Skip to main content

SP1 Antibody (S01-9G6)

Novus Biologicals, part of Bio-Techne | Catalog # NBP3-14976

Recombinant Monoclonal Antibody
Novus Biologicals, part of Bio-Techne
Catalog #
Availability
Size / Price
Qty
Loading...
NBP3-14976-100ul
NBP3-14976-25ul

Key Product Details

Species Reactivity

Human

Applications

Immunohistochemistry, Immunohistochemistry-Paraffin, Western Blot

Label

Unconjugated

Antibody Source

Recombinant Monoclonal Rabbit IgG Clone # S01-9G6 expressed in HEK293

Concentration

Please see the vial label for concentration. If unlisted please contact technical services.

Product Specifications

Immunogen

A synthetic peptide of human SP1 (Uniprot#: P08047)

Clonality

Monoclonal

Host

Rabbit

Isotype

IgG

Theoretical MW

90 kDa.
Disclaimer note: The observed molecular weight of the protein may vary from the listed predicted molecular weight due to post translational modifications, post translation cleavages, relative charges, and other experimental factors.

Description

Novus Biologicals Rabbit SP1 Antibody (S01-9G6) (NBP3-14976) is a recombinant monoclonal antibody validated for use in IHC and WB. All Novus Biologicals antibodies are covered by our 100% guarantee.

Scientific Data Images for SP1 Antibody (S01-9G6)

Western Blot: SP1 Antibody (S01-9G6) [NBP3-14976]

Western Blot: SP1 Antibody (S01-9G6) [NBP3-14976]

Western Blot: SP1 Antibody (S01-9G6) [NBP3-14976] - Western blot detection of SP1 in K562, 3T3, Hela cell lysates using SP1 Rabbit mAb (1:1000 diluted). Predicted band size: 81kDa. Observed band size: 90kDa.
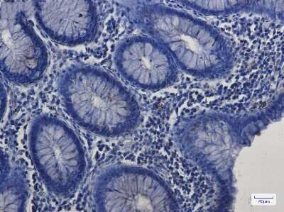
Immunohistochemistry-Paraffin: SP1 Antibody (S01-9G6) [NBP3-14976]

Immunohistochemistry-Paraffin: SP1 Antibody (S01-9G6) [NBP3-14976]

Immunohistochemistry-Paraffin: SP1 Antibody (S01-9G6) [NBP3-14976] - Immunohistochemistry of SP1 in paraffin-embedded Human colon cancer tissue using SP1 Rabbit mAb at dilution 1/50

Applications for SP1 Antibody (S01-9G6)

Application
Recommended Usage

Immunohistochemistry

1/50

Western Blot

1/1000

Formulation, Preparation, and Storage

Purification

Affinity purified

Formulation

50mM Tris-Glycine (pH 7.4), 0.15M NaCl, 40% Glycerol, 0.05% BSA

Preservative

0.01% Sodium Azide

Concentration

Please see the vial label for concentration. If unlisted please contact technical services.

Shipping

The product is shipped with polar packs. Upon receipt, store it immediately at the temperature recommended below.

Stability & Storage

Store at 4C short term. Aliquot and store at -20C long term. Avoid freeze-thaw cycles.

Background: SP1

Transcription factor that can activate or repress transcription in response to physiological and pathological stimuli. Binds with high affinity to GC-rich motifs and regulates the expression of a large number of genes involved in a variety of processes such as cell growth, apoptosis, differentiation and immune responses. Highly regulated by post-translational modifications (phosphorylations, sumoylation, proteolytic cleavage, glycosylation and acetylation). Binds also the PDGFR-alpha G-box promoter. May have a role in modulating the cellular response to DNA damage. Implicated in chromatin remodeling

Alternate Names

Sp1 transcription factor, specificity protein 1, transcription factor Sp1, TSFP1

Gene Symbol

SP1

Additional SP1 Products

Product Documents for SP1 Antibody (S01-9G6)

Certificate of Analysis

To download a Certificate of Analysis, please enter a lot number in the search box below.

Product Specific Notices for SP1 Antibody (S01-9G6)

This product is for research use only and is not approved for use in humans or in clinical diagnosis. Primary Antibodies are guaranteed for 1 year from date of receipt.

Loading...
Loading...
Loading...
Loading...