Skip to main content

SOD1/Cu-Zn SOD Antibody - BSA Free

Novus Biologicals, part of Bio-Techne | Catalog # NBP1-90186

Novus Biologicals, part of Bio-Techne
Catalog #
Availability
Size / Price
Qty
Loading...
NBP1-90186
NBP1-90186-25ul

Key Product Details

Validated by

Knockout/Knockdown, Orthogonal Validation

Species Reactivity

Validated:

Human, Mouse, Rat

Cited:

Human, Mouse

Applications

Validated:

Immunohistochemistry, Immunohistochemistry-Paraffin, Western Blot, Immunocytochemistry/ Immunofluorescence, Simple Western, Knockdown Validated

Cited:

Western Blot, IF/IHC

Label

Unconjugated

Antibody Source

Polyclonal Rabbit IgG

Format

BSA Free

Concentration

Concentrations vary lot to lot. See vial label for concentration. If unlisted please contact technical services.

Product Specifications

Immunogen

This antibody was developed against Recombinant Protein corresponding to amino acids: PVQGIINFEQKESNGPVKVWGSIKGLTEGLHGFHVHEFGDNTAGCTSAGPHFNPLSRKHGGPKDEERHVGDLGNVTADKDGVADVSIEDSVISLSGDHCIIGRTLVVHEKADDLGKGGNEESTKTGNAGSRLACG

Clonality

Polyclonal

Host

Rabbit

Isotype

IgG

Description

Novus Biologicals Rabbit SOD1/Cu-Zn SOD Antibody - BSA Free (NBP1-90186) is a polyclonal antibody validated for use in IHC, WB, ICC/IF and Simple Western. Anti-SOD1/Cu-Zn SOD Antibody: Cited in 3 publications. All Novus Biologicals antibodies are covered by our 100% guarantee.

Scientific Data Images for SOD1/Cu-Zn SOD Antibody - BSA Free

Immunocytochemistry/ Immunofluorescence: SOD1/Cu-Zn SOD Antibody [NBP1-90186]

Immunocytochemistry/ Immunofluorescence: SOD1/Cu-Zn SOD Antibody [NBP1-90186]

Immunocytochemistry/Immunofluorescence: SOD1/Cu-Zn SOD Antibody [NBP1-90186] - Staining of human cell line U-251 MG shows localization to nucleoplasm & cytosol. Antibody staining is shown in green.
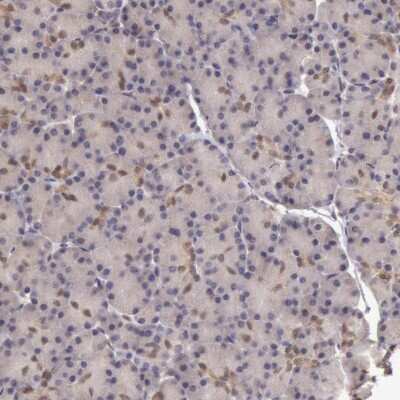
SOD1/Cu-Zn SOD Antibody - BSA Free Immunohistochemistry: SOD1/Cu-Zn SOD Antibody - BSA Free [NBP1-90186]

Immunohistochemistry: SOD1/Cu-Zn SOD Antibody - BSA Free [NBP1-90186]

Analysis in human liver and pancreas tissues using NBP1-90186 antibody. Corresponding SOD1 RNA-seq data are presented for the same tissues.
Immunohistochemistry-Paraffin: SOD1/Cu-Zn SOD Antibody [NBP1-90186]

Immunohistochemistry-Paraffin: SOD1/Cu-Zn SOD Antibody [NBP1-90186]

Immunohistochemistry-Paraffin: SOD1/Cu-Zn SOD Antibody [NBP1-90186] - staining of human liver shows strong nuclear and cytoplasmic positivity in hepatocytes.

Applications for SOD1/Cu-Zn SOD Antibody - BSA Free

Application
Recommended Usage

Immunocytochemistry/ Immunofluorescence

0.25-2 ug/ml

Immunohistochemistry

1:1000 - 1:2500

Immunohistochemistry-Paraffin

1:1000 - 1:2500

Simple Western

1:30

Western Blot

0.04-0.4 ug/ml
Application Notes
For IHC-Paraffin, HIER pH 6 retrieval is recommended. ICC/IF PFA/Triton X-100.. In Simple Western only 10 - 15 uL of the recommended dilution is used per data point.
See Simple Western Antibody Database for Simple Western validation: Tested in RT-4 and U-251MG, separated by Size, antibody dilution of 1:30, apparent MW was 25 kDa. Separated by Size-Wes, Sally Sue/Peggy Sue.

Formulation, Preparation, and Storage

Purification

Immunogen affinity purified

Formulation

PBS (pH 7.2) and 40% Glycerol

Format

BSA Free

Preservative

0.02% Sodium Azide

Concentration

Concentrations vary lot to lot. See vial label for concentration. If unlisted please contact technical services.

Shipping

The product is shipped with polar packs. Upon receipt, store it immediately at the temperature recommended below.

Stability & Storage

Store at 4C short term. Aliquot and store at -20C long term. Avoid freeze-thaw cycles.

Background: SOD1/Cu-Zn SOD

FUNCTION: Destroys radicals which are normally produced within the cells and which are toxic to biological systems. CATALYTIC ACTIVITY: 2 superoxide + 2 H+ = O2 + H2O2. COFACTOR: Binds 1 copper ion per subunit. COFACTOR: Binds 1 zinc ion per subunit. SUBUNIT: Homodimer. SUBCELLULAR LOCATION: Cytoplasm. DISEASE: Defects in SOD1 are the cause of familial amyotrophic lateral sclerosis (FALS); also called amyotrophic lateral sclerosis 1 (ALS1 or ALS). ALS is a degenerative disorder of motorneurons in the cortex, brainstem and spinal cord. ALS is characterized by muscular weakness and atrophy beginning in the hands and spreading to the forearms and legs. Muscle fasciculations are commonly visible. Sensory abnormalities are absent. Death usually occurs within 2 to 5 years. ALS is sometimes referred to as Lou Gehrig disease after the famous American baseball player who was diagnosed with the disorder. FALS, the familial form of ALS, accounts for about 10% of the cases and is transmitted in an autosomal dominant manner. The mean age at onset of FALS is 45 years. MISCELLANEOUS: Zinc binding promotes dimerization. SIMILARITY: Belongs to the Cu-Zn superoxide dismutase family.

Long Name

Superoxide Dismutase-1

Alternate Names

Cu-Zn SOD, CuZn SOD, Ipo1, IPOA, SOD, cytosolic, SOD, Soluble

Gene Symbol

SOD1

Additional SOD1/Cu-Zn SOD Products

Product Documents for SOD1/Cu-Zn SOD Antibody - BSA Free

Certificate of Analysis

To download a Certificate of Analysis, please enter a lot number in the search box below.

Product Specific Notices for SOD1/Cu-Zn SOD Antibody - BSA Free

This product is for research use only and is not approved for use in humans or in clinical diagnosis. Primary Antibodies are guaranteed for 1 year from date of receipt.

Loading...
Loading...
Loading...
Loading...