Skip to main content

TIMP-4 Antibody (SB30c) - Azide and BSA Free

Novus Biologicals, part of Bio-Techne | Catalog # NBP1-28619

Novus Biologicals, part of Bio-Techne
Discontinued Product
NBP1-28619 has been discontinued. View all TIMP-4 products.

Key Product Details

Species Reactivity

Validated:

Human, Mouse

Cited:

Mouse

Applications

Validated:

Immunohistochemistry, Immunohistochemistry-Paraffin, Western Blot, Immunocytochemistry/ Immunofluorescence

Cited:

Immunohistochemistry-Paraffin

Label

Unconjugated

Antibody Source

Monoclonal Mouse IgG2a Kappa Clone # SB30c

Format

Azide and BSA Free

Concentration

0.5 mg/ml

Product Specifications

Immunogen

Recombinant human TIMP-4 (a.a. 35-224)

Reactivity Notes

Mouse reactivity reported in scientific literature (PMID: 31677819).

Specificity

Human/Mouse/Rat TIMP-4

Clonality

Monoclonal

Host

Mouse

Isotype

IgG2a Kappa

Theoretical MW

25.5 kDa.
Disclaimer note: The observed molecular weight of the protein may vary from the listed predicted molecular weight due to post translational modifications, post translation cleavages, relative charges, and other experimental factors.

Scientific Data Images for TIMP-4 Antibody (SB30c) - Azide and BSA Free

Western Blot: TIMP-4 Antibody (SB30c)Azide and BSA Free [NBP1-28619]

Western Blot: TIMP-4 Antibody (SB30c)Azide and BSA Free [NBP1-28619]

Western Blot: TIMP-4 Antibody (SB30c) [NBP1-28619] - 2 ug Mouse Anti-Human TIMP-4- on pancreatic cancer cell lysate with Goat Anti-Mouse IgG2a, human adsorbed-HRP
Immunocytochemistry/ Immunofluorescence: TIMP-4 Antibody (SB30c) - Azide and BSA Free [NBP1-28619]

Immunocytochemistry/ Immunofluorescence: TIMP-4 Antibody (SB30c) - Azide and BSA Free [NBP1-28619]

Immunocytochemistry/Immunofluorescence: TIMP-4 Antibody (SB30c) [NBP1-28619] - 5 ug/mL Mouse Anti-Human TIMP-4- was stained on cold methanol fixed human pancraetic carcinoma cells with DAPI and Goat Anti-Mouse Ig, human adsorbed-FITC
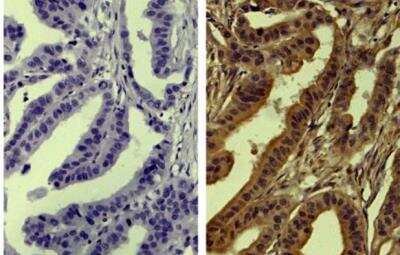
Immunohistochemistry-Paraffin: TIMP-4 Antibody (SB30c) - Azide and BSA Free [NBP1-28619]

Immunohistochemistry-Paraffin: TIMP-4 Antibody (SB30c) - Azide and BSA Free [NBP1-28619]

Immunohistochemistry-Paraffin: TIMP-4 Antibody (SB30c) [NBP1-28619] - Human gastric cancer tissue was stained with Mouse Anti-Human TIMP-4-UNLB (right) followed by followed by HRP conjugated Anti-Mouse Ig secondary antibody, DAB, and hematoxylin.

Applications for TIMP-4 Antibody (SB30c) - Azide and BSA Free

Application
Recommended Usage

Immunohistochemistry

1:10-1:500

Western Blot

1:100-1:2000
Application Notes
Use in IHC-P reported in scientific literature (PMID:31677819)

Formulation, Preparation, and Storage

Purification

Protein A or G purified

Formulation

0.1M BBS (pH 8.2)

Format

Azide and BSA Free

Preservative

No Preservative

Concentration

0.5 mg/ml

Shipping

The product is shipped with polar packs. Upon receipt, store it immediately at the temperature recommended below.

Stability & Storage

Store at 4C. Do not freeze.

Background: TIMP-4

Tissue inhibitors of matrix metalloproteinases (TIMPs) constitute a family of secreted multifunctional proteins which are classified based on structural similarity to each other as well as their ability to inhibit matrix metalloproteinases (MMPs). TIMPs therefore play a critical role in ECM homeostasis but have also been shown to have erythroid-potentiating and cell growth-promoting activities. TIMP-4 (approx. 23kDa), unlike TIMP-1, TIMP-2 and TIMP-3, shows restricted localization to cardiac, neural, breast and muscle tissue. Cardiospecific TIMP-4 seems to play a significant role in regulating the normal cell phenotype since reduced levels elicit cellular transformation. It has been shown to be an inhibitor of MMP-1, MMP-2, MMP-3, MMP-7 and MMP-9 with a preference for MMP-2 and MMP-7. (1-9)

Long Name

Tissue Inhibitors of Metalloproteinases 4

Alternate Names

TIMP4

Entrez Gene IDs

7079 (Human)

Gene Symbol

TIMP4

UniProt

Additional TIMP-4 Products

Product Documents for TIMP-4 Antibody (SB30c) - Azide and BSA Free

Certificate of Analysis

To download a Certificate of Analysis, please enter a lot number in the search box below.

Product Specific Notices for TIMP-4 Antibody (SB30c) - Azide and BSA Free

This product is for research use only and is not approved for use in humans or in clinical diagnosis. Primary Antibodies are guaranteed for 1 year from date of receipt.

Loading...
Loading...
Loading...
Loading...