SMYD3 Antibody - BSA Free
Novus Biologicals, part of Bio-Techne | Catalog # NBP2-58364
Key Product Details
Species Reactivity
Validated:
Human
Predicted:
Mouse (94%). Backed by our 100% Guarantee.
Applications
Immunocytochemistry/ Immunofluorescence, Immunohistochemistry, Immunohistochemistry-Paraffin
Label
Unconjugated
Antibody Source
Polyclonal Rabbit IgG
Format
BSA Free
Concentration
Concentrations vary lot to lot. See vial label for concentration. If unlisted please contact technical services.
Product Specifications
Immunogen
This antibody was developed against a recombinant protein corresponding to the following amino acid sequence: AMCQAIISSNSERLPDINIYQLKVLDCAMDACINLGLLEEALFYGTRTMEPYRIFFPGSHPVRGVQVMKVGKLQLHQGMFPQAMKNLRLAFDIM
Clonality
Polyclonal
Host
Rabbit
Isotype
IgG
Description
Novus Biologicals Rabbit SMYD3 Antibody - BSA Free (NBP2-58364) is a polyclonal antibody validated for use in IHC and ICC/IF. All Novus Biologicals antibodies are covered by our 100% guarantee.
Scientific Data Images for SMYD3 Antibody - BSA Free
Immunocytochemistry/ Immunofluorescence: SMYD3 Antibody [NBP2-58364]
Immunocytochemistry/Immunofluorescence: SMYD3 Antibody [NBP2-58364] - Staining of human cell line RT4 shows localization to nucleoplasm.Immunohistochemistry-Paraffin: SMYD3 Antibody [NBP2-58364]
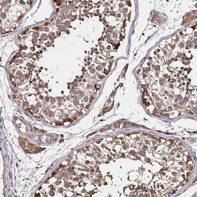
Immunohistochemistry-Paraffin: SMYD3 Antibody [NBP2-58364] - Immunohistochemical staining of human testis shows moderate cytoplasmic positivity in cells in seminiferous ducts and Leydig cells.Applications for SMYD3 Antibody - BSA Free
Application
Recommended Usage
Immunocytochemistry/ Immunofluorescence
0.25-2 ug/ml
Immunohistochemistry
1:20 - 1:50
Immunohistochemistry-Paraffin
1:20 - 1:50
Application Notes
For IHC-Paraffin, HIER pH 6 retrieval is recommended.
Formulation, Preparation, and Storage
Purification
Affinity purified
Formulation
PBS (pH 7.2) and 40% Glycerol
Format
BSA Free
Preservative
0.02% Sodium Azide
Concentration
Concentrations vary lot to lot. See vial label for concentration. If unlisted please contact technical services.
Shipping
The product is shipped with polar packs. Upon receipt, store it immediately at the temperature recommended below.
Stability & Storage
Store at 4C short term. Aliquot and store at -20C long term. Avoid freeze-thaw cycles.
Background: SMYD3
Long Name
Histone-lysine N-methyltransferase SMYD3
Alternate Names
ZMYND1, ZNFN3A1
Gene Symbol
SMYD3
Additional SMYD3 Products
Product Documents for SMYD3 Antibody - BSA Free
Product Specific Notices for SMYD3 Antibody - BSA Free
This product is for research use only and is not approved for use in humans or in clinical diagnosis. Primary Antibodies are guaranteed for 1 year from date of receipt.
Loading...
Loading...
Loading...
Loading...