Skip to main content

Thymidylate Synthase Antibody - BSA Free

Novus Biologicals, part of Bio-Techne | Catalog # NBP3-29829

Novus Biologicals, part of Bio-Techne
Catalog #
Availability
Size / Price
Qty
Loading...
NBP3-29829

Key Product Details

Species Reactivity

Human, Mouse

Applications

Immunohistochemistry, Western Blot, Immunoprecipitation

Label

Unconjugated

Antibody Source

Polyclonal Rabbit IgG

Format

BSA Free

Concentration

Please see the vial label for concentration. If unlisted please contact technical services.

Product Specifications

Immunogen

Between 263 and 313

Clonality

Polyclonal

Host

Rabbit

Isotype

IgG

Description

Novus Biologicals Rabbit Thymidylate Synthase Antibody - BSA Free (NBP3-29829) is a polyclonal antibody validated for use in IHC, WB and IP. All Novus Biologicals antibodies are covered by our 100% guarantee.

Scientific Data Images for Thymidylate Synthase Antibody - BSA Free

Thymidylate Synthase Antibody

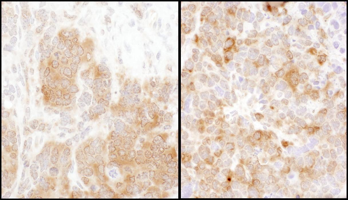
Immunohistochemistry;Thymidylate Synthase Antibody[NBP3-29829]

Immunohistochemistry;Thymidylate Synthase Antibody[NBP3-29829]Detection of human TS by immunohistochemistry. Samples: FFPE sections of human ovarian carcinoma and lung cancer . Antibody: Affinity purified rabbit anti-TS used at a dilution of 1:1,000 . Detection: DAB
Thymidylate Synthase Antibody

Immunohistochemistry;Thymidylate Synthase Antibody[NBP3-29828]

Immunohistochemistry;Thymidylate Synthase Antibody[NBP3-29828]Detection of mouse TS by immunohistochemistry. Samples: FFPE sections of mouse teratoma and plasmacytoma . Antibody: Affinity purified rabbit anti-TS used at a dilution of 1:1,000 . Detection: DAB
Thymidylate Synthase Antibody

Immunoprecipitation:Thymidylate Synthase AntibodyNBP3-29829] -

Immunoprecipitation:Thymidylate Synthase AntibodyNBP3-29829] -Detection of human TS by western blot of immunoprecipitates. Samples: Whole cell lysate (1 mg for IP; 20% of IP loaded) from Jurkat cells. Antibodies: Affinity purified rabbit anti-TS antibody NBP3-29829 (lot NBP3-29829-1) used for IP at 6 µg/mg lysate. TS was also immunoprecipitated by rabbit anti-TS antibody for blotting immunoprecipitated TS, NBP3-29829 was used at 1 µg/ml. Detection: Chemiluminescence with an exposure time of 10 seconds.

Applications for Thymidylate Synthase Antibody - BSA Free

Application
Recommended Usage

Immunohistochemistry

Optimal dilutions of this antibody should be experimentally determined.

Immunoprecipitation

Optimal dilutions of this antibody should be experimentally determined.

Western Blot

Optimal dilutions of this antibody should be experimentally determined.

Formulation, Preparation, and Storage

Purification

Affinity purified

Formulation

Tris-citrate/phosphate buffer, pH 7 to 8

Format

BSA Free

Preservative

0.09% Sodium Azide

Concentration

Please see the vial label for concentration. If unlisted please contact technical services.

Shipping

The product is shipped with polar packs. Upon receipt, store it immediately at the temperature recommended below.

Stability & Storage

Store at 4C. Do not freeze.

Background: Thymidylate Synthase

Thymidylate synthase (TS) is an intracellular enzyme critical for de novo synthesis of DNA. In cancer, expression of TS is often elevated and becomes further elevated as a result of treatment with the most commonly used chemotherapeutic, 5-fluorouracil (5-FU). Resistance or lack of response to 5-FU is attributed to the elevation of TS activity. Overexpression of TS has been demonstrated in many types of tumors including breast, colon, gastric and melanoma and is usually predictive of shortened survival time.

Long Name

Thymidylate synthase

Alternate Names

EC 2.1.1.45, OK/SW-cl.29, TS, TSase, TYMS

Gene Symbol

TYMS

Additional Thymidylate Synthase Products

Product Documents for Thymidylate Synthase Antibody - BSA Free

Certificate of Analysis

To download a Certificate of Analysis, please enter a lot number in the search box below.

Product Specific Notices for Thymidylate Synthase Antibody - BSA Free

This product is for research use only and is not approved for use in humans or in clinical diagnosis. Primary Antibodies are guaranteed for 1 year from date of receipt.

Loading...
Loading...
Loading...
Loading...