Smad4 Antibody - BSA Free
Novus Biologicals, part of Bio-Techne | Catalog # NBP2-24951
Key Product Details
Species Reactivity
Validated:
Human, Mouse, Rat, Bovine, Monkey
Cited:
Human
Applications
Validated:
Immunohistochemistry, Immunohistochemistry-Paraffin, Western Blot, Immunocytochemistry/ Immunofluorescence
Cited:
Western Blot
Label
Unconjugated
Antibody Source
Polyclonal Rabbit IgG
Format
BSA Free
Concentration
1.0 mg/ml
Product Specifications
Immunogen
This antibody was developed against synthetic peptides corresponding to amino acids 186-223 and amino acids 509-544 of human SMAD4 (GenBank Accession No. NP_005350.1). These peptide sequences are specific to SMAD4, and have high homology to SMAD4 in multiple species.
Reactivity Notes
Bovine reactivity reported from a verified customer review.
Clonality
Polyclonal
Host
Rabbit
Isotype
IgG
Scientific Data Images for Smad4 Antibody - BSA Free
Western Blot: Smad4 Antibody [NBP2-24951]
Western Blot: Smad4 Antibody [NBP2-24951] - SMAD4 Antibody [NBP2-24951] - Analysis using SMAD4 antibody. Lysate from A549 cells probed with SMAD4 antibody at 2 ug/mL.Immunocytochemistry/ Immunofluorescence: Smad4 Antibody [NBP2-24951]
Immunocytochemistry/Immunofluorescence: Smad4 Antibody [NBP2-24951] - HeLa cells were fixed in 4% paraformaldehyde for 10 minutes and permeabilized in 0.5% Triton X-100 in PBS for 5 minutes. The cells were incubated with anti-SMAD4 Antibody NBP2-24951 at 2 ug/mL overnight at 4C and detected with an anti-rabbit DyLight 488 (Green) at a 1:1000 dilution for 60 minutes. Nuclei were counterstained with DAPI (Blue). Cells were imaged using a 100X objective and digitally deconvolved.Immunohistochemistry-Paraffin: Smad4 Antibody [NBP2-24951]
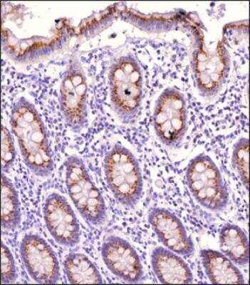
Immunohistochemistry-Paraffin: Smad4 Antibody [NBP2-24951] - Analysis of a FFPE tissue section of human colon using 1:200 dilution of SMAD4 antibody. The staining was developed using HRP labeled anti-rabbit secondary antibody and DAB reagent, and nuclei of cells were counter-stained with hematoxylin. Apical cytoplasmic staining was observed in both glandular and epithelial cells.Applications for Smad4 Antibody - BSA Free
Application
Recommended Usage
Immunocytochemistry/ Immunofluorescence
1 - 5 ug/mL
Immunohistochemistry
1:200
Immunohistochemistry-Paraffin
1:200
Western Blot
1 - 3 ug/mL
Reviewed Applications
Read 3 reviews rated 3.7 using NBP2-24951 in the following applications:
Formulation, Preparation, and Storage
Purification
Protein G purified
Formulation
PBS
Format
BSA Free
Preservative
0.05% Sodium Azide
Concentration
1.0 mg/ml
Shipping
The product is shipped with polar packs. Upon receipt, store it immediately at the temperature recommended below.
Stability & Storage
Store at 4C short term. Aliquot and store at -20C long term. Avoid freeze-thaw cycles.
Background: Smad4
Long Name
Mothers Against DPP Homolog 4
Alternate Names
DPC4, MADH4
Gene Symbol
SMAD4
UniProt
Additional Smad4 Products
Product Documents for Smad4 Antibody - BSA Free
Product Specific Notices for Smad4 Antibody - BSA Free
This product is for research use only and is not approved for use in humans or in clinical diagnosis. Primary Antibodies are guaranteed for 1 year from date of receipt.
Loading...
Loading...
Loading...
Loading...