Skip to main content

TMEM192 Antibody - BSA Free

Novus Biologicals, part of Bio-Techne | Catalog # NBP1-93799

Novus Biologicals, part of Bio-Techne
Catalog #
Availability
Size / Price
Qty
Loading...
NBP1-93799
NBP1-93799-25ul

Key Product Details

Validated by

Independent Antibodies

Species Reactivity

Human

Applications

Immunohistochemistry, Immunohistochemistry-Paraffin

Label

Unconjugated

Antibody Source

Polyclonal Rabbit IgG

Format

BSA Free

Concentration

Concentrations vary lot to lot. See vial label for concentration. If unlisted please contact technical services.

Product Specifications

Immunogen

This antibody was developed against Recombinant Protein corresponding to amino acids: DGSLDITQSIEDDPLLDAQLLPHHSLQAHFRPRFHPLPT

Reactivity Notes

Immunogen displays the following percentage of sequence identity for non-tested species: Mouse (82%), Rat (82%)

Clonality

Polyclonal

Host

Rabbit

Isotype

IgG

Description

Novus Biologicals Rabbit TMEM192 Antibody - BSA Free (NBP1-93799) is a polyclonal antibody validated for use in IHC. All Novus Biologicals antibodies are covered by our 100% guarantee.

Scientific Data Images for TMEM192 Antibody - BSA Free

Immunohistochemistry: TMEM192 Antibody [NBP1-93799]

Immunohistochemistry: TMEM192 Antibody [NBP1-93799]

Immunohistochemistry: TMEM192 Antibody [NBP1-93799] - Staining of human thyroid gland shows strong cytoplasmic positivity in glandular cells.
Immunohistochemistry-Paraffin: TMEM192 Antibody [NBP1-93799]

Immunohistochemistry-Paraffin: TMEM192 Antibody [NBP1-93799]

Immunohistochemistry-Paraffin: TMEM192 Antibody [NBP1-93799] - Staining of human cerebral cortex, kidney, liver and pancreas using Anti-TMEM192 antibody NBP1-93799 (A) shows similar protein distribution across tissues to independent antibody NBP1-93798 (B).
Immunohistochemistry-Paraffin: TMEM192 Antibody [NBP1-93799]

Immunohistochemistry-Paraffin: TMEM192 Antibody [NBP1-93799]

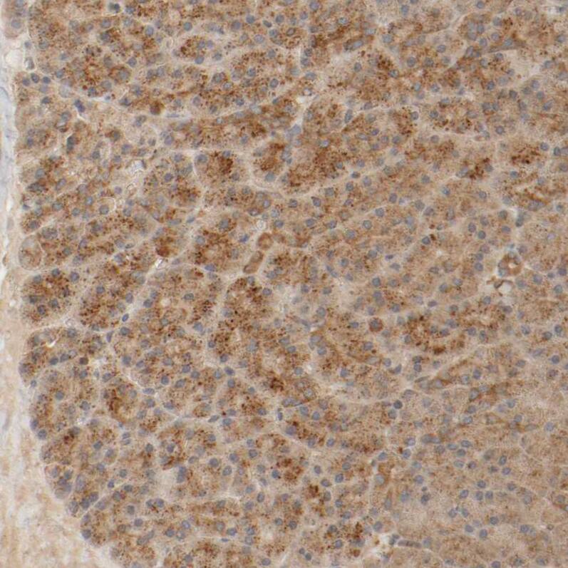
Immunohistochemistry-Paraffin: TMEM192 Antibody [NBP1-93799] - Staining of human liver shows moderate to strong granular cytoplasmic positivity in hepatocytes.

Applications for TMEM192 Antibody - BSA Free

Application
Recommended Usage

Immunohistochemistry

1:200 - 1:500

Immunohistochemistry-Paraffin

1:200 - 1:500
Application Notes
For IHC-Paraffin, HIER pH 6 retrieval is recommended.

Formulation, Preparation, and Storage

Purification

Affinity purified

Formulation

PBS (pH 7.2) and 40% Glycerol

Format

BSA Free

Preservative

0.02% Sodium Azide

Concentration

Concentrations vary lot to lot. See vial label for concentration. If unlisted please contact technical services.

Shipping

The product is shipped with polar packs. Upon receipt, store it immediately at the temperature recommended below.

Stability & Storage

Store at 4C short term. Aliquot and store at -20C long term. Avoid freeze-thaw cycles.

Background: TMEM192

Alternate Names

FLJ38482, transmembrane protein 192

Gene Symbol

TMEM192

Additional TMEM192 Products

Product Documents for TMEM192 Antibody - BSA Free

Certificate of Analysis

To download a Certificate of Analysis, please enter a lot number in the search box below.

Product Specific Notices for TMEM192 Antibody - BSA Free

This product is for research use only and is not approved for use in humans or in clinical diagnosis. Primary Antibodies are guaranteed for 1 year from date of receipt.

Loading...
Loading...
Loading...
Loading...