Transglutaminase 2/TGM2 Antibody - BSA Free
Novus Biologicals, part of Bio-Techne | Catalog # NBP1-86952
Key Product Details
Validated by
Orthogonal Validation, Independent Antibodies
Species Reactivity
Human
Applications
Immunohistochemistry, Immunohistochemistry-Paraffin, Western Blot
Label
Unconjugated
Antibody Source
Polyclonal Rabbit IgG
Format
BSA Free
Concentration
Concentrations vary lot to lot. See vial label for concentration. If unlisted please contact technical services.
Product Specifications
Immunogen
This antibody was developed against Recombinant Protein corresponding to amino acids: MAEELVLERCDLELETNGRDHHTADLCREKLVVRRGQPFWLTLHFEGRNYEASVDSLTFSVVTGPAPSQEAGTK
Reactivity Notes
Immunogen displays the following percentage of sequence identity for non-tested species: Mouse (81%)
Clonality
Polyclonal
Host
Rabbit
Isotype
IgG
Scientific Data Images for Transglutaminase 2/TGM2 Antibody - BSA Free
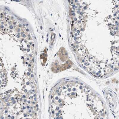
Immunohistochemistry-Paraffin: Transglutaminase 2/TGM2 Antibody [NBP1-86952]
Immunohistochemistry-Paraffin: Transglutaminase 2/TGM2 Antibody [NBP1-86952] - Staining of human endometrium, fallopian tube, placenta and testis using Anti-TGM2 antibody NBP1-86952 (A) shows similar protein distribution across tissues to independent antibody NBP1-86951 (B).Immunohistochemistry-Paraffin: Transglutaminase 2/TGM2 Antibody [NBP1-86952]
Immunohistochemistry-Paraffin: Transglutaminase 2/TGM2 Antibody [NBP1-86952] - Staining of human Fallopian tube shows strong cytoplasmic positivity in stromal cells.Applications for Transglutaminase 2/TGM2 Antibody - BSA Free
Application
Recommended Usage
Immunohistochemistry
1:50 - 1:200
Immunohistochemistry-Paraffin
1:50 - 1:200
Western Blot
0.04-0.4 ug/ml
Application Notes
For IHC-Paraffin, HIER pH 6 retrieval is recommended. Immunocytochemistry/Immunofluorescence Fixation Permeabilization: Use PFA/Triton X-100.
Formulation, Preparation, and Storage
Purification
Affinity purified
Formulation
PBS (pH 7.2) and 40% Glycerol
Format
BSA Free
Preservative
0.02% Sodium Azide
Concentration
Concentrations vary lot to lot. See vial label for concentration. If unlisted please contact technical services.
Shipping
The product is shipped with polar packs. Upon receipt, store it immediately at the temperature recommended below.
Stability & Storage
Store at 4C short term. Aliquot and store at -20C long term. Avoid freeze-thaw cycles.
Background: Transglutaminase 2/TGM2
Alternate Names
TGC, TGM2, Transglutaminase 2, tTG
Gene Symbol
TGM2
Additional Transglutaminase 2/TGM2 Products
Product Documents for Transglutaminase 2/TGM2 Antibody - BSA Free
Product Specific Notices for Transglutaminase 2/TGM2 Antibody - BSA Free
This product is for research use only and is not approved for use in humans or in clinical diagnosis. Primary Antibodies are guaranteed for 1 year from date of receipt.
Loading...
Loading...
Loading...
Loading...