Skip to main content

Two pore calcium channel protein 2 Antibody - Azide and BSA Free

Novus Biologicals, part of Bio-Techne | Catalog # NBP1-30670

Novus Biologicals, part of Bio-Techne
Catalog #
Availability
Size / Price
Qty
Loading...
NBP1-30670
NBP1-30670-0.1mg

Key Product Details

Species Reactivity

Human

Applications

Immunohistochemistry, Immunohistochemistry-Paraffin, Western Blot

Label

Unconjugated

Antibody Source

Polyclonal Rabbit IgG

Format

Azide and BSA Free

Concentration

LYOPH mg/ml

Product Specifications

Immunogen

A synthetic peptide from amino acid region 700-752 of human Two pore calcium channel protein 2 conjugated to blue carrier protein was used as the antigen.

Clonality

Polyclonal

Host

Rabbit

Isotype

IgG

Description

Novus Biologicals Rabbit Two pore calcium channel protein 2 Antibody - Azide and BSA Free (NBP1-30670) is a polyclonal antibody validated for use in IHC and WB. All Novus Biologicals antibodies are covered by our 100% guarantee.

Scientific Data Images for Two pore calcium channel protein 2 Antibody - Azide and BSA Free

Immunohistochemistry-Paraffin: Two pore calcium channel protein 2 Antibody - Azide and BSA Free [NBP1-30670]

Immunohistochemistry-Paraffin: Two pore calcium channel protein 2 Antibody - Azide and BSA Free [NBP1-30670]

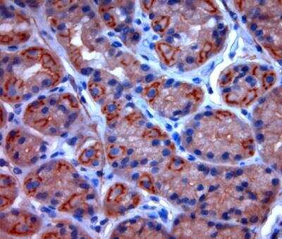
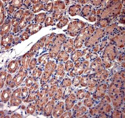
Immunohistochemistry-Paraffin: Two pore calcium channel protein 2 Antibody [NBP1-30670] - Sections of human gallbladder. HIER: Tris-EDTA, pH 9 for 20 min using Thermo PT Module. Blocking: 0.2% LFDM in TBST filtered thru 0.2 um. Primary antibody: dilution 10 ug/ml, incubated 30 min at RT using Autostainer. Sections were counterstained with Harris Hematoxylin.
Immunohistochemistry-Paraffin: Two pore calcium channel protein 2 Antibody - Azide and BSA Free [NBP1-30670]

Immunohistochemistry-Paraffin: Two pore calcium channel protein 2 Antibody - Azide and BSA Free [NBP1-30670]

Immunohistochemistry-Paraffin: Two pore calcium channel protein 2 Antibody [NBP1-30670] - Sections of human stomach. HIER: Tris-EDTA, pH 9 for 20 min using Thermo PT Module. Blocking: 0.2% LFDM in TBST filtered thru 0.2 um. Primary antibody: dilution 10 ug/ml, incubated 30 min at RT using Autostainer. Sections were counterstained with Harris Hematoxylin.
Immunohistochemistry-Paraffin: Two pore calcium channel protein 2 Antibody - Azide and BSA Free [NBP1-30670]

Immunohistochemistry-Paraffin: Two pore calcium channel protein 2 Antibody - Azide and BSA Free [NBP1-30670]

Immunohistochemistry-Paraffin: Two pore calcium channel protein 2 Antibody [NBP1-30670] - Sections of human stomach. HIER: Tris-EDTA, pH 9 for 20 min using Thermo PT Module. Blocking: 0.2% LFDM in TBST filtered thru 0.2 um. Primary antibody: dilution 10 ug/ml, incubated 30 min at RT using Autostainer. Sections were counterstained with Harris Hematoxylin.

Applications for Two pore calcium channel protein 2 Antibody - Azide and BSA Free

Application
Recommended Usage

Immunohistochemistry

10-50 ug/ml

Immunohistochemistry-Paraffin

10-50 ug/ml

Western Blot

10-50 ug/ml
Application Notes
For IHC-Paraffin: Antigen retrieval is essential.

Formulation, Preparation, and Storage

Purification

Ammonium sulfate precipitation

Reconstitution

Reconstitute 0.5 mg size in 0.5 ml of sterile water. Centrifuge to remove any insoluble material. Glycerol may be added (1:1) for additional stability. Please note the 0.1 mg size is provided in reconstituted format.

Formulation

Sterilized water

Format

Azide and BSA Free

Preservative

No Preservative

Concentration

LYOPH mg/ml

Shipping

The product is shipped with polar packs. Upon receipt, store it immediately at the temperature recommended below.

Stability & Storage

Store at 4C short term. Aliquot and store at -20C long term. Avoid freeze-thaw cycles.

Background: Two pore calcium channel protein 2

Function: May function as one of the major voltage-gated Ca2+ channel (VDCC) across the plasma membrane.; Subcellular location: Membrane; Multi-pass membrane protein.

Long Name

Two pore channel protein 2

Alternate Names

TPC2, TPCN2

Entrez Gene IDs

233979 (Mouse)

Gene Symbol

TPCN2

UniProt

Additional Two pore calcium channel protein 2 Products

Product Documents for Two pore calcium channel protein 2 Antibody - Azide and BSA Free

Certificate of Analysis

To download a Certificate of Analysis, please enter a lot number in the search box below.

Product Specific Notices for Two pore calcium channel protein 2 Antibody - Azide and BSA Free

This product is for research use only and is not approved for use in humans or in clinical diagnosis. Primary Antibodies are guaranteed for 1 year from date of receipt.

Loading...
Loading...
Loading...
Loading...
Loading...
Loading...