Skip to main content

SLC38A9 Antibody - BSA Free

Novus Biologicals, part of Bio-Techne | Catalog # NBP1-92403

Novus Biologicals, part of Bio-Techne
Catalog #
Availability
Size / Price
Qty
Loading...
NBP1-92403-25ul
NBP1-92403

Key Product Details

Species Reactivity

Validated:

Human

Cited:

Human

Applications

Validated:

Immunohistochemistry, Immunohistochemistry-Paraffin, Western Blot, Immunocytochemistry/ Immunofluorescence

Cited:

Western Blot, Immunocytochemistry/ Immunofluorescence

Label

Unconjugated

Antibody Source

Polyclonal Rabbit IgG

Format

BSA Free

Concentration

Concentrations vary lot to lot. See vial label for concentration. If unlisted please contact technical services.

Product Specifications

Immunogen

This antibody was developed against Recombinant Protein corresponding to amino acids: NSDSRHLGTSEVDHERDPGPMNIQFEPSDLRSKRPFCIEPTNIVNVNHVIQRVSDHASAMNKRIHYYSRLTTPADKALIAPDHVVPAPEECYVYSPLGSAY

Reactivity Notes

Immunogen displays the following percentage of sequence identity for non-tested species: Mouse (88%), Rat (88%).

Clonality

Polyclonal

Host

Rabbit

Isotype

IgG

Scientific Data Images for SLC38A9 Antibody - BSA Free

Immunocytochemistry/ Immunofluorescence: SLC38A9 Antibody [NBP1-92403]

Immunocytochemistry/ Immunofluorescence: SLC38A9 Antibody [NBP1-92403]

Immunocytochemistry/Immunofluorescence: SLC38A9 Antibody [NBP1-92403] - Staining of human cell line U-251 MG shows localization to nucleoplasm and vesicles. Antibody staining is shown in green.
Immunohistochemistry-Paraffin: SLC38A9 Antibody [NBP1-92403]

Immunohistochemistry-Paraffin: SLC38A9 Antibody [NBP1-92403]

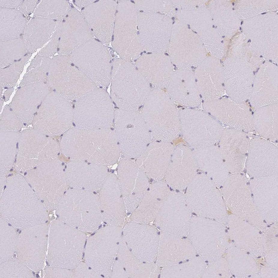
Immunohistochemistry-Paraffin: SLC38A9 Antibody [NBP1-92403] - Staining of human skeletal muscle shows no positivity as expected.
Immunohistochemistry-Paraffin: SLC38A9 Antibody [NBP1-92403]

Immunohistochemistry-Paraffin: SLC38A9 Antibody [NBP1-92403]

Immunohistochemistry-Paraffin: SLC38A9 Antibody [NBP1-92403] - Staining of human duodenum shows strong granular cytoplasmic positivity in glandular cells.

Applications for SLC38A9 Antibody - BSA Free

Application
Recommended Usage

Immunocytochemistry/ Immunofluorescence

0.25-2 ug/ml

Immunohistochemistry

1:200 - 1:500

Immunohistochemistry-Paraffin

1:200 - 1:500

Western Blot

Reactivity reported in (PMID: 25561175)
Application Notes
For IHC-Paraffin, HIER pH 6 retrieval is recommended. ICC/IF Fixation Permeabilization: Use PFA/Triton X-100.

Formulation, Preparation, and Storage

Purification

Affinity purified

Formulation

PBS (pH 7.2) and 40% Glycerol

Format

BSA Free

Preservative

0.02% Sodium Azide

Concentration

Concentrations vary lot to lot. See vial label for concentration. If unlisted please contact technical services.

Shipping

The product is shipped with polar packs. Upon receipt, store it immediately at the temperature recommended below.

Stability & Storage

Store at 4C short term. Aliquot and store at -20C long term. Avoid freeze-thaw cycles.

Background: SLC38A9

Putative sodium-dependent amino acid/proton antiporter

Alternate Names

FLJ46104, FLJ90709, MGC120544, putative sodium-coupled neutral amino acid transporter 9, solute carrier family 38, member 9

Gene Symbol

SLC38A9

Additional SLC38A9 Products

Product Documents for SLC38A9 Antibody - BSA Free

Certificate of Analysis

To download a Certificate of Analysis, please enter a lot number in the search box below.

Product Specific Notices for SLC38A9 Antibody - BSA Free

This product is for research use only and is not approved for use in humans or in clinical diagnosis. Primary Antibodies are guaranteed for 1 year from date of receipt.

Loading...
Loading...
Loading...
Loading...