Skip to main content

TRIM5 gamma Antibody - BSA Free

Novus Biologicals, part of Bio-Techne | Catalog # NBP1-76604

Novus Biologicals, part of Bio-Techne

Key Product Details

Species Reactivity

Human

Applications

Immunohistochemistry, Immunohistochemistry-Paraffin, Western Blot, ELISA, Immunocytochemistry/ Immunofluorescence

Label

Unconjugated

Antibody Source

Polyclonal Rabbit IgG

Format

BSA Free

Concentration

1 mg/ml

Product Specifications

Immunogen

Antibody was raised against a synthetic peptide corresponding to 15 amino acids near the carboxy terminus of human TRIM5 gamma. The immunogen is located within the last 50 amino acids of TRIM5 gamma. Amino Acid Squence: FKIYDSPSKTHITY

Clonality

Polyclonal

Host

Rabbit

Isotype

IgG

Theoretical MW

46 kDa.
Disclaimer note: The observed molecular weight of the protein may vary from the listed predicted molecular weight due to post translational modifications, post translation cleavages, relative charges, and other experimental factors.

Description

Novus Biologicals Rabbit TRIM5 gamma Antibody - BSA Free (NBP1-76604) is a polyclonal antibody validated for use in IHC, WB, ELISA and ICC/IF. All Novus Biologicals antibodies are covered by our 100% guarantee.

Scientific Data Images for TRIM5 gamma Antibody - BSA Free

Western Blot: TRIM5 gamma AntibodyBSA Free [NBP1-76604]

Western Blot: TRIM5 gamma AntibodyBSA Free [NBP1-76604]

Western Blot: TRIM5 gamma Antibody [NBP1-76604] - Human bladder (A) and colon (B) cell lysate with TRIM5 gamma antibody at 2 ug /ml.
TRIM5 gamma Antibody - BSA Free

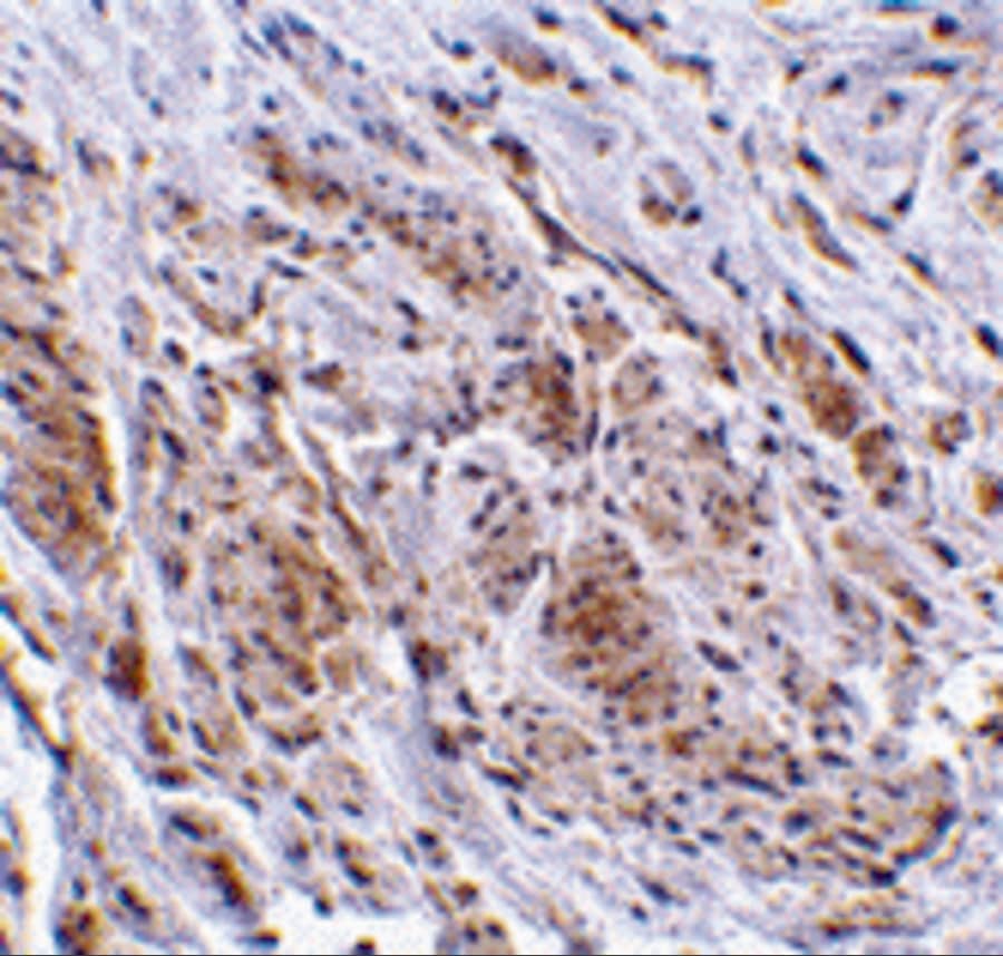
Immunohistochemistry: TRIM5 gamma Antibody - BSA Free [NBP1-76604] -

