Skip to main content

TIM-1/KIM-1/HAVCR Antibody - BSA Free

Novus Biologicals, part of Bio-Techne | Catalog # NBP1-76701

Novus Biologicals, part of Bio-Techne

Key Product Details

Validated by

Knockout/Knockdown, Independent Antibodies, Biological Validation

Species Reactivity

Validated:

Human, Mouse, Rat

Cited:

Human, Mouse, Rat, Porcine

Applications

Validated:

Immunohistochemistry, Immunohistochemistry-Paraffin, Western Blot, ELISA, Immunocytochemistry/ Immunofluorescence, Simple Western, Knockdown Validated

Cited:

Immunohistochemistry, Immunohistochemistry-Paraffin, Immunohistochemistry-Frozen, Western Blot, Immunofluorescence, Immunocytochemistry/ Immunofluorescence, IF/IHC

Label

Unconjugated

Antibody Source

Polyclonal Rabbit IgG

Format

BSA Free

Concentration

1 mg/ml

Product Specifications

Immunogen

Antibody was raised against a peptide corresponding to 16 amino acids near the amino terminus of human TIM-1. The immunogen is located within amino acids 50 - 100 of TIM-1. Amino Acid Squence: TNGTHVTYRKDTRYKL

Reactivity Notes

Mouse reactivity reported in (PMID: 29369823). Rat reactivity reported in (PMID: 30066041).

Specificity

Human TIM-1/KIM-1/HAVCR has 5 isoforms, including isoform a precursor (364aa, 39kD), isoform a (364aa, 39kD), isoform b precursor (401aa, 44kD), isoform b (359aa, 39kD), and isoform c (359aa, 39kD). This antibody detects human isoform b precursor. Mouse TIM-1/KIM-1/HAVCR has 3 isoforms, including isoform a precursor (305aa, 33kD), isoform b precursor (282aa, 31kD) and isoform b (282aa, 31kD). Rat TIM-1/KIM-1/HAVCR has only one isoform identified so far (307aa, 34kD).

Clonality

Polyclonal

Host

Rabbit

Isotype

IgG

Theoretical MW

44 kDa.
Disclaimer note: The observed molecular weight of the protein may vary from the listed predicted molecular weight due to post translational modifications, post translation cleavages, relative charges, and other experimental factors.

Description

Novus Biologicals Rabbit TIM-1/KIM-1/HAVCR Antibody - BSA Free (NBP1-76701) is a polyclonal antibody validated for use in IHC, WB, ELISA, ICC/IF and Simple Western. Anti-TIM-1/KIM-1/HAVCR Antibody: Cited in 35 publications. All Novus Biologicals antibodies are covered by our 100% guarantee.

Scientific Data Images for TIM-1/KIM-1/HAVCR Antibody - BSA Free

Western Blot: TIM-1/KIM-1/HAVCR AntibodyBSA Free [NBP1-76701]

Western Blot: TIM-1/KIM-1/HAVCR AntibodyBSA Free [NBP1-76701]

TIM-1-KIM-1-HAVCR-Antibody-Western-Blot-NBP1-76701-img0016.jpg
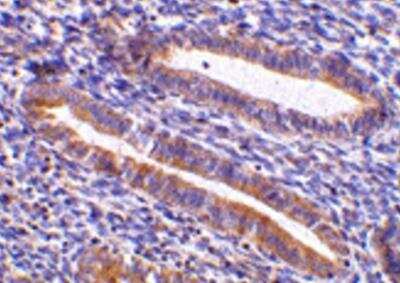
Immunohistochemistry-Paraffin: TIM-1/KIM-1/HAVCR Antibody - BSA Free [NBP1-76701]

Immunohistochemistry-Paraffin: TIM-1/KIM-1/HAVCR Antibody - BSA Free [NBP1-76701]

Immunohistochemistry-Paraffin: TIM-1/KIM-1/HAVCR Antibody - BSA Free [NBP1-76701] - TIM-1/KIM-1/HAVCR Antibody [NBP1-76701] - Analysis of human uterus tissue using anti-TIM-1 antibody (3809) at 10 ug/ml.Tissue was fixed with formaldehyde and blocked with 10% serum for 1 h at RT; antigen retrieval was by heat mediation with a citrate buffer (pH6). Samples were incubated with primary antibody overnight at 4 C. A goat anti-rabbit IgG H&L (HRP)at 1/250 was used as secondary. Counter stained with Hematoxylin.
Western Blot: TIM-1/KIM-1/HAVCR AntibodyBSA Free [NBP1-76701]

Western Blot: TIM-1/KIM-1/HAVCR AntibodyBSA Free [NBP1-76701]

Western Blot: TIM-1/KIM-1/HAVCR Antibody - BSA Free [NBP1-76701] - TIM-1/KIM-1/HAVCR Antibody [NBP1-76701] - Loading: 15 ug of NIH/3T3 cell lysates. Antibodies: TIM-1 3809 (8 ug/mL), overnight incubation at 4 C in 5% NFDM/TBST. Secondary: Goat anti-rabbit IgG HRP conjugate at 1:10000 dilution.

Applications for TIM-1/KIM-1/HAVCR Antibody - BSA Free

Application
Recommended Usage

ELISA

1:100-1:2000

Immunocytochemistry/ Immunofluorescence

20 ug/ml

Immunohistochemistry

10 ug/ml

Immunohistochemistry-Paraffin

10 ug/ml

Simple Western

40 ug/mL

Western Blot

1-8 ug/ml
Application Notes
Use in IF reported in scientific literature (PMID:33644078). ICC/IF reactivity reported in (PMID: 27214555).
See Simple Western Antibody Database for Simple Western validation: Tested in Rat kidney tissue 1 mg/mL, separated by Size, antibody dilution of 40 ug/mL, apparent MW was 50 kDa

Formulation, Preparation, and Storage

Purification

Peptide affinity purified

Formulation

PBS

Format

BSA Free

Preservative

0.02% Sodium Azide

Concentration

1 mg/ml

Shipping

The product is shipped with polar packs. Upon receipt, store it immediately at the temperature recommended below.

Stability & Storage

Store at 4C.

Background: TIM-1/KIM-1/HAVCR

The human form of TIM-1 was initially discovered as a membrane glycoprotein through which the hepatitis A virus can gain entry into a cell. It was also identified as kidney injury molecule 1 (Kim-1), a predicted adhesion molecule that is upregulated on the surfaces of kidney epithelia. It is also expressed on T helper 2 (Th2) cells of the immune system, and following the binding of its natural ligand TIM-4, stimulates T cell expansion and cytokine production in response to viral challenge. It has been suggested that hyperactivation of TIM-1 leads to an increased level of Th2 responsiveness and asthma susceptibility, and antibodies to TIM-1 may therefore be a novel approach to treating asthma.

Long Name

T Cell Immunoglobulin Mucin-1

Alternate Names

CD365, HAVCR1, KIM-1, TIM1

Entrez Gene IDs

26762 (Human)

Gene Symbol

HAVCR1

UniProt

Additional TIM-1/KIM-1/HAVCR Products

Product Documents for TIM-1/KIM-1/HAVCR Antibody - BSA Free

Certificate of Analysis

To download a Certificate of Analysis, please enter a lot number in the search box below.

Product Specific Notices for TIM-1/KIM-1/HAVCR Antibody - BSA Free

This product is for research use only and is not approved for use in humans or in clinical diagnosis. Primary Antibodies are guaranteed for 1 year from date of receipt.

Loading...
Loading...
Loading...
Loading...
Loading...