochemistry, Immunohistochemistry-Paraffin, Western Blot, Immunoprecipitation
Cited:
Immunohistochemistry-Paraffin, Western Blot
Label
Unconjugated
Antibody Source
Polyclonal Rabbit IgG
Concentration
0.2 mg/ml
Product Specifications
Immunogen
The immunogen recognized by this antibody maps to a region between residue 275 and 325 of human nuclear zinc finger protein Np95 (ubiquitin-like, containing PHD and RING finger domains, 1 ) using the numbering given in entry NP_001041666.1 (GeneID 29128).
Clonality
Polyclonal
Host
Rabbit
Isotype
IgG
Scientific Data Images for UHRF1 Antibody
Western Blot: UHRF1 Antibody [NB100-74597]
Western Blot: UHRF1 Antibody [NB100-74597] - Detection of Human NP95/UHRF1 by Western Blot. Samples: Whole cell lysate (50 ug) from HeLa, 293T, and Jurkat cells prepared using NETN lysis buffer. Antibodies: Affinity purified rabbit anti-NP95/UHRF1 antibody NB100-74597 used for WB at 0.1 ug/ml. Detection: Chemiluminescence with an exposure time of 3 minutes.Immunohistochemistry: UHRF1 Antibody [NB100-74597]
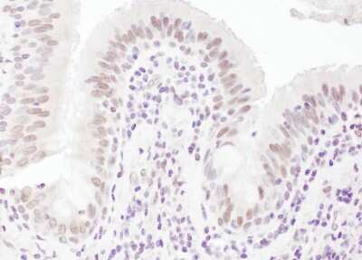
Immunohistochemistry: UHRF1 Antibody [NB100-74597] - Sample: FFPE section of human lung carcinoma. Antibody: Affinity purified rabbit anti- NP95/UHRF1 used at a dilution of 1:200 (1ug/ml). Detection: DABApplications for UHRF1 Antibody
Application
Recommended Usage
Immunohistochemistry
1:100 - 1:500
Immunohistochemistry-Paraffin
1:250
Immunoprecipitation
2-5 ug/mg lysate
Western Blot
1:2000-1:10000
Application Notes
Epitope retrieval with citrate buffer pH6.0 is recommended for FFPE tissue sections.
Formulation, Preparation, and Storage
Purification
Immunogen affinity purified
Formulation
TBS and 0.1% BSA
Preservative
0.09% Sodium Azide
Concentration
0.2 mg/ml
Shipping
The product is shipped with polar packs. Upon receipt, store it immediately at the temperature recommended below.
Stability & Storage
Store at 4C. Do not freeze.
Background: UHRF1
Long Name
E3 ubiquitin-protein ligase UHRF1
Alternate Names
hNp95, hUHRF1, HuNp95, ICBP90, NP95, Nuclear protein 95, RNF106
Entrez Gene IDs
29128 (Human)
Gene Symbol
UHRF1
UniProt
Additional UHRF1 Products
Product Documents for UHRF1 Antibody
Product Specific Notices for UHRF1 Antibody
This product is for research use only and is not approved for use in humans or in clinical diagnosis. Primary Antibodies are guaranteed for 1 year from date of receipt.
Loading...
Loading...
Loading...
Loading...