SMYD3 Antibody (HL2464) - Azide and BSA Free
Novus Biologicals, part of Bio-Techne | Catalog # NBP3-25688
Recombinant Monoclonal Antibody
Key Product Details
Validated by
Orthogonal Validation
Species Reactivity
Human, Mouse, Rat, Zebrafish
Applications
Immunohistochemistry, Immunohistochemistry-Paraffin, Western Blot
Label
Unconjugated
Antibody Source
Recombinant Monoclonal Rabbit IgG Clone # HL2464 expressed in HEK293
Format
Azide and BSA Free
Concentration
Concentrations vary lot to lot. See vial label for concentration. If unlisted please contact technical services.
Product Specifications
Immunogen
Recombinant fragment of human SMYD3.
Clonality
Monoclonal
Host
Rabbit
Isotype
IgG
Description
Novus Biologicals Rabbit SMYD3 Antibody (HL2464) - Azide and BSA Free (NBP3-25688) is a recombinant monoclonal antibody validated for use in IHC and WB. All Novus Biologicals antibodies are covered by our 100% guarantee.
Scientific Data Images for SMYD3 Antibody (HL2464) - Azide and BSA Free
Western Blot: SMYD3 Antibody (HL2464) - Azide and BSA Free [NBP3-25688] -
Western Blot: SMYD3 Antibody (HL2464) - Azide and BSA Free [NBP3-25688] - Whole cell extract (30 ug) was separated by 10% SDS-PAGE, and the membrane was blotted with SMYD3 antibody [HL2464] (NBP3-25688) diluted at 1:1000. The HRP-conjugated anti-rabbit IgG antibody was used to detect the primary antibody, and the signal was developed with Trident ECL plus-Enhanced.Western Blot: SMYD3 Antibody (HL2464) - Azide and BSA Free [NBP3-25688] -
Western Blot: SMYD3 Antibody (HL2464) - Azide and BSA Free [NBP3-25688] - Various whole cell extracts (30 ug) were separated by 10% SDS-PAGE, and the membrane was blotted with SMYD3 antibody [HL2464] (NBP3-25688) diluted at 1:1000. The HRP-conjugated anti-rabbit IgG antibody was used to detect the primary antibody. Corresponding RNA expression data for the same cell lines are based on Human Protein Atlas program.Immunohistochemistry-Paraffin: SMYD3 Antibody (HL2464) - Azide and BSA Free [NBP3-25688] -
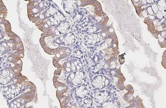
Immunohistochemistry-Paraffin: SMYD3 Antibody (HL2464) - Azide and BSA Free [NBP3-25688] - SMYD3 antibody [HL2464] detects SMYD3 protein by immunohistochemical analysis. Sample: Paraffin-embedded rat tissues. SMYD3 stained by SMYD3 antibody [HL2464] (NBP3-25688) diluted at 1:100. Antigen Retrieval: Citrate buffer, pH 6.0, 15 minApplications for SMYD3 Antibody (HL2464) - Azide and BSA Free
Application
Recommended Usage
Western Blot
1:500-1:3000
Formulation, Preparation, and Storage
Purification
Protein A purified
Formulation
PBS
Format
Azide and BSA Free
Preservative
No Preservative
Concentration
Concentrations vary lot to lot. See vial label for concentration. If unlisted please contact technical services.
Shipping
The product is shipped with polar packs. Upon receipt, store it immediately at the temperature recommended below.
Stability & Storage
Store at 4C short term. Aliquot and store at -20C long term. Avoid freeze-thaw cycles.
Background: SMYD3
Long Name
Histone-lysine N-methyltransferase SMYD3
Alternate Names
ZMYND1, ZNFN3A1
Gene Symbol
SMYD3
Additional SMYD3 Products
Product Documents for SMYD3 Antibody (HL2464) - Azide and BSA Free
Product Specific Notices for SMYD3 Antibody (HL2464) - Azide and BSA Free
This product is for research use only and is not approved for use in humans or in clinical diagnosis. Primary Antibodies are guaranteed for 1 year from date of receipt.
Loading...
Loading...
Loading...
Loading...