Skip to main content

SHBG Antibody (rSHBG/245)

Novus Biologicals, part of Bio-Techne | Catalog # NBP3-48980

Recombinant Monoclonal Antibody
Novus Biologicals, part of Bio-Techne
Catalog #
Availability
Size / Price
Qty
Loading...
NBP3-48980-100ug
NBP3-48980-20ug

Key Product Details

Species Reactivity

Human

Applications

Immunohistochemistry, ELISA

Label

Unconjugated

Antibody Source

Recombinant Monoclonal Mouse IgG1 kappa Clone # rSHBG/245 expressed in CHO

Concentration

Please see the vial label for concentration. If unlisted please contact technical services.

Product Specifications

Immunogen

Recombinant full-length human SHBG protein (Uniprot: P04278)

Localization

Secreted

Clonality

Monoclonal

Host

Mouse

Isotype

IgG1 kappa

Theoretical MW

45 kDa.
Disclaimer note: The observed molecular weight of the protein may vary from the listed predicted molecular weight due to post translational modifications, post translation cleavages, relative charges, and other experimental factors.

Description

Prepared in 10mM PBS with 0.05% BSA & 0.05% azide. Also available WITHOUT BSA & azide at 1.0mg/ml.

Antibody with azide - store at 2 to 8 C. Antibody without azide - store at -20 to -80 C. Antibody is stable for 24 months. Non-hazardous. No MSDS required.

Scientific Data Images for SHBG Antibody (rSHBG/245)

SHBG Antibody (rSHBG/245)

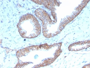
Immunohistochemistry-Paraffin: SHBG Antibody (rSHBG/245) [NBP3-48980] -

Formalin-fixed, paraffin-embedded human prostate stained with SHBG Antibody (rSHBG/245). HIER: Tris/EDTA, pH9.0, 45min. 2�C: HRP-polymer, 30min. DAB, 5min.

Applications for SHBG Antibody (rSHBG/245)

Application
Recommended Usage

ELISA

Optimal dilutions of this antibody should be experimentally determined.

Immunohistochemistry

Optimal dilutions of this antibody should be experimentally determined.

Formulation, Preparation, and Storage

Purification

Protein A or G purified

Formulation

10 mM PBS with 0.05% BSA

Preservative

0.05% Sodium Azide

Concentration

Please see the vial label for concentration. If unlisted please contact technical services.

Shipping

The product is shipped with polar packs. Upon receipt, store it immediately at the temperature recommended below.

Stability & Storage

Store at 4C.

Background: SHBG

The gene encodes an EF hand-containing small calcium binding protein. It is an integral subunit component of Kv4/D (Shal)-type voltage-gated rapidly inactivating A-type potassium channels. Kv4 potassium channels regulate action potentials in neurons and cardiac myocytes. The coexpression of ABP with pore-forming Kv4 alpha subunits causes changes in the gating and amplitude of Kv4 currents, thus profoundly affect the intracellular trafficking and molecular properties of Kv4.2 alpha subunits. It also cause a dramatic redistribution of Kv4.2, releasing intrinsic endoplasmic reticulum retention and allowing for trafficking to the cell surface. It may regulate A-type currents, and hence neuronal excitability, in response to changes in intracellular calcium. It maps to 5q35.1 region of human chromosome. Alternative splicing results in multiple transcript variant encoding different isoforms. Isoform 1 and isoform 2 are expressed in brain and kidney.

Long Name

Sex Hormone-binding Globulin

Alternate Names

ABP

Gene Symbol

SHBG

Additional SHBG Products

Product Documents for SHBG Antibody (rSHBG/245)

Certificate of Analysis

To download a Certificate of Analysis, please enter a lot number in the search box below.

Product Specific Notices for SHBG Antibody (rSHBG/245)

This product is for research use only and is not approved for use in humans or in clinical diagnosis. Primary Antibodies are guaranteed for 1 year from date of receipt.

Loading...
Loading...
Loading...
Loading...