Skip to main content

SOX17 Antibody - BSA Free

Novus Biologicals, part of Bio-Techne | Catalog # NBP2-24568

Novus Biologicals, part of Bio-Techne

Key Product Details

Species Reactivity

Validated:

Human, Mouse

Cited:

Mouse, Primate - Macaca fascicularis (Crab-eating Monkey or Cynomolgus Macaque)

Predicted:

Primate (100%), Rat (100%), Xenopus (100%). Backed by our 100% Guarantee.

Applications

Validated:

Immunohistochemistry, Immunohistochemistry-Paraffin, Western Blot, Immunocytochemistry/ Immunofluorescence

Cited:

Immunocytochemistry/ Immunofluorescence, IF/IHC

Label

Unconjugated

Antibody Source

Polyclonal Rabbit IgG

Format

BSA Free

Concentration

1.0 mg/ml

Product Specifications

Immunogen

A portion of amino acids 70-120 of human SOX17 was used as the immunogen for the antibody.

Clonality

Polyclonal

Host

Rabbit

Isotype

IgG

Description

Novus Biologicals Rabbit SOX17 Antibody - BSA Free (NBP2-24568) is a polyclonal antibody validated for use in IHC, WB and ICC/IF. Anti-SOX17 Antibody: Cited in 11 publications. All Novus Biologicals antibodies are covered by our 100% guarantee.

Scientific Data Images for SOX17 Antibody - BSA Free

Immunocytochemistry/ Immunofluorescence: SOX17 Antibody - BSA Free [NBP2-24568]

Immunocytochemistry/ Immunofluorescence: SOX17 Antibody - BSA Free [NBP2-24568]

Immunocytochemistry/Immunofluorescence: SOX17 Antibody [NBP2-24568] - MCF7 cells were fixed in 4% paraformaldehyde for 10 min and permeabilized in 0.05% Triton X-100 in PBS for 5 minutes. The cells were incubated with anti-Sox17 Antibody at 2 ug/ml for 60 minutes at room temperature and detected with an anti-rabbit Dylight 488 (Green) at a 1:1000 dilution for 60 minutes. Nuclei were counterstained with DAPI (Blue). Cells were imaged using a 100X objective.
Western Blot: SOX17 AntibodyBSA Free [NBP2-24568]

Western Blot: SOX17 AntibodyBSA Free [NBP2-24568]

Western Blot: SOX17 Antibody [NBP2-24568] - Analysis of SOX17 in mouse embryo brain lysate in the (1) absence and (2) presence of immunizing peptide using SOX17 antibody at 1 ug/ml. Goat anti-rabbit Ig HRP secondary antibody and PicoTect ECL substrate solution were used for this test.
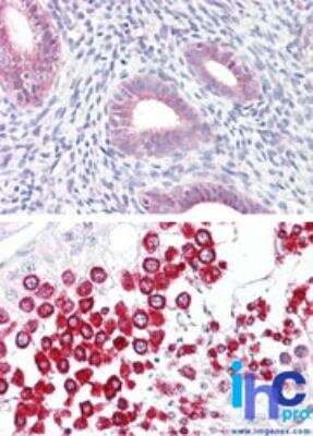
Immunohistochemistry-Paraffin: SOX17 Antibody - BSA Free [NBP2-24568]

Immunohistochemistry-Paraffin: SOX17 Antibody - BSA Free [NBP2-24568]

Immunohistochemistry-Paraffin: SOX17 Antibody [NBP2-24568] - Human uterus (top) and testis (bottom) stained with SOX17 antibody at 10 ug/ml.

Applications for SOX17 Antibody - BSA Free

Application
Recommended Usage

Immunocytochemistry/ Immunofluorescence

1 - 2 ug/ml

Immunohistochemistry

1:200

Immunohistochemistry-Paraffin

1:200

Western Blot

1-3 ug/ml

Formulation, Preparation, and Storage

Purification

Immunogen affinity purified

Formulation

PBS

Format

BSA Free

Preservative

0.02% Sodium Azide

Concentration

1.0 mg/ml

Shipping

The product is shipped with polar packs. Upon receipt, store it immediately at the temperature recommended below.

Stability & Storage

Store at 4C short term. Aliquot and store at -20C long term. Avoid freeze-thaw cycles.

Background: SOX17

The SOX17 gene encodes a member of the SOX (SRY-related HMG-box) family of transcription factors involved in the regulationof embryonic development and in the determination of the cell fate. The encoded protein may act as a transcriptionalregulator after formi

Long Name

Transcription Factor SOX17

Alternate Names

FLJ22252, SRY (sex determining region Y)-box 17, SRY-related HMG-box transcription factor SOX17, transcription factor SOX-17, VUR3

Gene Symbol

SOX17

UniProt

Additional SOX17 Products

Product Documents for SOX17 Antibody - BSA Free

Certificate of Analysis

To download a Certificate of Analysis, please enter a lot number in the search box below.

Product Specific Notices for SOX17 Antibody - BSA Free

This product is for research use only and is not approved for use in humans or in clinical diagnosis. Primary Antibodies are guaranteed for 1 year from date of receipt.

Loading...
Loading...
Loading...
Loading...