Skip to main content

TRAF-2 Antibody - BSA Free

Novus Biologicals, part of Bio-Techne | Catalog # NB100-56173

Novus Biologicals, part of Bio-Techne
Catalog #
Availability
Size / Price
Qty
Loading...
NB100-56173
NB100-56173SS

Key Product Details

Validated by

Biological Validation

Species Reactivity

Validated:

Human

Cited:

Human

Applications

Validated:

Immunohistochemistry, Immunohistochemistry-Paraffin, Western Blot, Flow Cytometry, Immunocytochemistry/ Immunofluorescence, Immunoprecipitation

Cited:

Immunohistochemistry-Paraffin, Western Blot, Immunocytochemistry/ Immunofluorescence, Immunoprecipitation

Label

Unconjugated

Antibody Source

Polyclonal Rabbit IgG

Format

BSA Free

Concentration

This product is unpurified. The exact concentration of antibody is not quantifiable.

Product Specifications

Immunogen

A synthetic peptide corresponding to amino acids 6-31 (VTPPGSLELLQPGFSKTLLGTKLEAK) of human TRAF2 was used as immunogen, GenBank no. NP_066961.2. This peptide sequence is 92% conserved in mouse and rat TRAF2. The peptide immunogen sequence is 100% conserved in multiple human TRAF2 GenBank accession numbers. These TRAF2 accession numbers are of varying amino acid (aa) lengths and include: 1) NP_066961.2 = 501 aa. 2) CAI12705.1 =121 aa. 3) CAI12704.1 = 422 aa. 4) CAI15104.1 = 193 aa. 5) BAD96681.1 = 205 aa.

Specificity

The gene encoding TRAF2 produces, by alternative splicing, 15 different transcripts, all with introns, putatively encoding 15 different protein isoforms. These isoforms are of varying amino acid lengths. Therefore the molecular weight observed by western blot may vary, depending on the isoform expressed. Users are encouraged to use the peptide immunogen sequence information provided in the antigen section to gain additional information about the potential TRAF2 isoforms detected by the antibody.

Clonality

Polyclonal

Host

Rabbit

Isotype

IgG

Description

Novus Biologicals Rabbit TRAF-2 Antibody - BSA Free (NB100-56173) is a polyclonal antibody validated for use in IHC, WB, Flow, ICC/IF and IP. Anti-TRAF-2 Antibody: Cited in 4 publications. All Novus Biologicals antibodies are covered by our 100% guarantee.

Scientific Data Images for TRAF-2 Antibody - BSA Free

Western Blot: TRAF-2 Antibody [NB100-56173]

Western Blot: TRAF-2 Antibody [NB100-56173]

Western Blot: TRAF-2 Antibody [NB100-56173] - Analysis of TRAF-2 in normal human tissues using this antibody. TRAF-2 is observed at ~60-64 kDa. Additional bands of lower molecular weight were seen in some cases, and may represent TRAF-2 degradation fragments.
Immunocytochemistry/ Immunofluorescence: TRAF-2 Antibody [NB100-56173]

Immunocytochemistry/ Immunofluorescence: TRAF-2 Antibody [NB100-56173]

TRAF-2-Antibody-Immunocytochemistry-Immunofluorescence-NB100-56173-img0009.jpg
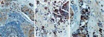
Immunohistochemistry-Paraffin: TRAF-2 Antibody [NB100-56173]

Immunohistochemistry-Paraffin: TRAF-2 Antibody [NB100-56173]

Immunohistochemistry-Paraffin: TRAF-2 Antibody [NB100-56173] - Formalin-fixed, paraffin-embedded human colon carcinoma tissue sections stained for TRAF2 using this antibody at 1:2000. Hematoxylin-eosin counterstain.

Applications for TRAF-2 Antibody - BSA Free

Application
Recommended Usage

Immunocytochemistry/ Immunofluorescence

1:10-1:500

Immunohistochemistry

1:10-1:500

Immunohistochemistry-Paraffin

1:1000-1:5000

Immunoprecipitation

1:50-1:200

Western Blot

1:1000-1:2000

Formulation, Preparation, and Storage

Purification

Unpurified

Formulation

Whole antisera

Format

BSA Free

Preservative

0.02% Sodium Azide

Concentration

This product is unpurified. The exact concentration of antibody is not quantifiable.

Shipping

The product is shipped with polar packs. Upon receipt, store it immediately at the temperature recommended below.

Stability & Storage

Store at 4C short term. Aliquot and store at -20C long term. Avoid freeze-thaw cycles.

Background: TRAF-2

The TRAF (TNF receptor-associated factor) family is a group of adapter proteins (TRAFs 1-6) that link a wide variety of cell surface receptors to diverse signaling cascades leading to the activation of NF-kB and mitogen-activated protein kinases (reviewed in Chung et al, 2002). TRAFs are major signal transducers for both the TNF and IL- 1/TLR receptor super families and collectively play important functions in both adaptive and innate immunity. The carboxy-terminal region of TRAFs is required for self-association and interaction with receptor cytoplasmic domains following ligand-induced oligomerization. TRAFs interact with a variety of proteins that regulate receptor-induced cell death or survival, and TRAF-mediated signaling can promote cell survival or interfere with death receptor-induced apoptosis. TRAF2 is typically described as a 501 amino acid protein, GenBank no. NP_066961.2. However, various TRAF2 isoforms have been described. Therefore, the molecular weight of TRAF2 detected by Western blot may vary depending on isoforms expressed.

Long Name

TNF Receptor-Associated Factor 2

Alternate Names

TRAF2, TRAP3

Entrez Gene IDs

7186 (Human)

Gene Symbol

TRAF2

Additional TRAF-2 Products

Product Documents for TRAF-2 Antibody - BSA Free

Certificate of Analysis

To download a Certificate of Analysis, please enter a lot number in the search box below.

Product Specific Notices for TRAF-2 Antibody - BSA Free

This product is for research use only and is not approved for use in humans or in clinical diagnosis. Primary Antibodies are guaranteed for 1 year from date of receipt.

Loading...
Loading...
Loading...
Loading...
Loading...