Skip to main content

TrkB [p Tyr817] Antibody (SC0556)

Novus Biologicals, part of Bio-Techne | Catalog # NBP2-67578

Recombinant Monoclonal Antibody.
Novus Biologicals, part of Bio-Techne
Catalog #
Availability
Size / Price
Qty
Loading...
NBP2-67578

Key Product Details

Species Reactivity

Human, Mouse, Rat

Applications

Immunohistochemistry, Immunohistochemistry-Paraffin, Western Blot, Immunocytochemistry/ Immunofluorescence, Immunoprecipitation

Label

Unconjugated

Antibody Source

Recombinant Monoclonal Rabbit IgG Clone # SC0556 expressed in HEK293

Concentration

1 mg/ml

Product Specifications

Immunogen

Synthetic phospho-peptide corresponding to residues surrounding Tyr817 of Human TrkB aa 789-822 / 822. (SwissProt: Q16620 Human; SwissProt: P15209 Mouse; SwissProt: Q63604 Rat)

Modification

p Tyr817

Localization

Cell membrane, Endosome membrane.

Clonality

Monoclonal

Host

Rabbit

Isotype

IgG

Description

Novus Biologicals Rabbit TrkB [p Tyr817] Antibody (SC0556) (NBP2-67578) is a recombinant monoclonal antibody validated for use in IHC, WB, ICC/IF and IP. Anti-TrkB Antibody: Cited in 1 publication. All Novus Biologicals antibodies are covered by our 100% guarantee.

Scientific Data Images for TrkB [p Tyr817] Antibody (SC0556)

Western Blot: TrkB [p Tyr817] Antibody (SC0556) [NBP2-67578] - Western blot analysis of TrkB on different lysates. Proteins were transferred to a PVDF membrane and blocked with 5% BSA in PBS for 1 hour at room temperature. The primary antibody (1/500) was used in 5% BSA at room temperature for 2 hours. Goat Anti-Rabb
Immunocytochemistry/Immunofluorescence: TrkB [p Tyr817] Antibody (SC0556) [NBP2-67578] - Staining phospho -TrkB(Y817) in PANC-1 cells (green). The nuclear counter stain is DAPI (blue). Cells were fixed in paraformaldehyde, permeabilised with 0.25% Triton X100/PBS.
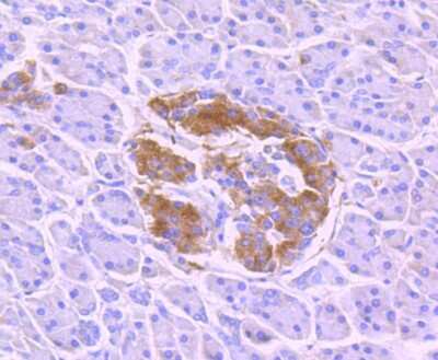
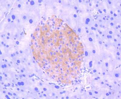
Immunohistochemistry-Paraffin: TrkB [p Tyr817] Antibody (SC0556) [NBP2-67578] - Analysis of paraffin-embedded mouse pancreas tissue using anti- phospho -TrkB(Y817) antibody. Counter stained with hematoxylin.

Applications for TrkB [p Tyr817] Antibody (SC0556)

Application
Recommended Usage

Immunocytochemistry/ Immunofluorescence

1:50-1:200

Immunohistochemistry-Paraffin

1:50-1:200

Western Blot

1:1000-1:5000

Formulation, Preparation, and Storage

Purification

Protein A purified

Formulation

TBS (pH7.4), 0.05% BSA, 40% Glycerol

Preservative

0.05% Sodium Azide

Concentration

1 mg/ml

Shipping

The product is shipped with polar packs. Upon receipt, store it immediately at the temperature recommended below.

Stability & Storage

Store at 4C short term. Aliquot and store at -20C long term. Avoid freeze-thaw cycles.

Background: TrkB

TrkB is a tyrosine-protein kinase receptor involved in the development and/or maintenance of the nervous system. TrkB is a receptor for brain-derived neurotrophic factor (BDNF), neurotrophin-3 and neurotrophin-4/5, but not nerve growth factor (NGF). The major substrates for the TRK receptors are SHC1, PI-3 kinase, and PLC-gamma-1.

Long Name

Neurotrophic Tyrosine Kinase Receptor B

Alternate Names

NTRK2

Gene Symbol

NTRK2

Additional TrkB Products

Product Documents for TrkB [p Tyr817] Antibody (SC0556)

Certificate of Analysis

To download a Certificate of Analysis, please enter a lot number in the search box below.

Product Specific Notices for TrkB [p Tyr817] Antibody (SC0556)

This product is for research use only and is not approved for use in humans or in clinical diagnosis. Primary Antibodies are guaranteed for 1 year from date of receipt.

Loading...
Loading...
Loading...
Loading...