Skip to main content

Survivin Antibody - BSA Free

Novus Biologicals, part of Bio-Techne | Catalog # NB100-56167

Novus Biologicals, part of Bio-Techne
Catalog #
Availability
Size / Price
Qty
Loading...
NB100-56167
NB100-56167SS

Key Product Details

Species Reactivity

Validated:

Human, Mouse, Rat, Gerbil

Cited:

Human, Mouse, Rat

Predicted:

Bovine (91%), Canine (92%), Feline (92%), Orangutan (100%), Porcine (92%). Backed by our 100% Guarantee.

Applications

Validated:

Immunohistochemistry, Immunohistochemistry-Paraffin, Immunohistochemistry-Frozen, Western Blot, Immunocytochemistry/ Immunofluorescence, Immunoprecipitation

Cited:

Immunohistochemistry, IF/IHC

Label

Unconjugated

Antibody Source

Polyclonal Rabbit IgG

Format

BSA Free

Concentration

This product is unpurified. The exact concentration of antibody is not quantifiable.

Product Specifications

Immunogen

This Survivin Antibody was developed against full-length recombinant human survivin protein.

Reactivity Notes

Immunogen displays the following percentage of sequence identity for non-tested species: guinea pig (87%). Rat reactivity reported in scientific literature (PMID: 18358624). Mouse reactivity reported in scientific literature (PMID: 28011476). Human reactivity reported in scientific literature (PMID: 24916171).

Clonality

Polyclonal

Host

Rabbit

Isotype

IgG

Theoretical MW

16 kDa.
Disclaimer note: The observed molecular weight of the protein may vary from the listed predicted molecular weight due to post translational modifications, post translation cleavages, relative charges, and other experimental factors.

Description

Novus Biologicals Rabbit Survivin Antibody - BSA Free (NB100-56167) is a polyclonal antibody validated for use in IHC, WB, ICC/IF and IP. Anti-Survivin Antibody: Cited in 6 publications. All Novus Biologicals antibodies are covered by our 100% guarantee.

Scientific Data Images for Survivin Antibody - BSA Free

Western Blot: Survivin Antibody [NB100-56167]

Western Blot: Survivin Antibody [NB100-56167]

Western Blot: Survivin Antibody [NB100-56167] - Analysis of Survivin using [NB100-56167]. Survivin was detected in the two tumor cell lines, Jurkat (T cell lymphoma) and RS11846 (non-Hodgkin's lymphoma), but not in lysates from normal tissues. Survivin RP, full-length recombinant human survivin protein was used as a positive control. Bands observed slightly lower than the theoretical molecular weight, 16 kDa.
Western Blot: Survivin Antibody [NB100-56167]

Western Blot: Survivin Antibody [NB100-56167]

Survivin-Antibody-Western-Blot-NB100-56167-img0006.jpg
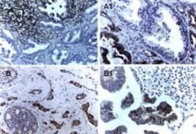
Immunohistochemistry: Survivin Antibody [NB100-56167]

Immunohistochemistry: Survivin Antibody [NB100-56167]

Immunohistochemistry: Survivin Antibody [NB100-56167] - Immunohistochemical analysis of Survivin in formalin-fixed paraffin-embedded human prostate and breast cancer using Survivin Antibody [NB100-56167]. A and A1, prostate cancer at low and high magnification, respectively. B and B1, breast cancer. B1 is a high magnification of an area of metastasis. Hematoxylin-eosin counterstain.

Applications for Survivin Antibody - BSA Free

Application
Recommended Usage

Immunocytochemistry/ Immunofluorescence

1:500

Immunohistochemistry

1:10-1:500. Use reported in scientific literature (PMID 24916171)

Immunohistochemistry-Frozen

1:10-1:500

Immunohistochemistry-Paraffin

1:1000-1:5000

Immunoprecipitation

1:50-1:200

Western Blot

1:1000-1:2000
Application Notes
The observed molecular weight of the protein may vary from the listed predicted molecular weight due to post translational modifications, post translation cleavages, relative charges, and other experimental factors.

Formulation, Preparation, and Storage

Purification

Unpurified

Formulation

Whole antisera

Format

BSA Free

Preservative

0.05% Sodium Azide

Concentration

This product is unpurified. The exact concentration of antibody is not quantifiable.

Shipping

The product is shipped with polar packs. Upon receipt, store it immediately at the temperature recommended below.

Stability & Storage

Store at -20C. Avoid freeze-thaw cycles.

Background: Survivin

Survivin (BIRC5 or IAP4) is the smallest member of the inhibitor of apoptosis (IAP) proteins, containing only a single baculovirus IAP repeat (BIR) domain and lacking the C-terminal RING domain. Survivin has a theoretical molecular weight of 16.5 kDa (wild-type protein) and exists as ten splice variant forms including the most predominant isoforms, survivin-2B and surviving-DeltaEx3 (1). It also undergoes phosphorylation by PKA, Plk1, Cdk1, CKII and Aurora B at multiple sites (e.g. Serine 20 and Threonine 34, 53 and 117).

Besides being highly abundant in fetal development and expressed in proliferating adult cells such as activated T lymphocytes, erythroblasts, and self-renewing stem cells, survivin is generally absent in adult tissues. However, it is elevated in common cancers such as lung, colon, pancreas, breast and prostate where it drives proliferation, metastasis, poor prognosis, and decreased patient survival (2).

Survivin has been shown to be involved in multiple cellular processes including cell cycle progression, mitotic spindle assembly, kinetochore attachment, angiogenesis, migration, and its anti-apoptotic activity has been linked to both its monomeric and homodimeric forms. Survivin impacts the function of other IAP members, c-IAP1 and c-IAP-2, or modulates the inhibitory activity of XIAP against caspases by forming a stable complex with XIAP and HBXIP. During the intrinsic apoptotic pathway, survivin may prevent the release of mitochondrial APAF1 into the cytoplasm or hinder the association of SMAC with other IAPS, which results in prolonged cell survival (3).

References

1. Sah NK, Seniya C. (2015) Survivin splice variants and their diagnostic significance. Tumour Biol. 36(9):6623-31. PMID: 26245993

2. Lladser A, Sanhueza C, Kiessling R, Quest AF. (2011) Is survivin the potential Achilles' heel of cancer? Adv Cancer Res. 111:1-37. PMID: 21704829

3. Wheatley SP, Altieri DC. (2019) Survivin at a glance. J Cell Sci. 132(7). PMID: 30948431

Alternate Names

API4, BIRC5

Entrez Gene IDs

332 (Human); 11799 (Mouse); 64041 (Rat)

Gene Symbol

BIRC5

UniProt

Additional Survivin Products

Product Documents for Survivin Antibody - BSA Free

Certificate of Analysis

To download a Certificate of Analysis, please enter a lot number in the search box below.

Product Specific Notices for Survivin Antibody - BSA Free

This product is for research use only and is not approved for use in humans or in clinical diagnosis. Primary Antibodies are guaranteed for 1 year from date of receipt.

Loading...
Loading...
Loading...
Loading...
Loading...