Skip to main content

TMEM119 Antibody (CL8714) - Azide and BSA Free

Novus Biologicals, part of Bio-Techne | Catalog # NBP3-43823

Novus Biologicals, part of Bio-Techne
Catalog #
Availability
Size / Price
Qty
Loading...
NBP3-43823
Conjugate
Catalog #
Forumulation
Catalog #

Key Product Details

Validated by

Orthogonal Validation

Species Reactivity

Human

Applications

Immunohistochemistry-Paraffin, Western Blot, Immunocytochemistry/ Immunofluorescence

Label

Unconjugated

Antibody Source

Monoclonal Mouse IgG1 Clone # CL8714

Format

Azide and BSA Free

Concentration

LYOPH mg/ml

Product Specifications

Immunogen

This antibody was generated using a recombinant protein sequence of Q4V9L6, with the exact immunogen sequence remaining proprietary.

Clonality

Monoclonal

Host

Mouse

Isotype

IgG1

Scientific Data Images for TMEM119 Antibody (CL8714) - Azide and BSA Free

TMEM119 Antibody (CL8714) - Azide and BSA Free Immunohistochemistry-Paraffin: TMEM119 Antibody [NBP3-43823]

Immunohistochemistry-Paraffin: TMEM119 Antibody [NBP3-43823]

Analysis in human cerebral cortex and liver tissues using NBP3-43823 antibody. Corresponding TMEM119 RNA-seq data are presented for the same tissues.
TMEM119 Antibody (CL8714) - Azide and BSA Free Immunohistochemistry-Paraffin: TMEM119 Antibody [NBP3-43823]

Immunohistochemistry-Paraffin: TMEM119 Antibody [NBP3-43823]

Staining of human cerebellum shows strong membranous positivity in microglia.
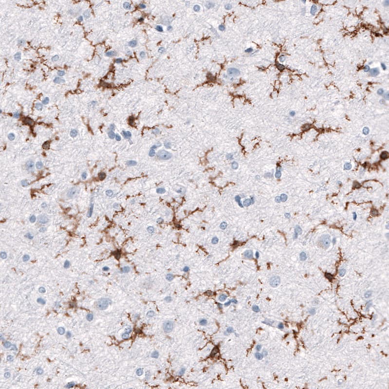
TMEM119 Antibody (CL8714) - Azide and BSA Free Immunohistochemistry-Paraffin: TMEM119 Antibody [NBP3-43823]

Immunohistochemistry-Paraffin: TMEM119 Antibody [NBP3-43823]

Staining of human cerebral cortex shows strong membranous positivity in microglia.

Applications for TMEM119 Antibody (CL8714) - Azide and BSA Free

Application
Recommended Usage

Immunocytochemistry/ Immunofluorescence

2-10 ug/ml

Immunohistochemistry-Paraffin

1:5000 - 1:10000

Western Blot

1 ug/ml
Application Notes
For IHC, HIER pH 6 retrieval is recommended. Immunocytochemistry/ Immunofluorescence/IF Fixation/Permeabilization: PFA/Triton X-100.

Formulation, Preparation, and Storage

Purification

Protein A purified

Reconstitution

Centrifuge the vial of lyophilized antibody at 12,000 x g for 20 seconds. Reconstitute by adding sterile, distilled water to achieve a final antibody concentration of 1mg/ml.

Formulation

Lyophilized from a 0.2 um filtered solution in PBS with Trehalose

Format

Azide and BSA Free

Preservative

No Preservative

Concentration

LYOPH mg/ml

Shipping

The product is shipped at ambient temperature. Upon receipt, store it immediately at the temperature recommended below.

Stability & Storage

Store at 4C short term. Aliquot and store at -20C long term. Avoid freeze-thaw cycles.

Background: TMEM119

ATF4 is an approximately 38 kDa member of the bzip family of transcription factors. It plays an important role autophagy, the unfolded protein response, and the response to oxygen and nutrient deprivation. These functions are regulated by the dimerization of ATF4 with the leucine zipper protein FIAT. ATF4 contains a basic DNA-binding domain (aa 280-300) and a leucine zipper domain (aa 306-334).

Long Name

Transmembrane Protein 119

Alternate Names

OBIF

Gene Symbol

TMEM119

Additional TMEM119 Products

Product Documents for TMEM119 Antibody (CL8714) - Azide and BSA Free

Certificate of Analysis

To download a Certificate of Analysis, please enter a lot number in the search box below.

Product Specific Notices for TMEM119 Antibody (CL8714) - Azide and BSA Free

This product is for research use only and is not approved for use in humans or in clinical diagnosis. Primary Antibodies are guaranteed for 1 year from date of receipt.

Loading...
Loading...
Loading...
Loading...
Loading...