Skip to main content

SOCS-6 Antibody - BSA Free

Novus Biologicals, part of Bio-Techne | Catalog # NBP2-94197

Novus Biologicals, part of Bio-Techne
Catalog #
Availability
Size / Price
Qty
Loading...
NBP2-94197-0.02ml
NBP2-94197-0.1ml

Key Product Details

Species Reactivity

Human, Mouse

Applications

Immunohistochemistry, Immunohistochemistry-Paraffin, Western Blot

Label

Unconjugated

Antibody Source

Polyclonal Rabbit IgG

Format

BSA Free

Concentration

Please see the vial label for concentration. If unlisted please contact technical services.

Product Specifications

Immunogen

Recombinant fusion protein containing a sequence corresponding to amino acids 1-210 of human SOCS6 (NP_004223.2). MKKISLKTLRKSFNLNKSKEETDFMVVQQPSLASDFGKDDSLFGSCYGKDMASCDINGEDEKGGKNRSKSESLMGTLKRRLSAKQKSKGKAGTPSGSSADEDTFSSSSAPIVFKDVRAQRPIRSTSLRSHHYSPAPWPLRPTNSEETCIKMEVRVKALVHSSSPSPALNGVRKDFHDLQSETTCQEQANSLKSSASHNGDLHLHLDEHVP

Clonality

Polyclonal

Host

Rabbit

Isotype

IgG

Theoretical MW

59 kDa.
Disclaimer note: The observed molecular weight of the protein may vary from the listed predicted molecular weight due to post translational modifications, post translation cleavages, relative charges, and other experimental factors.

Description

Novus Biologicals Rabbit SOCS-6 Antibody - BSA Free (NBP2-94197) is a polyclonal antibody validated for use in IHC and WB. All Novus Biologicals antibodies are covered by our 100% guarantee.

Scientific Data Images for SOCS-6 Antibody - BSA Free

Western Blot: SOCS-6 AntibodyBSA Free [NBP2-94197]

Western Blot: SOCS-6 AntibodyBSA Free [NBP2-94197]

Western Blot: SOCS-6 Antibody [NBP2-94197] - Analysis of extracts of various cell lines, using SOCS-6 at 1:1000 dilution. Secondary antibody: HRP Goat Anti-Rabbit IgG (H+L) at 1:10000 dilution. Lysates/proteins: 25ug per lane. Blocking buffer: 3% nonfat dry milk in TBST. Detection: ECL Basic Kit . Exposure time: 30s.
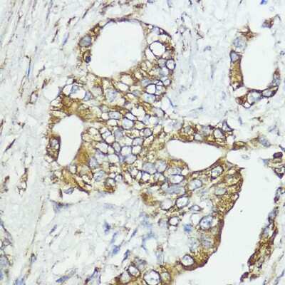
Immunohistochemistry-Paraffin: SOCS-6 Antibody - BSA Free [NBP2-94197]

Immunohistochemistry-Paraffin: SOCS-6 Antibody - BSA Free [NBP2-94197]

Immunohistochemistry-Paraffin: SOCS-6 Antibody [NBP2-94197] - Paraffin-embedded human mammary cancer using SOCS-6 .
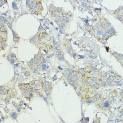
Immunohistochemistry-Paraffin: SOCS-6 Antibody - BSA Free [NBP2-94197]

Immunohistochemistry-Paraffin: SOCS-6 Antibody - BSA Free [NBP2-94197]

Immunohistochemistry-Paraffin: SOCS-6 Antibody [NBP2-94197] - Paraffin-embedded human liver cancer using SOCS-6 .

Applications for SOCS-6 Antibody - BSA Free

Application
Recommended Usage

Immunohistochemistry

1:50-1:200

Western Blot

1:500-1:2000

Formulation, Preparation, and Storage

Purification

Affinity purified

Formulation

PBS (pH 7.3), 50% glycerol

Format

BSA Free

Preservative

0.02% Sodium Azide

Concentration

Please see the vial label for concentration. If unlisted please contact technical services.

Shipping

The product is shipped with polar packs. Upon receipt, store it immediately at the temperature recommended below.

Stability & Storage

Store at -20C. Avoid freeze-thaw cycles.

Background: SOCS-6

SOCS6 is encoded by this gene contains a SH2 domain and a CIS homolog domain. The protein thus belongs to the cytokine-induced STAT inhibitor (CIS), also known as suppressor of cytokine signaling (SOCS) or STAT-induced STAT inhibitor (SSI), protein family. CIS family members are known to be cytokine-inducible negative regulators of cytokine signaling. The expression of this gene can be induced by GM-CSF and EPO in hematopoietic cells. A high expression level of this gene was found in factor-independent chronic myelogenous leukemia (CML) and erythroleukemia (HEL) cell lines.

Long Name

Suppressor Of Cytokine Signaling 6

Alternate Names

HSPC060, SOCS6

Gene Symbol

SOCS6

Additional SOCS-6 Products

Product Documents for SOCS-6 Antibody - BSA Free

Certificate of Analysis

To download a Certificate of Analysis, please enter a lot number in the search box below.

Product Specific Notices for SOCS-6 Antibody - BSA Free

This product is for research use only and is not approved for use in humans or in clinical diagnosis. Primary Antibodies are guaranteed for 1 year from date of receipt.

Loading...
Loading...
Loading...
Loading...