Skip to main content

SERBP1 Antibody (SERBP1/3496) - Azide and BSA Free

Novus Biologicals, part of Bio-Techne | Catalog # NBP2-79844

Catalog #
Availability
Size / Price
Qty
Loading...
NBP2-79844
Conjugate
Catalog #

Key Product Details

Species Reactivity

Human

Applications

Immunohistochemistry, Immunohistochemistry-Paraffin, Western Blot, Protein Array

Label

Unconjugated

Antibody Source

Monoclonal Mouse IgG2c Kappa Clone # SERBP1/3496

Format

Azide and BSA Free

Concentration

1 mg/ml

Product Specifications

Immunogen

Recombinant fragment of human SERBP1 protein (around aa3-139) (exact sequence is proprietary) (Uniprot: Q8NC51)

Localization

Cytoplasm and nucleus. Also found in perinuclear regions.

Clonality

Monoclonal

Host

Mouse

Isotype

IgG2c Kappa

Theoretical MW

60 kDa.
Disclaimer note: The observed molecular weight of the protein may vary from the listed predicted molecular weight due to post translational modifications, post translation cleavages, relative charges, and other experimental factors.

Description

1.0 mg/ml of antibody purified from Bioreactor Concentrate by Protein A/G. Prepared in 10mM PBS WITHOUT BSA & azide. Also available at 200 ug/ml WITH BSA & azide (NBP2-79710).

Antibody with azide - store at 2 to 8C. Antibody without azide - store at -20 to -80 C.

Scientific Data Images for SERBP1 Antibody (SERBP1/3496) - Azide and BSA Free

Western Blot: SERBP1 Antibody (SERBP1/3496)Azide and BSA Free [NBP2-79844]

Western Blot: SERBP1 Antibody (SERBP1/3496)Azide and BSA Free [NBP2-79844]

Western Blot: SERBP1 Antibody (SERBP1/3496) - Azide and BSA Free [NBP2-79844] - Western Blot Analysis of K562 and PC3 cell lysates using SERBP1 antibody (SERBP1/3496).
Immunohistochemistry-Paraffin: SERBP1 Antibody (SERBP1/3496) - Azide and BSA Free [NBP2-79844]

Immunohistochemistry-Paraffin: SERBP1 Antibody (SERBP1/3496) - Azide and BSA Free [NBP2-79844]

Immunohistochemistry-Paraffin: SERBP1 Antibody (SERBP1/3496) - Azide and BSA Free [NBP2-79844] - Formalin-fixed, paraffin-embedded human Urothelial Carcinoma stained with SERBP1 Antibody (SERBP1/3496).
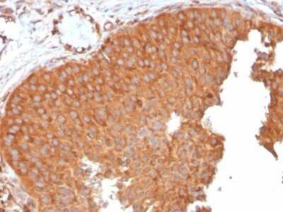
Immunohistochemistry-Paraffin: SERBP1 Antibody (SERBP1/3496) - Azide and BSA Free [NBP2-79844]

Immunohistochemistry-Paraffin: SERBP1 Antibody (SERBP1/3496) - Azide and BSA Free [NBP2-79844]

Immunohistochemistry-Paraffin: SERBP1 Antibody (SERBP1/3496) - Azide and BSA Free [NBP2-79844] - Formalin-fixed, paraffin-embedded human Kidney stained with SERBP1 Antibody (SERBP1/3496).

Applications for SERBP1 Antibody (SERBP1/3496) - Azide and BSA Free

Application
Recommended Usage

Immunohistochemistry

1-2 ug/ml

Immunohistochemistry-Paraffin

1-2 ug/ml

Western Blot

1-2 ug/ml
Application Notes
Immunohistochemistry (Formalin-fixed): 1-2ug/ml for 30 minutes at RT. Staining of formalin-fixed tissues requires heating tissue sections in 10mM Tris with 1mM EDTA, pH 9.0, for 45 min at 95C followed by cooling at RT for 20 minutes.
Optimal dilution for a specific application should be determined.

Formulation, Preparation, and Storage

Purification

Protein A or G purified

Formulation

10 mM PBS

Format

Azide and BSA Free

Preservative

No Preservative

Concentration

1 mg/ml

Shipping

The product is shipped with polar packs. Upon receipt, store it immediately at the temperature recommended below.

Stability & Storage

Store at -20 to -80C. Avoid freeze-thaw cycles.

Background: SERBP1

SERBP1 may play a role in the regulation of mRNA stability. Binds to the 3'-most 134 nt of the SERPINE1/PAI1 mRNA, a region which confers cyclic nucleotide regulation of messagedecay

Alternate Names

CGI-55, CHD3IP, chromodomain helicase DNA binding protein 3 interacting protein, DKFZP564M2423, HABP4L, PAI-1 mRNA binding protein, PAI1 RNA-binding protein 1, PAI-RBP1DKFZp564M2423, PAIRBP1FLJ90489, plasminogen activator inhibitor 1 RNA binding protein, plasminogen activator inhibitor 1 RNA-binding protein, SERPINE1 mRNA binding protein 1, SERPINE1 mRNA-binding protein 1

Gene Symbol

SERBP1

Additional SERBP1 Products

Product Documents for SERBP1 Antibody (SERBP1/3496) - Azide and BSA Free

Certificate of Analysis

To download a Certificate of Analysis, please enter a lot number in the search box below.

Product Specific Notices for SERBP1 Antibody (SERBP1/3496) - Azide and BSA Free

This product is for research use only and is not approved for use in humans or in clinical diagnosis. Primary Antibodies are guaranteed for 1 year from date of receipt.

Loading...
Loading...
Loading...
Loading...