Skip to main content

TDO2 Antibody (OTI2A4) - Azide and BSA Free

Novus Biologicals, part of Bio-Techne | Catalog # NBP2-74486

Novus Biologicals, part of Bio-Techne

Key Product Details

Species Reactivity

Human, Mouse, Rat

Applications

Immunohistochemistry, Immunohistochemistry-Paraffin, Western Blot

Label

Unconjugated

Antibody Source

Monoclonal Mouse IgG1 Clone # OTI2A4

Format

Azide and BSA Free

Concentration

LYOPH mg/ml

Product Specifications

Immunogen

Full length human recombinant protein of human TDO2(NP_005642) produced in HEK293T cell.

Reactivity Notes

Please note that this antibody is reactive to Mouse and derived from the same host, Mouse. Mouse-On-Mouse blocking reagent may be needed for IHC and ICC experiments to reduce high background signal. You can find these reagents under catalog numbers PK-2200-NB and MP-2400-NB. Please contact Technical Support if you have any questions.

Clonality

Monoclonal

Host

Mouse

Isotype

IgG1

Theoretical MW

47.7 kDa.
Disclaimer note: The observed molecular weight of the protein may vary from the listed predicted molecular weight due to post translational modifications, post translation cleavages, relative charges, and other experimental factors.

Description

Novus Biologicals Mouse TDO2 Antibody (OTI2A4) - Azide and BSA Free (NBP2-45995) is a monoclonal antibody validated for use in IHC and WB. All Novus Biologicals antibodies are covered by our 100% guarantee.

Scientific Data Images for TDO2 Antibody (OTI2A4) - Azide and BSA Free

Western Blot: TDO2 Antibody (OTI2A4)Azide and BSA Free [NBP2-74486]

Western Blot: TDO2 Antibody (OTI2A4)Azide and BSA Free [NBP2-74486]

Western Blot: TDO2 Antibody (OTI2A4) - Azide and BSA Free [NBP2-74486] - Analysis of HEK293T cells were transfected with the pCMV6-ENTRY control (Left lane) or pCMV6-ENTRY TDO2.
Immunohistochemistry: TDO2 Antibody (OTI2A4) - Azide and BSA Free [NBP2-74486]

Immunohistochemistry: TDO2 Antibody (OTI2A4) - Azide and BSA Free [NBP2-74486]

Immunohistochemistry: TDO2 Antibody (OTI2A4) - Azide and BSA Free [NBP2-74486] - Staining of paraffin-embedded Human liver tissue within the normal limits using anti-TDO2 mouse monoclonal antibody. (Heat-induced epitope retrieval by 10mM citric buffer, pH6.0, 100C for 10min.
Immunohistochemistry: TDO2 Antibody (OTI2A4) - Azide and BSA Free [NBP2-74486]

Immunohistochemistry: TDO2 Antibody (OTI2A4) - Azide and BSA Free [NBP2-74486]

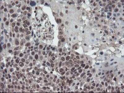
Immunohistochemistry: TDO2 Antibody (OTI2A4) - Azide and BSA Free [NBP2-74486] - Staining of paraffin-embedded Adenocarcinoma of Human endometrium tissue using anti-TDO2 mouse monoclonal antibody. (Heat-induced epitope retrieval by 10mM citric buffer, pH6.0, 100C for 10min.

Applications for TDO2 Antibody (OTI2A4) - Azide and BSA Free

Application
Recommended Usage

Immunohistochemistry

1:150

Western Blot

1:2000

Formulation, Preparation, and Storage

Purification

Immunogen affinity purified

Reconstitution

we recommend adding 100uL distilled water to a final antibody concentration of about 1 mg/mL. To use this carrier-free antibody for conjugation experiment, we strongly recommend performing another round of desalting process.

Formulation

Lyophilized from PBS (pH 7.3) with 8% Trehalose

Format

Azide and BSA Free

Preservative

No Preservative

Concentration

LYOPH mg/ml

Shipping

The product is shipped with polar packs. Upon receipt, store it immediately at the temperature recommended below.

Stability & Storage

Store at -20C. Avoid freeze-thaw cycles.

Background: TDO2

Tryptophan 2,3-dioxygenase (EC 1.13.11.11) plays a role in catalyzing the first and rat-limiting step in the kynurenine pathway, the major pathway of tryptophan metabolism.[supplied by OMIM]

Long Name

Tryptophan 2,3-dioxygenase

Alternate Names

chky, TDO, TO, TRPO, Tryptophan Oxygenase, Tryptophan Pyrrolase, Tryptophanase

Gene Symbol

TDO2

Additional TDO2 Products

Product Documents for TDO2 Antibody (OTI2A4) - Azide and BSA Free

Certificate of Analysis

To download a Certificate of Analysis, please enter a lot number in the search box below.

Product Specific Notices for TDO2 Antibody (OTI2A4) - Azide and BSA Free

This product is for research use only and is not approved for use in humans or in clinical diagnosis. Primary Antibodies are guaranteed for 1 year from date of receipt.

Loading...
Loading...
Loading...
Loading...
Loading...