Skip to main content

Tau [p Thr181] Antibody (HL2498) - Azide and BSA Free

Novus Biologicals, part of Bio-Techne | Catalog # NBP3-45158

Recombinant Monoclonal Antibody
Novus Biologicals, part of Bio-Techne
Catalog #
Availability
Size / Price
Qty
Loading...
NBP3-45158

Key Product Details

Validated by

Knockout/Knockdown, Biological Validation

Species Reactivity

Human, Mouse

Applications

Immunohistochemistry, Immunohistochemistry-Paraffin, Western Blot, ELISA

Label

Unconjugated

Antibody Source

Recombinant Monoclonal Rabbit IgG Clone # HL2498

Format

Azide and BSA Free

Concentration

Concentrations vary lot to lot. See vial label for concentration. If unlisted please contact technical services.

Product Specifications

Immunogen

Carrier-protein conjugated synthetic peptide surrounding phospho Thr181 of human Tau. The exact sequence is proprietary.

Modification

p Thr181

Clonality

Monoclonal

Host

Rabbit

Isotype

IgG

Description

Novus Biologicals Rabbit Tau [p Thr181] Antibody (HL2498) - Azide and BSA Free (NBP3-45158) is a recombinant monoclonal antibody validated for use in IHC, WB and ELISA. All Novus Biologicals antibodies are covered by our 100% guarantee.

Scientific Data Images for Tau [p Thr181] Antibody (HL2498) - Azide and BSA Free

Tau [p Thr181] Antibody (HL2498) - Azide and BSA Free

Western Blot: Rabbit Tau [p Thr181] mAb (HL2498) [NBP3-45158] -

Western Blot: Rabbit Tau [p Thr181] mAb (HL2498) [NBP3-45158] - Untreated (–) and treated (+) SK-N-SH whole cell extracts (30 ug) were separated by 7.5% SDS-PAGE, and the membrane was blotted with Tau (p Thr181) antibody [HL2498] diluted at 1:1000. The HRP-conjugated anti-rabbit IgG antibody was used to detect the primary antibody.
Tau [p Thr181] Antibody (HL2498) - Azide and BSA Free

Western Blot: Rabbit Tau [p Thr181] mAb (HL2498) [NBP3-45158] -

Western Blot: Rabbit Tau [p Thr181] mAb (HL2498) [NBP3-45158] - Untreated (–) and treated (+) Mouse tissue extract (50 ug) were separated by 7.5% SDS-PAGE, and the membrane was blotted with Tau (p Thr181) antibody [HL2498] diluted at 1:1000. The HRP-conjugated anti-rabbit IgG antibody was used to detect the primary antibody.
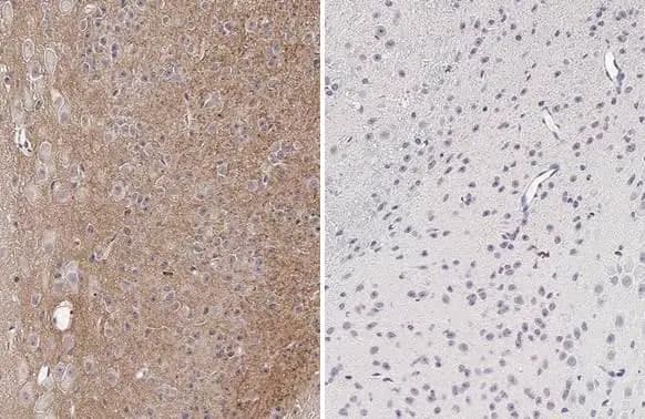
Tau [p Thr181] Antibody (HL2498) - Azide and BSA Free

Immunohistochemistry: Rabbit Tau [p Thr181] mAb (HL2498) [NBP3-45158] -

Immunohistochemistry: Rabbit Tau [p Thr181] mAb (HL2498) [NBP3-45158] - Tau (p Thr181) antibody [HL2498] detects Tau (phospho Thr181) protein in the cytoplasm by immunohistochemical analysis in the presence of non phospho control peptide (left) but not in the presence of the antigenic phospho peptide (right).
Sample: Paraffin-embedded mouse brain.
Tau (p Thr181) stained by Tau (p Thr181) antibody [HL2498] diluted at 1:100.

Applications for Tau [p Thr181] Antibody (HL2498) - Azide and BSA Free

Application
Recommended Usage

ELISA

Optimal dilutions of this antibody should be experimentally determined.

Immunohistochemistry

Optimal dilutions of this antibody should be experimentally determined.

Immunohistochemistry-Paraffin

Optimal dilutions of this antibody should be experimentally determined.

Western Blot

Optimal dilutions of this antibody should be experimentally determined.

Formulation, Preparation, and Storage

Purification

Protein A purified

Formulation

PBS

Format

Azide and BSA Free

Preservative

No Preservative

Concentration

Concentrations vary lot to lot. See vial label for concentration. If unlisted please contact technical services.

Shipping

The product is shipped with polar packs. Upon receipt, store it immediately at the temperature recommended below.

Stability & Storage

Store at 4C short term. Aliquot and store at -20C long term. Avoid freeze-thaw cycles.

Background: Tau

Tau is a microtubule binding protein that promotes microtubule assembly and stability. Tau is found to be the major component of the paired helical filaments (PHFs) found in the brains of patients with Alzheimer disease (AD) (1,2). Tau is hyperphosphorylated in PHFs, and specific phosphorylation sites have been implicated in the loss of Tau's association with the membrane cortex during AD disease state, including Ser 199/202, Thr 231, and Ser 393/404 (3). Glycogen synthase kinase-3, or GSK-3, phosphorylates Tau on Ser 396 (4).

Long Name

Microtubule-Associated Protein Tau

Alternate Names

MAPT, MSTD, MTBT1, Neurofibrillary tangle protein, PPND

Gene Symbol

MAPT

Additional Tau Products

Product Documents for Tau [p Thr181] Antibody (HL2498) - Azide and BSA Free

Certificate of Analysis

To download a Certificate of Analysis, please enter a lot number in the search box below.

Product Specific Notices for Tau [p Thr181] Antibody (HL2498) - Azide and BSA Free

This product is for research use only and is not approved for use in humans or in clinical diagnosis. Primary Antibodies are guaranteed for 1 year from date of receipt.

Loading...
Loading...
Loading...
Loading...