Skip to main content

SOX1 Antibody - Azide and BSA Free

Novus Biologicals, part of Bio-Techne | Catalog # NBP3-16153

Novus Biologicals, part of Bio-Techne
Catalog #
Availability
Size / Price
Qty
Loading...
NBP3-16153-100ul
NBP3-16153-20ul

Key Product Details

Species Reactivity

Human, Mouse, Rat

Applications

Immunohistochemistry, Immunohistochemistry-Paraffin, Western Blot

Label

Unconjugated

Antibody Source

Polyclonal Rabbit IgG

Format

Azide and BSA Free

Concentration

Please see the vial label for concentration. If unlisted please contact technical services.

Product Specifications

Immunogen

A synthetic peptide corresponding to a sequence within amino acids 292-391 of human SOX1 (NP_005977.2). HQNSAVAAAAAAAAASSGALGALGSLVKSEPSGSPPAPAHSRAPCPGDLREMISMYLPAGEGGDPAAAAAAAAQSRLHSLPQHYQGAGAGVNGTVPLTHI

Clonality

Polyclonal

Host

Rabbit

Isotype

IgG

Description

Novus Biologicals Rabbit SOX1 Antibody - Azide and BSA Free (NBP3-16153) is a polyclonal antibody validated for use in IHC and WB. All Novus Biologicals antibodies are covered by our 100% guarantee.

Scientific Data Images for SOX1 Antibody - Azide and BSA Free

Western Blot: SOX1 AntibodyAzide and BSA Free [NBP3-16153]

Western Blot: SOX1 AntibodyAzide and BSA Free [NBP3-16153]

Western Blot: SOX1 Antibody [NBP3-16153] - Western blot analysis of extracts of various cell lines, using SOX1 antibody (NBP3-16153) at 1:1000 dilution. Secondary antibody: HRP Goat Anti-Rabbit IgG (H+L) at 1:10000 dilution. Lysates/proteins: 25ug per lane. Blocking buffer: 3% nonfat dry milk in TBST. Detection: ECL Enhanced Kit. Exposure time: 180s.
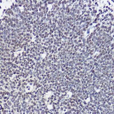
Immunohistochemistry-Paraffin: SOX1 Antibody - Azide and BSA Free [NBP3-16153]

Immunohistochemistry-Paraffin: SOX1 Antibody - Azide and BSA Free [NBP3-16153]

Immunohistochemistry-Paraffin: SOX1 Antibody [NBP3-16153] - Immunohistochemistry of paraffin-embedded mouse embryos using SOX1 Rabbit pAb (NBP3-16153) at dilution of 1:25 (40x lens).Perform high pressure antigen retrieval with 10 mM citrate buffer pH 6.0 before commencing with IHC staining protocol.

Applications for SOX1 Antibody - Azide and BSA Free

Application
Recommended Usage

Immunohistochemistry

1:50 - 1:200

Western Blot

1:500 - 1:1000

Formulation, Preparation, and Storage

Purification

Affinity purified

Formulation

PBS (pH 7.3), 50% glycerol

Format

Azide and BSA Free

Preservative

0.05% Proclin 300

Concentration

Please see the vial label for concentration. If unlisted please contact technical services.

Shipping

The product is shipped with polar packs. Upon receipt, store it immediately at the temperature recommended below.

Stability & Storage

Store at -20C. Avoid freeze-thaw cycles.

Background: SOX1

SOX1 encodes a member of the SOX (SRY-related HMG-box) family of transcription factors involved in the regulation of embryonic development and in the determination of the cell fate. The encoded protein may act as a transcriptional activator after forming a protein complex with other proteins. In mice, a similar protein regulates the gamma-crystallin genes and is essential for lens development.

Long Name

SRY-related HMG-box 1

Alternate Names

SRY (sex determining region Y)-box 1, SRY-related HMG-box gene 1, transcription factor SOX-1

Gene Symbol

SOX1

Additional SOX1 Products

Product Documents for SOX1 Antibody - Azide and BSA Free

Certificate of Analysis

To download a Certificate of Analysis, please enter a lot number in the search box below.

Product Specific Notices for SOX1 Antibody - Azide and BSA Free

This product is for research use only and is not approved for use in humans or in clinical diagnosis. Primary Antibodies are guaranteed for 1 year from date of receipt.

Loading...
Loading...
Loading...
Loading...