Skip to main content

SP1 Antibody - BSA Free

Novus Biologicals, part of Bio-Techne | Catalog # NBP2-20460

Novus Biologicals, part of Bio-Techne
Catalog #
Availability
Size / Price
Qty
Loading...
NBP2-20460

Key Product Details

Validated by

Knockout/Knockdown

Species Reactivity

Validated:

Human, Mouse, Rat

Cited:

Rat

Predicted:

Bovine (98%), Rhesus Macaque (99%). Backed by our 100% Guarantee.

Applications

Validated:

Immunohistochemistry, Immunohistochemistry-Paraffin, Western Blot, Immunocytochemistry/ Immunofluorescence, Immunoprecipitation, Chromatin Immunoprecipitation (ChIP)

Cited:

Western Blot, Immunoprecipitation, Chemotaxis

Label

Unconjugated

Antibody Source

Polyclonal Rabbit IgG

Format

BSA Free

Concentration

Concentrations vary lot to lot. See vial label for concentration. If unlisted please contact technical services.

Product Specifications

Immunogen

Recombinant protein encompassing a sequence within the center region of human SP1. The exact sequence is proprietary.

Localization

Nucleus

Clonality

Polyclonal

Host

Rabbit

Isotype

IgG

Theoretical MW

81 kDa.
Disclaimer note: The observed molecular weight of the protein may vary from the listed predicted molecular weight due to post translational modifications, post translation cleavages, relative charges, and other experimental factors.

Scientific Data Images for SP1 Antibody - BSA Free

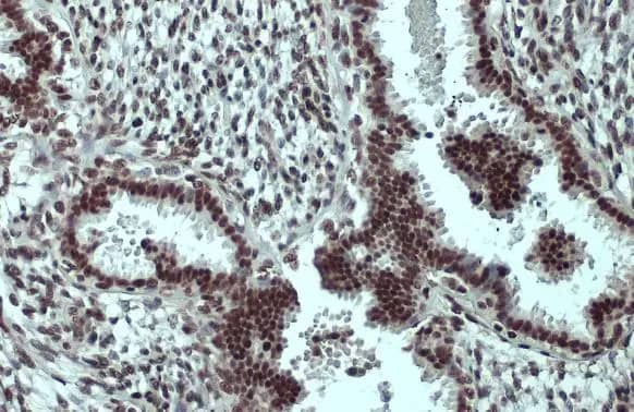
Immunohistochemistry-Paraffin: SP1 Antibody [NBP2-20460]

Immunohistochemistry-Paraffin: SP1 Antibody [NBP2-20460]

Immunohistochemistry-Paraffin: SP1 Antibody [NBP2-20460] - SP1 antibody detects SP1 protein at cytoplasm and nucleus by immunohistochemical analysis. Sample: Paraffin-embedded human lung cancer. SP1 stained by SP1 antibody diluted at 1:2000. Antigen Retrieval: Citrate buffer, pH 6.0, 15 min.
Western Blot: SP1 Antibody [NBP2-20460]

Western Blot: SP1 Antibody [NBP2-20460]

Western Blot: SP1 Antibody [NBP2-20460] - Non-transfected (-) and transfected (+) 293T whole cell extracts (50 ug) were separated by 7.5% SDS-PAGE, and the membrane was blotted with SP1 antibody. HRP-conjugated anti-rabbit IgG antibody was used to detect the primary antibody, and the signal was developed with Trident ECL plus-Enhanced.
Immunoprecipitation: SP1 Antibody [NBP2-20460]

Immunoprecipitation: SP1 Antibody [NBP2-20460]

Immunoprecipitation: SP1 Antibody [NBP2-20460] - Immunoprecipitation of SP1 protein from THP-1 whole cell extracts using 5 ug of OCT1 antibody (NBP2-20460). Western blot analysis was performed using OCT1 antibody (NBP2-20460). EasyBlot anti-Rabbit IgG was used as a secondary reagent.

Applications for SP1 Antibody - BSA Free

Application
Recommended Usage

Immunocytochemistry/ Immunofluorescence

1:100-1:1000

Immunohistochemistry

1:100-1:1000

Immunohistochemistry-Paraffin

1:100-1:1000

Immunoprecipitation

1:100-1:500

Western Blot

1:500-1:3000
Application Notes
Chip-Assay dependent

Formulation, Preparation, and Storage

Purification

Antigen Affinity-purified

Formulation

PBS, 20% Glycerol

Format

BSA Free

Preservative

0.025% Proclin 300

Concentration

Concentrations vary lot to lot. See vial label for concentration. If unlisted please contact technical services.

Shipping

The product is shipped with polar packs. Upon receipt, store it immediately at the temperature recommended below.

Stability & Storage

Aliquot and store at -20C or -80C. Avoid freeze-thaw cycles.

Background: SP1

Transcription factor that can activate or repress transcription in response to physiological and pathological stimuli. Binds with high affinity to GC-rich motifs and regulates the expression of a large number of genes involved in a variety of processes such as cell growth, apoptosis, differentiation and immune responses. Highly regulated by post-translational modifications (phosphorylations, sumoylation, proteolytic cleavage, glycosylation and acetylation). Binds also the PDGFR-alpha G-box promoter. May have a role in modulating the cellular response to DNA damage. Implicated in chromatin remodeling. Plays a role in the recruitment of SMARCA4/BRG1 on the c-FOS promoter. Plays an essential role in the regulation of FE65 gene expression.

Alternate Names

Sp1 transcription factor, specificity protein 1, transcription factor Sp1, TSFP1

Gene Symbol

SP1

UniProt

Additional SP1 Products

Product Documents for SP1 Antibody - BSA Free

Certificate of Analysis

To download a Certificate of Analysis, please enter a lot number in the search box below.

Product Specific Notices for SP1 Antibody - BSA Free

This product is for research use only and is not approved for use in humans or in clinical diagnosis. Primary Antibodies are guaranteed for 1 year from date of receipt.

Loading...
Loading...
Loading...
Loading...