Skip to main content

SLC39A7/ZIP7 Antibody - BSA Free

Novus Biologicals, part of Bio-Techne | Catalog # NBP2-13338

Novus Biologicals, part of Bio-Techne
Catalog #
Availability
Size / Price
Qty
Loading...
NBP2-13338
NBP2-13338-25ul

Key Product Details

Species Reactivity

Human

Applications

Immunohistochemistry, Immunohistochemistry-Paraffin, Immunocytochemistry/ Immunofluorescence

Label

Unconjugated

Antibody Source

Polyclonal Rabbit IgG

Format

BSA Free

Concentration

Concentrations vary lot to lot. See vial label for concentration. If unlisted please contact technical services.

Product Specifications

Immunogen

This antibody was developed against a recombinant protein corresponding to the amino acids: GHDDLHDDLQEDFHGHSHRHSHEDFHHGHSHAHGHGHTHESIWHGHTHDHDHGHSHEDLHHG

Reactivity Notes

Immunogen displays the following percentage of sequence identity for non-tested species: Rat (82%)

Clonality

Polyclonal

Host

Rabbit

Isotype

IgG

Description

Novus Biologicals Rabbit SLC39A7/ZIP7 Antibody - BSA Free (NBP2-13338) is a polyclonal antibody validated for use in IHC and ICC/IF. All Novus Biologicals antibodies are covered by our 100% guarantee.

Scientific Data Images for SLC39A7/ZIP7 Antibody - BSA Free

Immunocytochemistry/ Immunofluorescence: SLC39A7/ZIP7 Antibody [NBP2-13338]

Immunocytochemistry/ Immunofluorescence: SLC39A7/ZIP7 Antibody [NBP2-13338]

Immunocytochemistry/Immunofluorescence: SLC39A7/ZIP7 Antibody [NBP2-13338] - Staining of human cell line Hep G2 shows localization to endoplasmic reticulum. Antibody staining is shown in green.
Immunohistochemistry-Paraffin: SLC39A7/ZIP7 Antibody [NBP2-13338]

Immunohistochemistry-Paraffin: SLC39A7/ZIP7 Antibody [NBP2-13338]

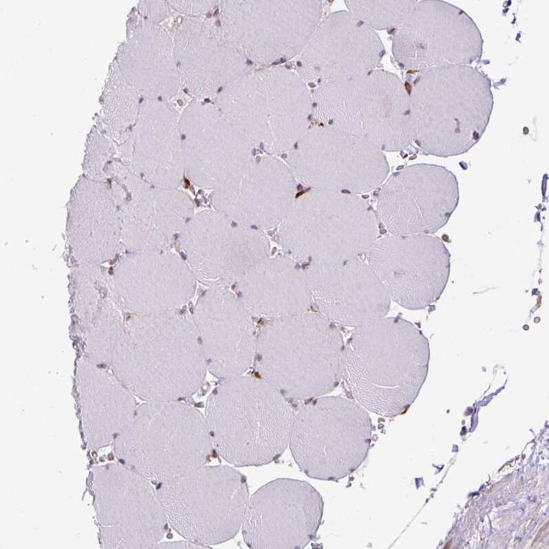
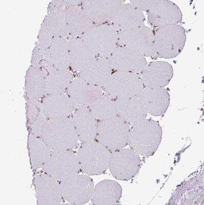
Immunohistochemistry-Paraffin: SLC39A7/ZIP7 Antibody [NBP2-13338] - Staining of human skeletal muscle shows no positivity in myocytes as expected.
Immunohistochemistry-Paraffin: SLC39A7/ZIP7 Antibody [NBP2-13338]

Immunohistochemistry-Paraffin: SLC39A7/ZIP7 Antibody [NBP2-13338]

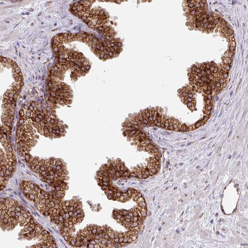
Immunohistochemistry-Paraffin: SLC39A7/ZIP7 Antibody [NBP2-13338] - Staining of human duodenum shows positivity in glandular cells.

Applications for SLC39A7/ZIP7 Antibody - BSA Free

Application
Recommended Usage

Immunocytochemistry/ Immunofluorescence

0.25-2 ug/ml

Immunohistochemistry

1:200 - 1:500

Immunohistochemistry-Paraffin

1:200 - 1:500
Application Notes
For IHC-Paraffin, HIER pH 6 retrieval is recommended. ICC/IF Fixation Permeabilization: Use PFA/Triton X-100.

Formulation, Preparation, and Storage

Purification

Immunogen affinity purified

Formulation

PBS (pH 7.2) and 40% Glycerol

Format

BSA Free

Preservative

0.02% Sodium Azide

Concentration

Concentrations vary lot to lot. See vial label for concentration. If unlisted please contact technical services.

Shipping

The product is shipped with polar packs. Upon receipt, store it immediately at the temperature recommended below.

Stability & Storage

Store at 4C short term. Aliquot and store at -20C long term. Avoid freeze-thaw cycles.

Background: SLC39A7/ZIP7

Zinc is an essential cofactor for more than 50 classes of enzymes. It is involved in protein, nucleic acid, carbohydrate, and lipid metabolism, as well as in the control of gene transcription, growth, development, and differentiation. Zinc cannot passively diffuse across cell membranes and requires specific transporters, such as SLC39A7, to enter the cytosol from both the extracellular environment and from intracellular storage compartments.(supplied by OMIM)

Alternate Names

D6S115E, D6S2244EReally interesting new gene 5 protein, H2-KE4, HKE4Solute carrier family 39 member 7, HLA class II region expressed gene KE4, KE4, Ke4 gene, mouse, human homolog of, RING5Histidine-rich membrane protein Ke4, solute carrier family 39 (zinc transporter), member 7, zinc transporter SLC39A7, ZIP7

Gene Symbol

SLC39A7

Additional SLC39A7/ZIP7 Products

Product Documents for SLC39A7/ZIP7 Antibody - BSA Free

Certificate of Analysis

To download a Certificate of Analysis, please enter a lot number in the search box below.

Product Specific Notices for SLC39A7/ZIP7 Antibody - BSA Free

This product is for research use only and is not approved for use in humans or in clinical diagnosis. Primary Antibodies are guaranteed for 1 year from date of receipt.

Loading...
Loading...
Loading...
Loading...