Skip to main content

TSPAN8/TM4SF3 Antibody - BSA Free

Novus Biologicals, part of Bio-Techne | Catalog # NBP2-38529

Novus Biologicals, part of Bio-Techne
Catalog #
Availability
Size / Price
Qty
Loading...
NBP2-38529
NBP2-38529-25ul

Key Product Details

Species Reactivity

Human

Applications

Immunohistochemistry, Immunohistochemistry-Paraffin, Immunocytochemistry/ Immunofluorescence

Label

Unconjugated

Antibody Source

Polyclonal Rabbit IgG

Format

BSA Free

Concentration

Concentrations vary lot to lot. See vial label for concentration. If unlisted please contact technical services.

Product Specifications

Immunogen

This antibody was developed against a recombinant protein corresponding to amino acids: IVNETLYENTKLLSATGESEKQFQEAIIVFQEEFKCCGLVNGAADWGNNFQHYPELCACLDKQRPCQSYNGKQVY

Clonality

Polyclonal

Host

Rabbit

Isotype

IgG

Description

Novus Biologicals Rabbit TSPAN8/TM4SF3 Antibody - BSA Free (NBP2-38529) is a polyclonal antibody validated for use in IHC and ICC/IF. All Novus Biologicals antibodies are covered by our 100% guarantee.

Scientific Data Images for TSPAN8/TM4SF3 Antibody - BSA Free

Immunocytochemistry/ Immunofluorescence: TSPAN8/TM4SF3 Antibody [NBP2-38529]

Immunocytochemistry/ Immunofluorescence: TSPAN8/TM4SF3 Antibody [NBP2-38529]

Immunocytochemistry/Immunofluorescence: TSPAN8/TM4SF3 Antibody [NBP2-38529] - Immunofluorescent staining of human cell line PC-3 shows localization to nucleoplasm.
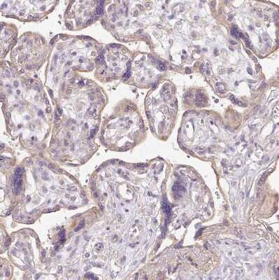
Immunohistochemistry-Paraffin: TSPAN8/TM4SF3 Antibody [NBP2-38529]

Immunohistochemistry-Paraffin: TSPAN8/TM4SF3 Antibody [NBP2-38529]

Immunohistochemistry-Paraffin: TSPAN8/TM4SF3 Antibody [NBP2-38529] - Staining of human placenta shows very weak membranous positivity in trophoblastic cells.
Immunohistochemistry-Paraffin: TSPAN8/TM4SF3 Antibody [NBP2-38529]

Immunohistochemistry-Paraffin: TSPAN8/TM4SF3 Antibody [NBP2-38529]

Immunohistochemistry-Paraffin: TSPAN8/TM4SF3 Antibody [NBP2-38529] - Staining of human liver shows low expression as expected.

Applications for TSPAN8/TM4SF3 Antibody - BSA Free

Application
Recommended Usage

Immunocytochemistry/ Immunofluorescence

0.25-2 ug/ml

Immunohistochemistry

1:500 - 1:1000

Immunohistochemistry-Paraffin

1:500 - 1:1000
Application Notes
For IHC-Paraffin, HIER pH 6 retrieval is recommended. ICC/IF, Fixation Permeabilization: Use PFA/Triton X-100.

Formulation, Preparation, and Storage

Purification

Immunogen affinity purified

Formulation

PBS (pH 7.2) and 40% Glycerol

Format

BSA Free

Preservative

0.02% Sodium Azide

Concentration

Concentrations vary lot to lot. See vial label for concentration. If unlisted please contact technical services.

Shipping

The product is shipped with polar packs. Upon receipt, store it immediately at the temperature recommended below.

Stability & Storage

Store at 4C short term. Aliquot and store at -20C long term. Avoid freeze-thaw cycles.

Background: TSPAN8

TM4SF3 is a member of the transmembrane 4 superfamily, also known as the tetraspanin family. Most of these members are cell surface proteins that are characterized by the presence of four hydrophobic domains. The proteins mediate signal transduction events that play a role in the regulation of cell development, activation, growth and motility. TM4SF3 is known to complex with integrins. Its gene is expressed in different carcinomas. The use of alternate polyadenylation sites has been found for TM4SF3 gene.

Long Name

Tetraspanin 8/Transmembrane 4 Superfamily, Member 3

Alternate Names

CO-029, TM4SF3

Gene Symbol

TSPAN8

UniProt

Additional TSPAN8 Products

Product Documents for TSPAN8/TM4SF3 Antibody - BSA Free

Certificate of Analysis

To download a Certificate of Analysis, please enter a lot number in the search box below.

Product Specific Notices for TSPAN8/TM4SF3 Antibody - BSA Free

This product is for research use only and is not approved for use in humans or in clinical diagnosis. Primary Antibodies are guaranteed for 1 year from date of receipt.

Loading...
Loading...
Loading...
Loading...