Skip to main content

Thyroid receptor-interacting protein 12 Antibody - BSA Free

Novus Biologicals, part of Bio-Techne | Catalog # NBP2-94325

Novus Biologicals, part of Bio-Techne
Catalog #
Availability
Size / Price
Qty
Loading...
NBP2-94325-0.1ml
NBP2-94325-0.02ml

Key Product Details

Species Reactivity

Human, Mouse, Rat

Applications

Immunohistochemistry, Immunohistochemistry-Paraffin, Western Blot, ELISA

Label

Unconjugated

Antibody Source

Polyclonal Rabbit IgG

Format

BSA Free

Concentration

Please see the vial label for concentration. If unlisted please contact technical services.

Product Specifications

Immunogen

Recombinant fusion protein containing a sequence corresponding to amino acids 1-240 of human TRIP12 (NP_001271143.1). MSNRPNNNPGGSLRRSQRNTAGAQPQDDSIGGRSHLGQAKHKGYSPPESRKSNSKAPKVQSNTTSELSRGHLSKRSCSSSSAVIVPQPEDPDRANTSERQKTGQVPKKDNSRGVKRSASPDYNRTNSPSSAKKPKALQHTESPSETNKPHSKSKKRHLDQEQQLKSAQSPSTSKAHTRKSGATGGSRSQKRKRTESSCVKSGSGSESTGAEERSAKPTKLASKSATSAKAGCSTITDSSS

Clonality

Polyclonal

Host

Rabbit

Isotype

IgG

Theoretical MW

220 kDa.
Disclaimer note: The observed molecular weight of the protein may vary from the listed predicted molecular weight due to post translational modifications, post translation cleavages, relative charges, and other experimental factors.

Description

Novus Biologicals Rabbit Thyroid receptor-interacting protein 12 Antibody - BSA Free (NBP2-94325) is a polyclonal antibody validated for use in IHC, WB and ELISA. All Novus Biologicals antibodies are covered by our 100% guarantee.

Scientific Data Images for Thyroid receptor-interacting protein 12 Antibody - BSA Free

Western Blot: Thyroid receptor-interacting protein 12 AntibodyBSA Free [NBP2-94325]

Western Blot: Thyroid receptor-interacting protein 12 AntibodyBSA Free [NBP2-94325]

Western Blot: Thyroid receptor-interacting protein 12 Antibody [NBP2-94325] - Analysis of extracts of various cell lines, using Thyroid receptor-interacting protein 12 . Exposure time: 30s.
Immunohistochemistry-Paraffin: Thyroid receptor-interacting protein 12 Antibody - BSA Free [NBP2-94325]

Immunohistochemistry-Paraffin: Thyroid receptor-interacting protein 12 Antibody - BSA Free [NBP2-94325]

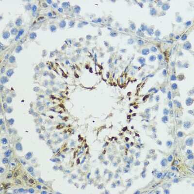
Immunohistochemistry-Paraffin: Thyroid receptor-interacting protein 12 Antibody [NBP2-94325] - Rat testis using TRIP12 antibody at dilution of 1:100 (40x lens).
Immunohistochemistry-Paraffin: Thyroid receptor-interacting protein 12 Antibody - BSA Free [NBP2-94325]

Immunohistochemistry-Paraffin: Thyroid receptor-interacting protein 12 Antibody - BSA Free [NBP2-94325]

Immunohistochemistry-Paraffin: Thyroid receptor-interacting protein 12 Antibody [NBP2-94325] - Human colon using TRIP12 antibody at dilution of 1:100 (40x lens).

Applications for Thyroid receptor-interacting protein 12 Antibody - BSA Free

Application
Recommended Usage

Immunohistochemistry

1:50-1:100

Western Blot

1:500-1:1000

Formulation, Preparation, and Storage

Purification

Affinity purified

Formulation

PBS (pH 7.3), 50% glycerol

Format

BSA Free

Preservative

0.02% Sodium Azide

Concentration

Please see the vial label for concentration. If unlisted please contact technical services.

Shipping

The product is shipped with polar packs. Upon receipt, store it immediately at the temperature recommended below.

Stability & Storage

Store at -20C. Avoid freeze-thaw cycles.

Background: Thyroid receptor-interacting protein 12

TRIP12 (thyroid hormone receptor interactor 12) was originally identified as a factor that interacts with the thyroid hormone receptor. It was later found to also interact with AAP-BP1, a component of the NEDD8

Alternate Names

EC 6.3.2.-, KIAA0045ULF, MGC138849, MGC138850, probable E3 ubiquitin-protein ligase TRIP12, thyroid hormone receptor interactor 12, thyroid receptor interacting protein 12, Thyroid receptor-interacting protein 12, TR-interacting protein 12, TRIP-12

Gene Symbol

TRIP12

Additional Thyroid receptor-interacting protein 12 Products

Product Documents for Thyroid receptor-interacting protein 12 Antibody - BSA Free

Certificate of Analysis

To download a Certificate of Analysis, please enter a lot number in the search box below.

Product Specific Notices for Thyroid receptor-interacting protein 12 Antibody - BSA Free

This product is for research use only and is not approved for use in humans or in clinical diagnosis. Primary Antibodies are guaranteed for 1 year from date of receipt.

Loading...
Loading...
Loading...
Loading...