Tubulin alpha-1B Antibody (ARC51243)
Novus Biologicals, part of Bio-Techne | Catalog # NBP3-23538
Recombinant Monoclonal Antibody
Key Product Details
Species Reactivity
Human, Mouse, Rat
Applications
Immunohistochemistry, Immunohistochemistry-Paraffin, Western Blot, Immunocytochemistry/ Immunofluorescence
Label
Unconjugated
Antibody Source
Monoclonal Rabbit IgG Clone # ARC51243
Concentration
Please see the vial label for concentration. If unlisted please contact technical services.
Product Specifications
Immunogen
Recombinant fusion protein containing a sequence corresponding to amino acids 1-42 of human alpha Tubulin(NP_006073.2, P68363).
Epitope
MRECISIHVGQAGVQIGNACWELYCLEHGIQPDGQMPSDKTI
Localization
cytoplasm, cytoplasmic microtubule, microtubule cytoskeleton
Clonality
Monoclonal
Host
Rabbit
Isotype
IgG
Description
Novus Biologicals Rabbit Tubulin alpha-1B Antibody (ARC51243) (NBP3-23538) is a recombinant monoclonal antibody validated for use in IHC, WB and ICC/IF. All Novus Biologicals antibodies are covered by our 100% guarantee.
Scientific Data Images for Tubulin alpha-1B Antibody (ARC51243)
Western Blot: Tubulin alpha-1B Antibody (ARC51243) [NBP3-23538] -
