Skip to main content

SOX9 Antibody (CL0639) - Azide and BSA Free

Novus Biologicals, part of Bio-Techne | Catalog # NBP3-44053

Novus Biologicals, part of Bio-Techne
Catalog #
Availability
Size / Price
Qty
Loading...
NBP3-44053

Key Product Details

Validated by

Knockout/Knockdown, Orthogonal Validation

Species Reactivity

Human, Mouse

Applications

Immunohistochemistry-Paraffin, Western Blot, Immunocytochemistry/ Immunofluorescence

Label

Unconjugated

Antibody Source

Monoclonal Mouse IgG2A Clone # CL0639

Format

Azide and BSA Free

Concentration

LYOPH mg/ml

Product Specifications

Immunogen

This antibody was generated using a recombinant protein sequence of P48436, with the exact immunogen sequence remaining proprietary.

Clonality

Monoclonal

Host

Mouse

Isotype

IgG2A

Description

Novus Biologicals Mouse SOX9 Antibody (CL0639) - Azide and BSA Free (NBP2-52943) is a monoclonal antibody validated for use in IHC, WB and ICC/IF. All Novus Biologicals antibodies are covered by our 100% guarantee.

Scientific Data Images for SOX9 Antibody (CL0639) - Azide and BSA Free

SOX9 Antibody (CL0639) - Azide and BSA Free Immunohistochemistry-Paraffin: SOX9 Antibody [NBP3-44053]

Immunohistochemistry-Paraffin: SOX9 Antibody [NBP3-44053]

Analysis in human cerebral cortex and liver tissues using NBP3-44053 antibody. Corresponding SOX9 RNA-seq data are presented for the same tissues.
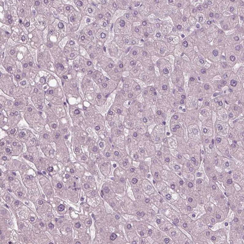
SOX9 Antibody (CL0639) - Azide and BSA Free Immunohistochemistry-Paraffin: SOX9 Antibody [NBP3-44053]

Immunohistochemistry-Paraffin: SOX9 Antibody [NBP3-44053]

Staining of human liver shows no nuclear positivity in hepatocytes as expected.
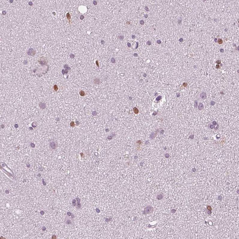
SOX9 Antibody (CL0639) - Azide and BSA Free Immunohistochemistry-Paraffin: SOX9 Antibody [NBP3-44053]

Immunohistochemistry-Paraffin: SOX9 Antibody [NBP3-44053]

Staining of human cerebral cortex shows moderate to strong nuclear positivity in a subset of glial cells.

Applications for SOX9 Antibody (CL0639) - Azide and BSA Free

Application
Recommended Usage

Immunocytochemistry/ Immunofluorescence

2-10 ug/ml

Immunohistochemistry-Paraffin

1:500 - 1:1000

Western Blot

1 ug/ml
Application Notes
For IHC-Paraffin, HIER pH 6 retrieval is recommended. Immunocytochemistry/ Immunofluorescence/IF Fixation Permeabilization: Use PFA/Triton X-100.

Formulation, Preparation, and Storage

Purification

Protein A purified

Reconstitution

Centrifuge the vial of lyophilized antibody at 12,000 x g for 20 seconds. Reconstitute by adding sterile, distilled water to achieve a final antibody concentration of 1mg/ml.

Formulation

Lyophilized from a 0.2 um filtered solution in PBS with Trehalose

Format

Azide and BSA Free

Preservative

No Preservative

Concentration

LYOPH mg/ml

Shipping

The product is shipped at ambient temperature. Upon receipt, store it immediately at the temperature recommended below.

Stability & Storage

Store at 4C short term. Aliquot and store at -20C long term. Avoid freeze-thaw cycles.

Background: SOX9

SOX9 is a member of the family of SOX (Sry-type highmobility group box) genes that were first identified on the basis of region with high homology to that of Sry (Sex determining region Y). SOX9 is a transcription factor with a high mobility group DNA-binding domain that is expressed in all prechondrocytic and chondrocytic cells during embryonic development in a pattern that close parallels that of the gene for type II collagen. SOX9 is important in neural crest formation, and is involved in regulating subsequent epithelial-mesenchymal transition and migration.

Long Name

Transcription Factor SOX9

Alternate Names

campomelic dysplasia, autosomal sex-reversal, CMD 1, CMD1, CMPD1, SRA1SRY (sex-determining region Y)-box 9 protein, SRY (sex determining region Y)-box 9, SRY-related HMG-box, gene 9, transcription factor SOX-9

Gene Symbol

SOX9

Additional SOX9 Products

Product Documents for SOX9 Antibody (CL0639) - Azide and BSA Free

Certificate of Analysis

To download a Certificate of Analysis, please enter a lot number in the search box below.

Product Specific Notices for SOX9 Antibody (CL0639) - Azide and BSA Free

This product is for research use only and is not approved for use in humans or in clinical diagnosis. Primary Antibodies are guaranteed for 1 year from date of receipt.

Loading...
Loading...
Loading...
Loading...
Loading...