Skip to main content

STEAP2 Antibody - BSA Free

Novus Biologicals, part of Bio-Techne | Catalog # NBP1-76823

Novus Biologicals, part of Bio-Techne

Key Product Details

Species Reactivity

Human, Mouse

Applications

Immunohistochemistry, Immunohistochemistry-Paraffin, Western Blot, ELISA, Immunocytochemistry/ Immunofluorescence

Label

Unconjugated

Antibody Source

Polyclonal Rabbit IgG

Format

BSA Free

Concentration

1 mg/ml

Product Specifications

Immunogen

Antibody was raised against a 16 amino acid synthetic peptide from near the carboxy terminus of human STEAP2. The immunogen is located within the last 50 amino acids of STEAP2. Amino Acid Squence: KLKRIKKGWEKSQFLE

Specificity

This STEAP2 antibody does not cross-react with other STEAP proteins.

Clonality

Polyclonal

Host

Rabbit

Isotype

IgG

Theoretical MW

55 kDa.
Disclaimer note: The observed molecular weight of the protein may vary from the listed predicted molecular weight due to post translational modifications, post translation cleavages, relative charges, and other experimental factors.

Description

Novus Biologicals Rabbit STEAP2 Antibody - BSA Free (NBP1-76823) is a polyclonal antibody validated for use in IHC, WB, ELISA and ICC/IF. All Novus Biologicals antibodies are covered by our 100% guarantee.

Scientific Data Images for STEAP2 Antibody - BSA Free

Western Blot: STEAP2 AntibodyBSA Free [NBP1-76823]

Western Blot: STEAP2 AntibodyBSA Free [NBP1-76823]

Western Blot: STEAP2 Antibody [NBP1-76823] - Analysis in human prostate tissue lysate with antibody at 1 ug/mL.
STEAP2 Antibody - BSA Free

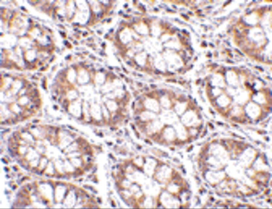
Immunohistochemistry: STEAP2 Antibody - BSA Free [NBP1-76823] -

Immunohistochemistry: STEAP2 Antibody - BSA Free [NBP1-76823] - Immunohistochemistry of STEAP2 in human colon tissue with STEAP2 antibody at 2.5 ug/mL.
STEAP2 Antibody - BSA Free

Immunocytochemistry/ Immunofluorescence: STEAP2 Antibody - BSA Free [NBP1-76823] -

Immunocytochemistry/ Immunofluorescence: STEAP2 Antibody - BSA Free [NBP1-76823] - Immunofluorescence of STEAP2 in Human Colon cells with STEAP2 antibody at 20 ug/mL.

Applications for STEAP2 Antibody - BSA Free

Application
Recommended Usage

ELISA

1:100-1:2000

Immunocytochemistry/ Immunofluorescence

20 ug/mL

Immunohistochemistry

2.5 ug/ml

Immunohistochemistry-Paraffin

2.5 ug/ml

Western Blot

1-2 ug/ml

Formulation, Preparation, and Storage

Purification

Peptide affinity purified

Formulation

PBS

Format

BSA Free

Preservative

0.02% Sodium Azide

Concentration

1 mg/ml

Shipping

The product is shipped with polar packs. Upon receipt, store it immediately at the temperature recommended below.

Stability & Storage

Store at 4C short term. Aliquot and store at -20C long term. Avoid freeze-thaw cycles.

Background: STEAP2

The six-transmembrane epithelial antigen of prostate 2 (STEAP2) is a member of a family of metalloreductases identified as cell-surface antigens in prostate tissue. Similar to two other members of the STEAP family (STEAP 3 and STEAP4), STEAP2 promotes both iron and copper reduction. STEAP2 expression in transfected cells also correlated with iron or copper uptake, suggesting that the STEAP family of proteins may function to stimulate iron and copper uptake. STEAP2 is widely expressed in many tissues in the plasma membrane, but is most highly expressed in prostate. At least three isoforms of STEAP2 are known to exist. This STEAP2 antibody does not cross-react with other STEAP proteins.

Long Name

Six Transmembrane Epithelial Antigen of the Prostate 2

Alternate Names

IPCA1, PCANAP1, PUMPCn, STAMP1, STMP

Gene Symbol

STEAP2

UniProt

Additional STEAP2 Products

Product Documents for STEAP2 Antibody - BSA Free

Certificate of Analysis

To download a Certificate of Analysis, please enter a lot number in the search box below.

Product Specific Notices for STEAP2 Antibody - BSA Free

This product is for research use only and is not approved for use in humans or in clinical diagnosis. Primary Antibodies are guaranteed for 1 year from date of receipt.

Loading...
Loading...
Loading...
Loading...
Loading...