Skip to main content

TRAF-2 Antibody - BSA Free

Novus Biologicals, part of Bio-Techne | Catalog # NB100-56172

Novus Biologicals, part of Bio-Techne
Catalog #
Availability
Size / Price
Qty
Loading...
NB100-56172
NB100-56172SS

Key Product Details

Species Reactivity

Validated:

Human, Mouse, Rat

Cited:

Mouse

Applications

Validated:

Immunohistochemistry, Immunohistochemistry-Paraffin, Immunohistochemistry-Frozen, Western Blot, Immunocytochemistry/ Immunofluorescence, Immunoprecipitation

Cited:

Immunocytochemistry/ Immunofluorescence

Label

Unconjugated

Antibody Source

Polyclonal Rabbit IgG

Format

BSA Free

Concentration

This product is unpurified. The exact concentration of antibody is not quantifiable.

Product Specifications

Immunogen

A synthetic peptide corresponding to amino acids 87-106 (SSSAFPDNAARREVESLPAV) of human TRAF2 was used as immunogen, GenBank no. NP_066961.2. This peptide sequence is 100% conserved in mouse and rat TRAF2. The peptide immunogen sequence is 100% conserved in multiple human TRAF2 GenBank accession numbers. These TRAF2 accession numbers are of varying amino acid (aa) lengths and include: 1. NP_066961.2 = 501 aa. 2. CAI12705.1 =121 aa. 3. CAI12704.1 = 422 aa. 4. CAI15104.1 = 193 aa. 5. BAD96681.1 = 205 aa.

Specificity

The gene encoding TRAF2 produces, by alternative splicing, 15 different transcripts, all with introns, putatively encoding 15 different protein isoforms. These isoforms are of varying amino acid lengths. Therefore the molecular weight observed by western blot may vary, depending on the isoform expressed. Users are encouraged to use the peptide immunogen sequence information provided in the antigen section to gain additional information about the potential TRAF2 isoforms detected by the antibody.

Clonality

Polyclonal

Host

Rabbit

Isotype

IgG

Description

Novus Biologicals Rabbit TRAF-2 Antibody - BSA Free (NB100-56172) is a polyclonal antibody validated for use in IHC, WB, ICC/IF and IP. Anti-TRAF-2 Antibody: Cited in 1 publication. All Novus Biologicals antibodies are covered by our 100% guarantee.

Scientific Data Images for TRAF-2 Antibody - BSA Free

Immunohistochemistry-Paraffin: TRAF-2 Antibody [NB100-56172]

Immunohistochemistry-Paraffin: TRAF-2 Antibody [NB100-56172]

Immunohistochemistry-Paraffin: TRAF-2 Antibody [NB100-56172] - Analysis of TRAF-2 in formalin-fixed, paraffin-embedded normal human thymus sections using NB100-56172 at 1:2000. A-C, successively higher magnifications. Hematoxylin-eosin counterstain.
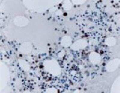
Immunohistochemistry: TRAF-2 Antibody [NB100-56172]

Immunohistochemistry: TRAF-2 Antibody [NB100-56172]

Immunohistochemistry: TRAF-2 Antibody [NB100-56172] - Analysis of TRAF2 in formalin-fixed, paraffin-embedded normal human bone marrow section using NB100-56172 at 1:2000. Hematoxylin-eosin counterstain.

Applications for TRAF-2 Antibody - BSA Free

Application
Recommended Usage

Immunocytochemistry/ Immunofluorescence

reported in scientific literature (PMID 33471802)

Immunohistochemistry-Frozen

Use at an assay dependent dilution

Immunohistochemistry-Paraffin

1/1000 - 1/500

Western Blot

1/1000 - 1/200

Formulation, Preparation, and Storage

Purification

Unpurified

Formulation

Whole antisera

Format

BSA Free

Preservative

0.05% Sodium Azide

Concentration

This product is unpurified. The exact concentration of antibody is not quantifiable.

Shipping

The product is shipped with polar packs. Upon receipt, store it immediately at the temperature recommended below.

Stability & Storage

Aliquot and store at -20C or -80C. Avoid freeze-thaw cycles.

Background: TRAF-2

The TRAF (TNF receptor-associated factor) family is a group of adapter proteins (TRAFs 1-6) that link a wide variety of cell surface receptors to diverse signaling cascades leading to the activation of NF-kB and mitogen-activated protein kinases (reviewed in Chung et al, 2002). TRAFs are major signal transducers for both the TNF and IL- 1/TLR receptor superfamilies and collectively play important functions in both adaptive and innate immunity. The carboxy-terminal region of TRAFs is required for self-association and interaction with receptor cytoplasmic domains following ligand-induced oligomerization. TRAFs interact with a variety of proteins that regulate receptor-induced cell death or survival, and TRAF-mediated signaling can promote cell survival or interfere with death receptor-induced apoptosis. NB100-56172 recognizes TRAF2. TRAF2 is typically described as a 501 amino acid (aa) protein, GenBank no. NP_066961.2. However, various TRAF2 isoforms have been described. Therefore the molecular weight of TRAF2 detected by Western blot may vary depending on isoforms expressed, please see the Application Notes for additional details. IMG-5760 detects TRAF2 isoforms containing the peptide immunogen sequence listed in the Antigen section.

Long Name

TNF Receptor-Associated Factor 2

Alternate Names

TRAF2, TRAP3

Entrez Gene IDs

7186 (Human); 22030 (Mouse); 311786 (Rat)

Gene Symbol

TRAF2

Additional TRAF-2 Products

Product Documents for TRAF-2 Antibody - BSA Free

Certificate of Analysis

To download a Certificate of Analysis, please enter a lot number in the search box below.

Product Specific Notices for TRAF-2 Antibody - BSA Free

This product is for research use only and is not approved for use in humans or in clinical diagnosis. Primary Antibodies are guaranteed for 1 year from date of receipt.

Loading...
Loading...
Loading...
Loading...