Two pore calcium channel protein 2 Antibody - BSA Free
Novus Biologicals, part of Bio-Techne | Catalog # NBP1-86923
Key Product Details
Species Reactivity
Validated:
Human
Cited:
Human
Applications
Validated:
Immunohistochemistry, Immunohistochemistry-Paraffin, Immunocytochemistry/ Immunofluorescence
Cited:
Immunocytochemistry/ Immunofluorescence
Label
Unconjugated
Antibody Source
Polyclonal Rabbit IgG
Format
BSA Free
Concentration
Concentrations vary lot to lot. See vial label for concentration. If unlisted please contact technical services.
Product Specifications
Immunogen
This antibody was developed against Recombinant Protein corresponding to amino acids: QFRGYLMKSLQTSLFRRRLGTRAAFEVLSSMVGEGGAFPQAVGVKPQNLLQVLQKVQLDSSHRQAMMEKVRSYGSVLLSAEEFQKLFNELDRSVVKEHPPRPEYQSPFLQSAQFLFGHYYF
Clonality
Polyclonal
Host
Rabbit
Isotype
IgG
Description
Novus Biologicals Rabbit Two pore calcium channel protein 2 Antibody - BSA Free (NBP1-86923) is a polyclonal antibody validated for use in IHC and ICC/IF. Anti-Two pore calcium channel protein 2 Antibody: Cited in 1 publication. All Novus Biologicals antibodies are covered by our 100% guarantee.
Scientific Data Images for Two pore calcium channel protein 2 Antibody - BSA Free
Immunohistochemistry-Paraffin: Two pore calcium channel protein 2 Antibody - BSA Free [NBP1-86923]
Staining of human duodenum shows strong membranous positivity in glandular cells.Immunohistochemistry-Paraffin: Two pore calcium channel protein 2 Antibody - BSA Free [NBP1-86923]
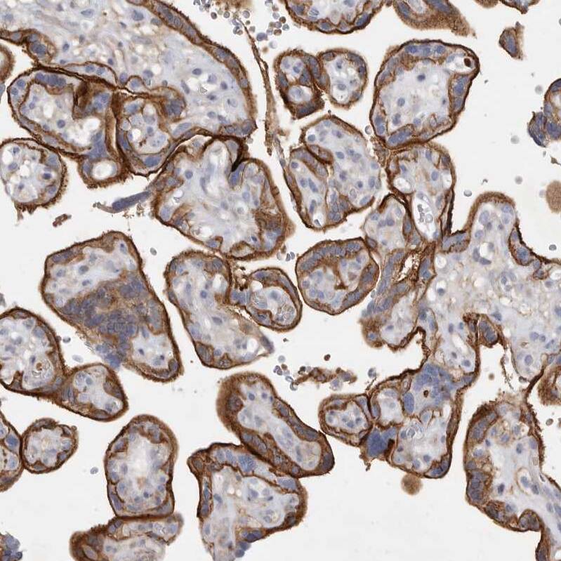
Staining of human placenta shows strong membranous positivity in trophoblastic cells.Immunohistochemistry-Paraffin: Two pore calcium channel protein 2 Antibody - BSA Free [NBP1-86923]
Staining of human liver shows moderate membranous positivity in hepatocytes.Applications for Two pore calcium channel protein 2 Antibody - BSA Free
Application
Recommended Usage
Immunocytochemistry/ Immunofluorescence
Reported in scientific literature (PMID: 29993362)
Immunohistochemistry
1:50 - 1:200
Immunohistochemistry-Paraffin
1:50 - 1:200
Application Notes
For IHC-Paraffin, HIER pH 6 retrieval is recommended.
Formulation, Preparation, and Storage
Purification
Immunogen affinity purified
Formulation
PBS (pH 7.2) and 40% Glycerol
Format
BSA Free
Preservative
0.02% Sodium Azide
Concentration
Concentrations vary lot to lot. See vial label for concentration. If unlisted please contact technical services.
Shipping
The product is shipped with polar packs. Upon receipt, store it immediately at the temperature recommended below.
Stability & Storage
Store at 4C short term. Aliquot and store at -20C long term. Avoid freeze-thaw cycles.
Background: Two pore calcium channel protein 2
Long Name
Two pore channel protein 2
Alternate Names
TPC2, TPCN2
Gene Symbol
TPCN2
Additional Two pore calcium channel protein 2 Products
Product Documents for Two pore calcium channel protein 2 Antibody - BSA Free
Product Specific Notices for Two pore calcium channel protein 2 Antibody - BSA Free
This product is for research use only and is not approved for use in humans or in clinical diagnosis. Primary Antibodies are guaranteed for 1 year from date of receipt.
Loading...
Loading...
Loading...
Loading...
Loading...