Skip to main content

SOCS-1 Antibody (5T6Z10)

Novus Biologicals, part of Bio-Techne | Catalog # NBP3-35060

Novus Biologicals, part of Bio-Techne
Catalog #
Availability
Size / Price
Qty
Loading...
NBP3-35060-100ul
NBP3-35060-20ul

Key Product Details

Species Reactivity

Human, Mouse, Rat

Applications

Immunohistochemistry, Immunohistochemistry-Paraffin, ELISA, Immunocytochemistry/ Immunofluorescence

Label

Unconjugated

Antibody Source

Monoclonal Rabbit IgG Clone # 5T6Z10

Concentration

Please see the vial label for concentration. If unlisted please contact technical services.

Product Specifications

Immunogen

A synthetic peptide corresponding to a sequence within amino acids 1-100 of human SOCS-1 (NP_003736.1).

Sequence:
MVAHNQVAADNAVSTAAEPRRRPEPSSSSSSSPAAPARPRPCPAVPAPAPGDTHFRTFRSHADYRRITRASALLDACGFYWGPLSVHGAHERLRAEPVGT

Clonality

Monoclonal

Host

Rabbit

Isotype

IgG

Theoretical MW

24 kDa.
Disclaimer note: The observed molecular weight of the protein may vary from the listed predicted molecular weight due to post translational modifications, post translation cleavages, relative charges, and other experimental factors.

Description

Novus Biologicals Rabbit SOCS-1 Antibody (5T6Z10) (NBP3-35060) is a monoclonal antibody validated for use in IHC, ELISA and ICC/IF. All Novus Biologicals antibodies are covered by our 100% guarantee.

Scientific Data Images for SOCS-1 Antibody (5T6Z10)

SOCS-1 Antibody (5T6Z10)

Immunohistochemistry: SOCS-1 Antibody (5T6Z10) [NBP3-35060] -

Immunohistochemistry: SOCS-1 Antibody (5T6Z10) [NBP3-35060] - Immunohistochemistry analysis of paraffin-embedded Human colon using SOCS-1 Rabbit mAb at dilution of 1:100 (40x lens). High pressure antigen retrieval performed with 0.01M Citrate Bufferr (pH 6.0) prior to IHC staining.
SOCS-1 Antibody (5T6Z10)

Immunohistochemistry: SOCS-1 Antibody (5T6Z10) [NBP3-35060] -

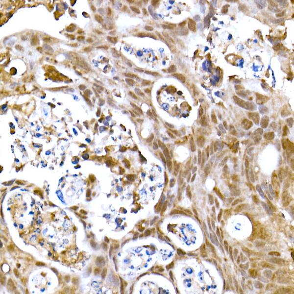
Immunohistochemistry: SOCS-1 Antibody (5T6Z10) [NBP3-35060] - Immunohistochemistry analysis of paraffin-embedded Human colon carcinoma using SOCS-1 Rabbit mAb at dilution of 1:100 (40x lens). High pressure antigen retrieval performed with 0.01M Citrate Bufferr (pH 6.0) prior to IHC staining.
SOCS-1 Antibody (5T6Z10)

Immunocytochemistry/ Immunofluorescence: SOCS-1 Antibody (5T6Z10) [NBP3-35060] -

Immunocytochemistry/ Immunofluorescence: SOCS-1 Antibody (5T6Z10) [NBP3-35060] - Immunofluorescence analysis of MCF7 cells using SOCS-1 Rabbit mAb at dilution of 1:100 (40x lens). Secondary antibody: Cy3-conjugated Goat anti-Rabbit IgG (H+L) at 1:500 dilution. Blue: DAPI for nuclear staining.

Applications for SOCS-1 Antibody (5T6Z10)

Application
Recommended Usage

Immunocytochemistry/ Immunofluorescence

1:50 - 1:200

Immunohistochemistry-Paraffin

1:50 - 1:200

Formulation, Preparation, and Storage

Purification

Affinity purified

Formulation

PBS (pH 7.3), 50% glycerol, 0.05% BSA

Preservative

0.02% Sodium Azide

Concentration

Please see the vial label for concentration. If unlisted please contact technical services.

Shipping

The product is shipped with polar packs. Upon receipt, store it immediately at the temperature recommended below.

Stability & Storage

Store at -20C. Avoid freeze-thaw cycles.

Background: SOCS-1

The SOCS (Suppressor of cytokine signaling) family of proteins has at least 8 members; SOCS1 to SOCS7 and CIS (cytokine inducible SH2 containing protein). SOCS1 has a role in the negative regulation of cytokines that signal through the JAK/STAT3 pathway.

Long Name

Suppressor Of Cytokine Signaling 1

Alternate Names

CIS1, Cish1, JAB, SOCS1, SSI-1, TIP3

Gene Symbol

SOCS1

Additional SOCS-1 Products

Product Documents for SOCS-1 Antibody (5T6Z10)

Certificate of Analysis

To download a Certificate of Analysis, please enter a lot number in the search box below.

Product Specific Notices for SOCS-1 Antibody (5T6Z10)

This product is for research use only and is not approved for use in humans or in clinical diagnosis. Primary Antibodies are guaranteed for 1 year from date of receipt.

Loading...
Loading...
Loading...
Loading...