Skip to main content

SMURF1 Antibody - BSA Free

Novus Biologicals, part of Bio-Techne | Catalog # NBP2-41297

Novus Biologicals, part of Bio-Techne

Key Product Details

Species Reactivity

Human, Mouse, Rat

Applications

Immunohistochemistry, Immunohistochemistry-Paraffin, Western Blot, ELISA

Label

Unconjugated

Antibody Source

Polyclonal Rabbit IgG

Format

BSA Free

Concentration

1 mg/ml

Product Specifications

Immunogen

Antibody was raised against a 16 amino acid peptide near the amino terminus of human SMURF1. The immunogen is located within amino acids 180 - 230 of SMURF1. Amino Acid Squence: RFVESPSQDQRLQAQ

Specificity

At least three isoforms of SMURF1 are known to exist this antibody will recognize all three isoforms. SMURF1 is predicted to not cross-react with SMURF2.

Clonality

Polyclonal

Host

Rabbit

Isotype

IgG

Theoretical MW

78 kDa.
Disclaimer note: The observed molecular weight of the protein may vary from the listed predicted molecular weight due to post translational modifications, post translation cleavages, relative charges, and other experimental factors.

Description

Novus Biologicals Rabbit SMURF1 Antibody - BSA Free (NBP2-41297) is a polyclonal antibody validated for use in IHC, WB and ELISA. All Novus Biologicals antibodies are covered by our 100% guarantee.

Scientific Data Images for SMURF1 Antibody - BSA Free

Western Blot: SMURF1 AntibodyBSA Free [NBP2-41297]

Western Blot: SMURF1 AntibodyBSA Free [NBP2-41297]

Western Blot: SMURF1 Antibody [NBP2-41297] - 293 cell lysate with SMURF1 antibody at 1 ug/ml.
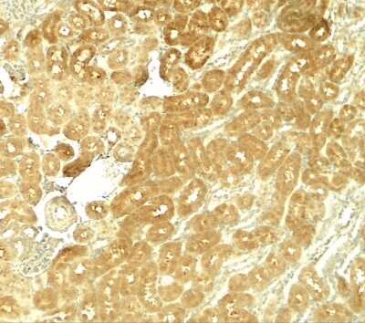
Immunohistochemistry-Paraffin: SMURF1 Antibody - BSA Free [NBP2-41297]

Immunohistochemistry-Paraffin: SMURF1 Antibody - BSA Free [NBP2-41297]

Immunohistochemistry-Paraffin: SMURF1 Antibody [NBP2-41297] - Rat kidney tissue with SMURF1 antibody at 5 ug/ml.
SMURF1 Antibody - BSA Free

Western Blot: SMURF1 Antibody - BSA Free [NBP2-41297] -

Western Blot: SMURF1 Antibody - BSA Free [NBP2-41297] - Western blot analysis of SMURF1 in 293 cell lysate with SMURF1 antibody at 1 ug/ml.

Applications for SMURF1 Antibody - BSA Free

Application
Recommended Usage

Immunohistochemistry

5 ug/ml

Immunohistochemistry-Paraffin

5 ug/ml

Western Blot

1-2 ug/ml

Formulation, Preparation, and Storage

Purification

Peptide affinity purified

Formulation

PBS

Format

BSA Free

Preservative

0.02% Sodium Azide

Concentration

1 mg/ml

Shipping

The product is shipped with polar packs. Upon receipt, store it immediately at the temperature recommended below.

Stability & Storage

Store at 4C short term. Aliquot and store at -20C long term. Avoid freeze-thaw cycles.

Background: SMURF1

SMURF1 encodes a ubiquitin ligase that is specific for receptor-regulated SMAD proteins in the bone morphogenetic protein (BMP) pathway. A similar protein in Xenopus is involved in embryonic pattern formation. Alternative splicing results in multiple transcript variants encoding different isoforms. An additional transcript variant has been identified, but its full length sequence has not been determined.

Long Name

SMAD Ubiquitination Regulatory Factor 1

Alternate Names

EC 6.3.2, KIAA1625

Gene Symbol

SMURF1

Additional SMURF1 Products

Product Documents for SMURF1 Antibody - BSA Free

Certificate of Analysis

To download a Certificate of Analysis, please enter a lot number in the search box below.

Product Specific Notices for SMURF1 Antibody - BSA Free

This product is for research use only and is not approved for use in humans or in clinical diagnosis. Primary Antibodies are guaranteed for 1 year from date of receipt.

Loading...
Loading...
Loading...
Loading...