Skip to main content

TNF RII/TNFRSF1B Antibody (JM113-01)

Novus Biologicals, part of Bio-Techne | Catalog # NBP2-67218

Recombinant Monoclonal Antibody.
Novus Biologicals, part of Bio-Techne
Catalog #
Availability
Size / Price
Qty
Loading...
NBP2-67218

Key Product Details

Species Reactivity

Human, Mouse, Rat

Applications

Flow Cytometry, Immunocytochemistry/ Immunofluorescence, Immunohistochemistry, Immunohistochemistry-Frozen, Immunohistochemistry-Paraffin, Immunoprecipitation, Western Blot

Label

Unconjugated

Antibody Source

Recombinant Monoclonal Rabbit IgG Clone # JM113-01 expressed in HEK293

Concentration

1 mg/ml

Product Specifications

Immunogen

Synthetic peptide within Human TNF RII/TNFRSF1B aa 426-461 / 461. (SwissProt: P20333 Human; SwissProt: P25119 Mouse; SwissProt: Q80WY6 Rat)

Localization

Cell membrane, Membrane, Secreted.

Clonality

Monoclonal

Host

Rabbit

Isotype

IgG

Description

Novus Biologicals Rabbit TNF RII/TNFRSF1B Antibody (JM113-01) (NBP2-67218) is a recombinant monoclonal antibody validated for use in IHC, WB, Flow, ICC/IF and IP. All Novus Biologicals antibodies are covered by our 100% guarantee.

Scientific Data Images for TNF RII/TNFRSF1B Antibody (JM113-01)

Western Blot: TNF RII/TNFRSF1B Antibody (JM113-01) [NBP2-67218]

Western Blot: TNF RII/TNFRSF1B Antibody (JM113-01) [NBP2-67218]

Western Blot: TNF RII/TNFRSF1B Antibody (JM113-01) [NBP2-67218] - Western blot analysis of TNF RII/TNFRSF1B on different lysates. Proteins were transferred to a PVDF membrane and blocked with 5% BSA in PBS for 1 hour at room temperature. The primary antibody (1/500) was used in 5% BSA at room temperature for 2 hours. Goat Anti-Rabbit IgG - HRP Secondary Antibody (HA1001) at 1:5,000 dilution was used for 1 hour at room temperature. Positive control: Lane 2: MCF-7 cell lysate Lane 2: Jurkat cell lysate Lane 2: Hela cell lysate
Immunocytochemistry/ Immunofluorescence: TNF RII/TNFRSF1B Antibody (JM113-01) [NBP2-67218]

Immunocytochemistry/ Immunofluorescence: TNF RII/TNFRSF1B Antibody (JM113-01) [NBP2-67218]

Immunocytochemistry/Immunofluorescence: TNF RII/TNFRSF1B Antibody (JM113-01) [NBP2-67218] - Staining TNF Receptor II in SW480 cells (red). The nuclear counter stain is DAPI (blue). Cells were fixed in paraformaldehyde, permeabilised with 0.25% Triton X100/PBS.
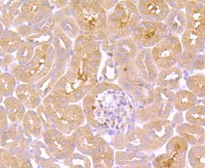
Immunohistochemistry-Paraffin: TNF RII/TNFRSF1B Antibody (JM113-01) [NBP2-67218]

Immunohistochemistry-Paraffin: TNF RII/TNFRSF1B Antibody (JM113-01) [NBP2-67218]

Immunohistochemistry-Paraffin: TNF RII/TNFRSF1B Antibody (JM113-01) [NBP2-67218] - Analysis of paraffin-embedded mouse kidney tissue anti-TNF Receptor II antibody. Counter stained with hematoxylin.

Applications for TNF RII/TNFRSF1B Antibody (JM113-01)

Application
Recommended Usage

Flow Cytometry

1:50-1:100

Immunocytochemistry/ Immunofluorescence

1:50-1:200

Immunohistochemistry-Frozen

1:200

Immunohistochemistry-Paraffin

1:50-1:200

Western Blot

1:500-1:2000

Formulation, Preparation, and Storage

Purification

Protein A purified

Formulation

TBS (pH7.4), 0.05% BSA, 40% Glycerol

Preservative

0.05% Sodium Azide

Concentration

1 mg/ml

Shipping

The product is shipped with polar packs. Upon receipt, store it immediately at the temperature recommended below.

Stability & Storage

Store at 4C short term. Aliquot and store at -20C long term. Avoid freeze-thaw cycles.

Background: TNF RII/TNFRSF1B

Tumor Necrosis Factor (TNF) is a cytokine whose function is mediated through two distinct cell surface receptors (TNF Receptor I and TNF Receptor II) that are included in the TNF receptor superfamily along with FAS antigen and CD40. TNF receptors I and II are 55 and 75 kDa members, respectively, of a family of cell surface molecules including nerve growth factor receptor, Fas/Apo1, CD30, OX40, and 4-1BB, which are characterized by cysteine rich motifs in the extracellular domain. TNF Receptor II (p75, CD120b) is present on most cell types (including monocytes, endothelial cells, Langerhans cells, and macrophages) and is considered to play a role in cell stimulation by TNF alpha. TNF Receptor II molecule is shown to be responsible for stimulation of activated T lymphocytes by TNF alpha.

Long Name

Tumor Necrosis Factor Receptor II

Alternate Names

CD120b, TNFRII, TNFRSF1B

Gene Symbol

TNFRSF1B

Additional TNF RII/TNFRSF1B Products

Product Documents for TNF RII/TNFRSF1B Antibody (JM113-01)

Certificate of Analysis

To download a Certificate of Analysis, please enter a lot number in the search box below.

Product Specific Notices for TNF RII/TNFRSF1B Antibody (JM113-01)

This product is for research use only and is not approved for use in humans or in clinical diagnosis. Primary Antibodies are guaranteed for 1 year from date of receipt.

Loading...
Loading...
Loading...
Loading...
Loading...