Immunohistochemistry: TRIM5 gamma Antibody - BSA Free [NBP1-76604] - Immunohistochemistry of TRIM5 gamma in human bladder tissue with TRIM5 gamma antibody at 2 ug/mL.
TRIM5 gamma Antibody - BSA Free

Immunocytochemistry/ Immunofluorescence: TRIM5 gamma Antibody - BSA Free [NBP1-76604] -

Immunocytochemistry/ Immunofluorescence: TRIM5 gamma Antibody - BSA Free [NBP1-76604] - Immunofluorescence of TRIM5 gamma in human bladder tissue with TRIM5 gamma antibody at 20 ug/mL.

Applications for TRIM5 gamma Antibody - BSA Free

Application
Recommended Usage

ELISA

1:100-1:2000

Immunocytochemistry/ Immunofluorescence

20 ug/ml

Immunohistochemistry

2 ug/ml

Immunohistochemistry-Paraffin

2 ug/ml

Western Blot

2 ug/ml
Application Notes
A band at approximately 35 kDa can be detected in Western Blot.

Formulation, Preparation, and Storage

Purification

Peptide affinity purified

Formulation

PBS

Format

BSA Free

Preservative

0.02% Sodium Azide

Concentration

1 mg/ml

Shipping

The product is shipped with polar packs. Upon receipt, store it immediately at the temperature recommended below.

Stability & Storage

Store at 4C short term. Aliquot and store at -20C long term. Avoid freeze-thaw cycles.

Background: TRIM5 gamma

TRIM5 is a member of a broad family of otherwise unrelated proteins defined by the presence of a tripartite motif containing a RING domain, a B-box type 1, and a B-box type 2, followed by a coiled-coil region. TRIM5 has five alternately spliced isoforms, the longest of which is the alpha variant which also contains a carboxy-terminal B30.2 (SPRY) domain. While a function has not yet been assigned to TRIM5gamma, it is known that expression of TRIM5alpha variants from humans, rhesus monkeys, and African green monkeys enable resistance to infection by various retroviruses including HIV-1, albeit at differing efficiencies. Furthermore, the TRIM5delta isoform appears to serve as a scaffold for the assembly of endogenous BTBD1 and BTBD2 proteins and also exhibits autoubiquitination activity in a RING finger- and UbcH5B-dependent manner.

Alternate Names

EC 6.3.2, EC 6.3.2.-, RING finger protein 88, RNF88tripartite motif protein TRIM, TRIM5alpha, tripartite motif containing 5, tripartite motif protein TRIM5, tripartite motif-containing 5, tripartite motif-containing protein 5

Gene Symbol

TRIM5

Additional TRIM5 gamma Products

Product Documents for TRIM5 gamma Antibody - BSA Free

Certificate of Analysis

To download a Certificate of Analysis, please enter a lot number in the search box below.

Product Specific Notices for TRIM5 gamma Antibody - BSA Free

This product is for research use only and is not approved for use in humans or in clinical diagnosis. Primary Antibodies are guaranteed for 1 year from date of receipt.

Loading...
Loading...
Loading...
Loading...