Skip to main content

Thrombomodulin/BDCA-3 Antibody (THBD/8188R) - Azide and BSA Free

Novus Biologicals, part of Bio-Techne | Catalog # NBP3-21031

Recombinant Monoclonal Antibody
Novus Biologicals, part of Bio-Techne

Key Product Details

Species Reactivity

Human

Applications

Immunohistochemistry-Paraffin

Label

Unconjugated

Antibody Source

Recombinant Monoclonal Rabbit IgG Kappa Clone # THBD/8188R

Format

Azide and BSA Free

Concentration

1 mg/ml

Product Specifications

Immunogen

Recombinant full-length human Thrombomodulin/BDCA-3 protein

Localization

Cell Surface. Cytoplasm.

Clonality

Monoclonal

Host

Rabbit

Isotype

IgG Kappa

Description

Positive Controls: Placenta, Angiosarcoma, Bladder or Cervical Carcinoma.

Antibody with azide - store at 2 to 8C. Antibody without azide - store at -20 to -80C. Non-hazardous. No MSDS required.

Scientific Data Images for Thrombomodulin/BDCA-3 Antibody (THBD/8188R) - Azide and BSA Free

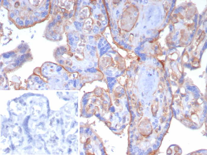
Thrombomodulin/BDCA-3 Antibody (THBD/8188R) - Azide and BSA Free

Thrombomodulin/BDCA-3 Antibody (THBD/8188R)

Formalin-fixed, paraffin-embedded human placenta stained with Thrombomodulin/BDCA-3 antibody (THBD/8188R). Inset: PBS instead of primary antibody; secondary only negative control.

Applications for Thrombomodulin/BDCA-3 Antibody (THBD/8188R) - Azide and BSA Free

Application
Recommended Usage

Immunohistochemistry-Paraffin

1-2 ug/ml
Application Notes
Immunohistochemistry (Formalin-fixed): 1-2ug/ml for 30 minutes. at RT. Staining of formalin-fixed tissues requires heating tissue sections in 10mM Tris with 1mM EDTA, pH 9.0, for 45 min at 95C followed by cooling at RT for 20 minutes.

Optimal dilution for a specific application should be determined.

Formulation, Preparation, and Storage

Purification

Protein A or G purified

Formulation

10mM PBS

Format

Azide and BSA Free

Preservative

No Preservative

Concentration

1 mg/ml

Shipping

The product is shipped with polar packs. Upon receipt, store it immediately at the temperature recommended below.

Stability & Storage

Store at -20 to -70C. Avoid freeze-thaw cycles.

Background: Thrombomodulin/BDCA-3

CD141/Thrombomodulin is an exclusively endothelial cell surface glycoprotein that forms a 1:1 complex with thrombin. Binding of thrombin to this high affinity receptor alters its specificity toward several substrates. The complex activates protein C approximately 1000 times faster than thrombin alone. Activated protein C degrades clotting factors V and VIII; thus, thrombomodulin converts thrombin into a physiologic anticoagulant. Thrombomodulin is also found in the circulatory and urinary systems, the physiologic significance of this is obscure.

Alternate Names

BDCA-3, BDCA3, CD141, Fetomodulin, THBD, THRM

Gene Symbol

THBD

Additional Thrombomodulin/BDCA-3 Products

Product Documents for Thrombomodulin/BDCA-3 Antibody (THBD/8188R) - Azide and BSA Free

Certificate of Analysis

To download a Certificate of Analysis, please enter a lot number in the search box below.

Product Specific Notices for Thrombomodulin/BDCA-3 Antibody (THBD/8188R) - Azide and BSA Free

This product is for research use only and is not approved for use in humans or in clinical diagnosis. Primary Antibodies are guaranteed for 1 year from date of receipt.

Loading...
Loading...
Loading...
Loading...