Western Blot: Tubulin alpha-1B Antibody [NBP3-23538] - Western blot analysis of lysates from HeLa cells, using Tubulin alpha-1B Rabbit mAb at 1:1000 dilution.Secondary antibody: HRP Goat Anti-Rabbit IgG (H+L) at 1:10000 dilution.
Lysates/proteins: 25ug per lane.
Blocking buffer: 3% nonfat dry milk in TBST.
Detection: ECL Basic Kit .
Exposure time: 0.5s.
Immunocytochemistry/ Immunofluorescence: Tubulin alpha-1B Antibody (ARC51243) [NBP3-23538] -
Immunocytochemistry/ Immunofluorescence: Tubulin alpha-1B Antibody (ARC51243) [NBP3-23538] - Confocal imaging of HeLa cells using alpha-Tubulin Rabbit mAb(Green). The cells were counterstained with RAB11A Rabbit mAb. DAPI was used for nuclear staining (blue). Objective: 60x.Immunohistochemistry: Tubulin alpha-1B Antibody (ARC51243) [NBP3-23538] -
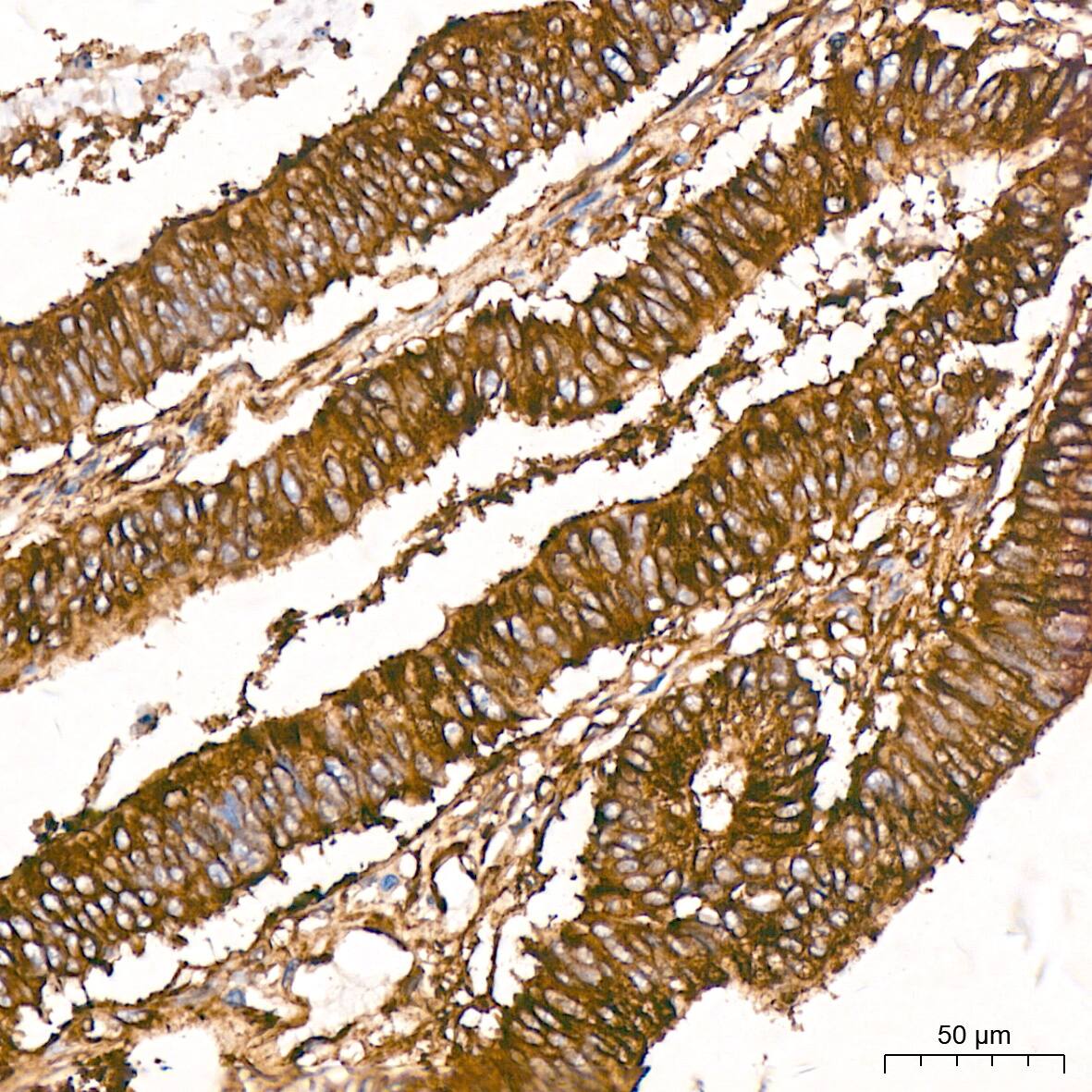
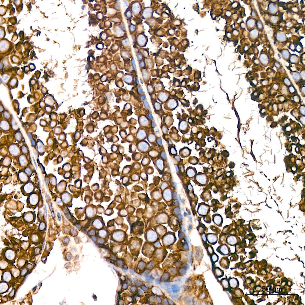
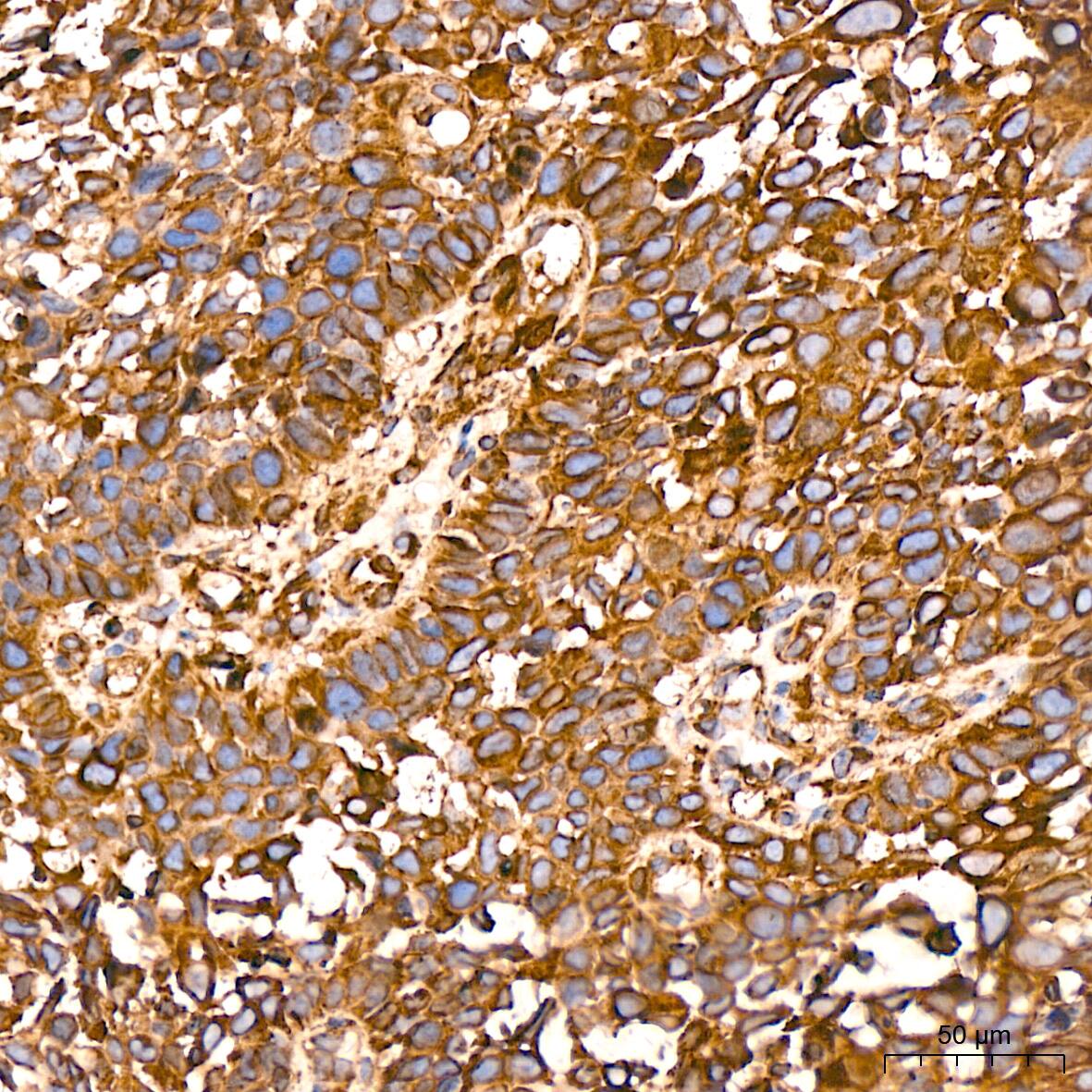
Immunohistochemistry: Tubulin alpha-1B Antibody [NBP3-23538] - Immunohistochemistry analysis of Tubulin alpha-1B in paraffin-embedded rat colon tissue using Tubulin alpha-1B Rabbit mAb at a dilution of 1:200 (40x lens).High pressure antigen retrieval was performed with 0.01 M citrate buffer (pH 6.0) prior to IHC staining.Applications for Tubulin alpha-1B Antibody (ARC51243)
Application
Recommended Usage
Immunocytochemistry/ Immunofluorescence
1:50 - 1:200
Immunohistochemistry
1:50 - 1:200
Immunohistochemistry-Paraffin
1:50 - 1:200
Western Blot
1:500 - 1:2000
Formulation, Preparation, and Storage
Purification
Affinity purified
Formulation
PBS (pH 7.3), 50% glycerol, 0.05% BSA
Preservative
0.02% Sodium Azide
Concentration
Please see the vial label for concentration. If unlisted please contact technical services.
Shipping
The product is shipped with polar packs. Upon receipt, store it immediately at the temperature recommended below.
Stability & Storage
Store at -20C. Avoid freeze-thaw cycles.
Background: Tubulin alpha-1B
Long Name
Tubulin alpha-1B chain
Alternate Names
TUBA1B, Tubulin K-alpha-1
Gene Symbol
TUBA1B
Additional Tubulin alpha-1B Products
Product Documents for Tubulin alpha-1B Antibody (ARC51243)
Product Specific Notices for Tubulin alpha-1B Antibody (ARC51243)
This product is for research use only and is not approved for use in humans or in clinical diagnosis. Primary Antibodies are guaranteed for 1 year from date of receipt.
Loading...
Loading...
Loading...
Loading...