Skip to main content

TLR9 Antibody (2A4C6.2E5) - BSA Free

Novus Biologicals, part of Bio-Techne | Catalog # NBP2-31150

Novus Biologicals, part of Bio-Techne
Catalog #
Availability
Size / Price
Qty
Loading...
NBP2-31150
NBP2-31150SS

Key Product Details

Species Reactivity

Mouse

Applications

ICC/IF (Negative), Immunohistochemistry, Immunohistochemistry-Paraffin, Western Blot

Label

Unconjugated

Antibody Source

Monoclonal Rat IgG2a Kappa Clone # 2A4C6.2E5

Format

BSA Free

Concentration

1.0 mg/ml

Product Specifications

Immunogen

Partial recombinant protein made to an internal portion of mouse TLR9 (between amino acids 500-800) [UniProt Q9EQU3]

Localization

Endoplasmic reticulum membrane, Endosome, Lysosome, Cytoplasmic vesicle/phagosome.

Clonality

Monoclonal

Host

Rat

Isotype

IgG2a Kappa

Description

Novus Biologicals Rat TLR9 Antibody (2A4C6.2E5) - BSA Free (NBP2-31150) is a monoclonal antibody validated for use in IHC and WB. All Novus Biologicals antibodies are covered by our 100% guarantee.

Scientific Data Images for TLR9 Antibody (2A4C6.2E5) - BSA Free

Western Blot: TLR9 Antibody (2A4C6.2E5)BSA Free [NBP2-31150]

Western Blot: TLR9 Antibody (2A4C6.2E5)BSA Free [NBP2-31150]

Western Blot: TLR9 Antibody (2A4C6.2E5) [NBP2-31150] - Mouse Liver (lane 1), Mouse Kidney (lane 2) and Mouse Spleen (lane 3) were separated by SDS-PAGE and the protein transferred to PVDF. The membrane was then probed with anti-TLR9 at 2ug/mL and detected with an anti-rat HRP secondary antibody using chemiluminescence.
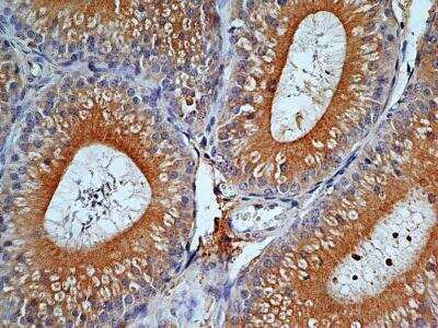
Immunohistochemistry-Paraffin: TLR9 Antibody (2A4C6.2E5) - BSA Free [NBP2-31150]

Immunohistochemistry-Paraffin: TLR9 Antibody (2A4C6.2E5) - BSA Free [NBP2-31150]

Immunohistochemistry-Paraffin: TLR9 Antibody (2A4C6.2E5) [NBP2-31150] - Analysis of TLR9 protein in normal mouse epididymis section using TLR9 antibody (clone 2E5) at a concentration of 5 ug/mL. This antibody developed strong cytoplasmic staining in the pseudostratified columnar epithelial cells as well as the blood vessels of epididymis. The basal cells, the smooth muscle cells and the mature sperm cells were largely found negative for TLR9 staining.
Western Blot: TLR9 Antibody (2A4C6.2E5)BSA Free [NBP2-31150]

Western Blot: TLR9 Antibody (2A4C6.2E5)BSA Free [NBP2-31150]

Western Blot: TLR9 Antibody (2A4C6.2E5) [NBP2-31150] - TLR9 Antibody (2E5) [NBP2-31150] - TLR9 Antibody (2E5) [NBP2-31150] - WB analysis of partial recombinant TLR9 protein (expected molecular weight ~21kDa) with TLR9 antibody (clone 2A4C6.2E5) at a concentration of 2 ug/mL.

Applications for TLR9 Antibody (2A4C6.2E5) - BSA Free

Application
Recommended Usage

Immunohistochemistry

2 ug/mL

Immunohistochemistry-Paraffin

2-5 ug/mL

Western Blot

2 ug/mL

Formulation, Preparation, and Storage

Purification

Protein G purified

Formulation

PBS

Format

BSA Free

Preservative

0.05% Sodium Azide

Concentration

1.0 mg/ml

Shipping

The product is shipped with polar packs. Upon receipt, store it immediately at the temperature recommended below.

Stability & Storage

Store at 4C short term. Aliquot and store at -20C long term. Avoid freeze-thaw cycles.

Background: TLR9

The protein encoded by this gene is a member of the Toll-like receptor (TLR) family which plays a fundamental role in pathogen recognition and activation of innate immunity. TLRs are highly conserved from Drosophila to humans and share structural and functional similarities. They recognize pathogen-associated molecular patterns (PAMPs) that are expressed on infectious agents, and mediate the production of cytokines necessary for the development of effective immunity. The various TLRs exhibit different patterns of expression. This gene is preferentially expressed in immune cell rich tissues, such as spleen, lymph node, bone marrow and peripheral blood leukocytes. Studies in mice and human indicate that this receptor mediates cellular response to unmethylated CpG dinucleotides in bacterial DNA to mount an innate immune response. [provided by RefSeq]. Publication Note: This RefSeq record includes a subset of the publications that are available for this gene. Please see the Entrez Gene record to access additional publications.

Long Name

Toll-like Receptor 9

Alternate Names

CD289

Entrez Gene IDs

81897 (Mouse)

Gene Symbol

TLR9

Additional TLR9 Products

Product Documents for TLR9 Antibody (2A4C6.2E5) - BSA Free

Certificate of Analysis

To download a Certificate of Analysis, please enter a lot number in the search box below.

Product Specific Notices for TLR9 Antibody (2A4C6.2E5) - BSA Free

This product is for research use only and is not approved for use in humans or in clinical diagnosis. Primary Antibodies are guaranteed for 1 year from date of receipt.

Loading...
Loading...
Loading...
Loading...