Skip to main content

TRAF-2 Antibody - BSA Free

Novus Biologicals, part of Bio-Techne | Catalog # NBP1-77248

Novus Biologicals, part of Bio-Techne

Key Product Details

Species Reactivity

Human, Mouse, Rat

Applications

Immunohistochemistry, Immunohistochemistry-Paraffin, Western Blot, ELISA, Immunocytochemistry/ Immunofluorescence, Immunoprecipitation

Label

Unconjugated

Antibody Source

Polyclonal Rabbit IgG

Format

BSA Free

Concentration

1 mg/ml

Product Specifications

Immunogen

Antibody was raised against a 16 amino acid synthetic peptide from near the amino terminus of human TRAF2. The immunogen is located within amino acids 180 - 230 of TRAF2. Amino Acid Squence: CGKKKIPREKFQDHVK

Clonality

Polyclonal

Host

Rabbit

Isotype

IgG

Description

Novus Biologicals Rabbit TRAF-2 Antibody - BSA Free (NBP1-77248) is a polyclonal antibody validated for use in IHC, WB, ELISA, ICC/IF and IP. All Novus Biologicals antibodies are covered by our 100% guarantee.

Scientific Data Images for TRAF-2 Antibody - BSA Free

Western Blot: TRAF-2 AntibodyBSA Free [NBP1-77248]

Western Blot: TRAF-2 AntibodyBSA Free [NBP1-77248]

Western Blot: TRAF-2 Antibody [NBP1-77248] - Western blot analysis of TRAF2 in human liver tissue lysate with TRAF2 antibody at (A) 0.5, (B) 1 and (C) 2 ug/mL.
Immunocytochemistry/ Immunofluorescence: TRAF-2 Antibody - BSA Free [NBP1-77248]

Immunocytochemistry/ Immunofluorescence: TRAF-2 Antibody - BSA Free [NBP1-77248]

Immunocytochemistry/Immunofluorescence: TRAF-2 Antibody [NBP1-77248] - Immunofluorescence of TRAF2 in Hela cells with TRAF2 antibody at 20 ug/mL. Green: TRAF2 Antibody (NBP1-77248) Blue: DAPI staining
TRAF-2 Antibody - BSA Free

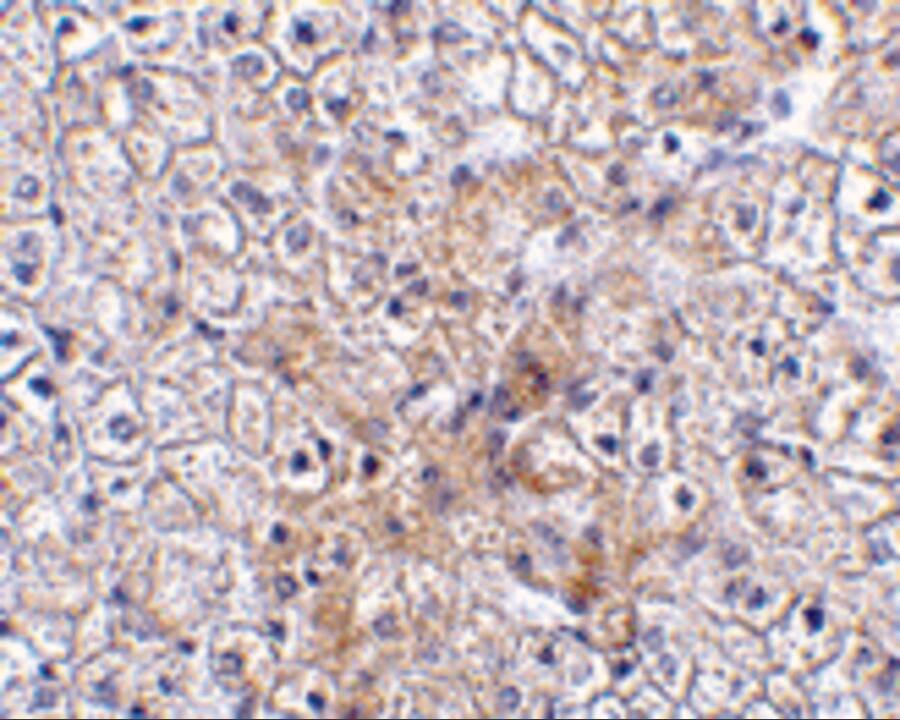
Immunohistochemistry: TRAF-2 Antibody - BSA Free [NBP1-77248] -

Immunohistochemistry: TRAF-2 Antibody - BSA Free [NBP1-77248] - Immunohistochemistry of TRAF-2 in human liver tissue with TRAF-2 antibody at 2.5 u/mL.

Applications for TRAF-2 Antibody - BSA Free

Application
Recommended Usage

ELISA

1:100-1:2000

Immunocytochemistry/ Immunofluorescence

20 ug/ml

Immunohistochemistry

2.5 ug/ml

Immunohistochemistry-Paraffin

2.5 ug/ml

Western Blot

0.5-2 ug/ml

Formulation, Preparation, and Storage

Purification

Peptide affinity purified

Formulation

PBS

Format

BSA Free

Preservative

0.02% Sodium Azide

Concentration

1 mg/ml

Shipping

The product is shipped with polar packs. Upon receipt, store it immediately at the temperature recommended below.

Stability & Storage

Store at 4C short term. Aliquot and store at -20C long term. Avoid freeze-thaw cycles.

Background: TRAF-2

Tumor necrosis factor (TNF) receptor associated factors (TRAFs) were initially discovered as adaptor proteins that link the TNF receptor superfamily to signaling pathways and are thus important regulators of cell death and cellular response to stress. TRAF proteins share a homology region that allows them to bind to cell receptors and other TRAF proteins, causing the activation of different signal cascades depending on the TRAFs involved. For example, TRAF2 and TRAF3 directly bind to the CD40, a NF receptor superfamily member involved in inducing B cell immunity, and are critical for NF-kappaB activation in mouse B lymphocytes. TRAF2 along with TRAF6 has also been shown to be required for CD40 signaling in nonhemopoietic cells. TRAF2 also interacts with the TRFR superfamily member lymphotoxin-beta receptor (LTbetaR) in association with TRAF3 and the apoptosis inhibitors cIAP1 and Smac.

Long Name

TNF Receptor-Associated Factor 2

Alternate Names

TRAF2, TRAP3

Gene Symbol

TRAF2

Additional TRAF-2 Products

Product Documents for TRAF-2 Antibody - BSA Free

Certificate of Analysis

To download a Certificate of Analysis, please enter a lot number in the search box below.

Product Specific Notices for TRAF-2 Antibody - BSA Free

This product is for research use only and is not approved for use in humans or in clinical diagnosis. Primary Antibodies are guaranteed for 1 year from date of receipt.

Loading...
Loading...
Loading...
Loading...