Skip to main content

Tubby Antibody - BSA Free

Novus Biologicals, part of Bio-Techne | Catalog # NBP2-97149

Novus Biologicals, part of Bio-Techne
Catalog #
Availability
Size / Price
Qty
Loading...
NBP2-97149-100ul
NBP2-97149-50ul
Conjugate
Catalog #

Key Product Details

Species Reactivity

Human

Applications

Immunohistochemistry, Immunohistochemistry-Paraffin

Label

Unconjugated

Antibody Source

Polyclonal Rabbit IgG

Format

BSA Free

Concentration

Please see the vial label for concentration. If unlisted please contact technical services.

Product Specifications

Immunogen

Produced in rabbits immunized with E. coli-derived Human Tubby fragment.

Clonality

Polyclonal

Host

Rabbit

Isotype

IgG

Description

This antibody can be stored at 2C to 8C for one month without detectable loss of activity. Antibody products are stable for twelve months from date of receipt when stored at -20C to -80C. Avoid repeated freeze-thaw cycles.

Scientific Data Images for Tubby Antibody - BSA Free

Immunohistochemistry-Paraffin: Tubby Antibody [NBP2-97149]

Immunohistochemistry-Paraffin: Tubby Antibody [NBP2-97149]

Immunohistochemistry-Paraffin: Tubby Antibody [NBP2-97149] - Staining of human TUB in human brain with rabbit polyclonal antibody at 1:300 dilution.
Immunohistochemistry-Paraffin: Tubby Antibody [NBP2-97149]

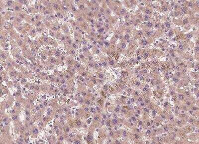
Immunohistochemistry-Paraffin: Tubby Antibody [NBP2-97149]

Immunohistochemistry-Paraffin: Tubby Antibody [NBP2-97149] - Staining of human TUB in human liver with rabbit polyclonal antibody at 1:300 dilution.

Applications for Tubby Antibody - BSA Free

Application
Recommended Usage

Immunohistochemistry-Paraffin

1:200-1:1000

Formulation, Preparation, and Storage

Purification

Antigen and protein A Affinity-purified

Formulation

PBS

Format

BSA Free

Preservative

0.03% Proclin 300

Concentration

Please see the vial label for concentration. If unlisted please contact technical services.

Shipping

The product is shipped with polar packs. Upon receipt, store it immediately at the temperature recommended below.

Stability & Storage

Store at 4C short term. Aliquot and store at -20C long term. Avoid freeze-thaw cycles.

Background: Tubby

Tub-1 protein is C. elegans tubby homolog, required for normal sensory behavior. It is expressed in ciliated neurons and undergoes both cilated and dendritic transport. It has been shown to be involved in regulating fat storage, most likely by modulating transport, sensing, or responding to signals in ciliated neurons. It has also been shown to play a role in regulating life span, but by a different mechanism than fat storage regulation.

Long Name

Tubby Bipartite Transcription Factor

Alternate Names

RD5, RDOB, Tubby Homolog

Gene Symbol

TUB

Additional Tubby Products

Product Documents for Tubby Antibody - BSA Free

Certificate of Analysis

To download a Certificate of Analysis, please enter a lot number in the search box below.

Product Specific Notices for Tubby Antibody - BSA Free

This product is for research use only and is not approved for use in humans or in clinical diagnosis. Primary Antibodies are guaranteed for 1 year from date of receipt.

Loading...
Loading...
Loading...
Loading...