Skip to main content

SERBP1 Antibody (OTI5G2)

Novus Biologicals, part of Bio-Techne | Catalog # NBP2-45763

Novus Biologicals, part of Bio-Techne
Catalog #
Availability
Size / Price
Qty
Loading...
NBP2-45763

Key Product Details

Species Reactivity

Human, Mouse

Applications

Immunohistochemistry, Immunohistochemistry-Paraffin, Western Blot

Label

Unconjugated

Antibody Source

Monoclonal Mouse IgG2A Clone # OTI5G2

Concentration

1 mg/ml

Product Specifications

Immunogen

Human recombinant protein fragment corresponding to amino acids 1-262 of human SERBP1 (NP_001018078) produced in E.coli.

Reactivity Notes

Please note that this antibody is reactive to Mouse and derived from the same host, Mouse. Mouse-On-Mouse blocking reagent may be needed for IHC and ICC experiments to reduce high background signal. You can find these reagents under catalog numbers PK-2200-NB and MP-2400-NB. Please contact Technical Support if you have any questions.

Clonality

Monoclonal

Host

Mouse

Isotype

IgG2A

Theoretical MW

44.1 kDa.
Disclaimer note: The observed molecular weight of the protein may vary from the listed predicted molecular weight due to post translational modifications, post translation cleavages, relative charges, and other experimental factors.

Description

Novus Biologicals Mouse SERBP1 Antibody (OTI5G2) (NBP2-45763) is a monoclonal antibody validated for use in IHC and WB. All Novus Biologicals antibodies are covered by our 100% guarantee.

Scientific Data Images for SERBP1 Antibody (OTI5G2)

Western Blot: SERBP1 Antibody (OTI5G2) [NBP2-45763]

Western Blot: SERBP1 Antibody (OTI5G2) [NBP2-45763]

Western Blot: SERBP1 Antibody (5G2) [NBP2-45763] - Analysis of HEK293T cells were transfected with the pCMV6-ENTRY control (Left lane) or pCMV6-ENTRY SERBP1.
Immunohistochemistry: SERBP1 Antibody (OTI5G2) [NBP2-45763]

Immunohistochemistry: SERBP1 Antibody (OTI5G2) [NBP2-45763]

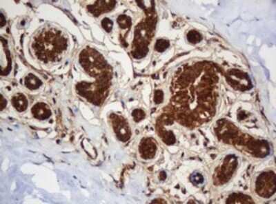
Immunohistochemistry: SERBP1 Antibody (5G2) [NBP2-45763] - Analysis of Human endometrium tissue. (Heat-induced epitope retrieval by 10mM citric buffer, pH6.0, 120C for 3min)
Immunohistochemistry: SERBP1 Antibody (OTI5G2) [NBP2-45763]

Immunohistochemistry: SERBP1 Antibody (OTI5G2) [NBP2-45763]

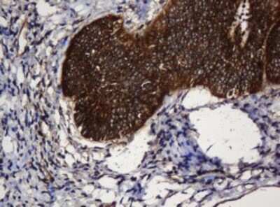
Immunohistochemistry: SERBP1 Antibody (5G2) [NBP2-45763] - Analysis of Carcinoma of Human lung tissue.(Heat-induced epitope retrieval by 10mM citric buffer, pH6.0, 120C for 3min)

Applications for SERBP1 Antibody (OTI5G2)

Application
Recommended Usage

Immunohistochemistry

1:150

Western Blot

1:2000

Formulation, Preparation, and Storage

Purification

Immunogen affinity purified

Formulation

PBS (pH 7.3), 1.0% BSA and 50% Glycerol

Preservative

0.02% Sodium Azide

Concentration

1 mg/ml

Shipping

The product is shipped with polar packs. Upon receipt, store it immediately at the temperature recommended below.

Stability & Storage

Store at -20C. Avoid freeze-thaw cycles.

Background: SERBP1

SERBP1 may play a role in the regulation of mRNA stability. Binds to the 3'-most 134 nt of the SERPINE1/PAI1 mRNA, a region which confers cyclic nucleotide regulation of messagedecay

Alternate Names

CGI-55, CHD3IP, chromodomain helicase DNA binding protein 3 interacting protein, DKFZP564M2423, HABP4L, PAI-1 mRNA binding protein, PAI1 RNA-binding protein 1, PAI-RBP1DKFZp564M2423, PAIRBP1FLJ90489, plasminogen activator inhibitor 1 RNA binding protein, plasminogen activator inhibitor 1 RNA-binding protein, SERPINE1 mRNA binding protein 1, SERPINE1 mRNA-binding protein 1

Gene Symbol

SERBP1

Additional SERBP1 Products

Product Documents for SERBP1 Antibody (OTI5G2)

Certificate of Analysis

To download a Certificate of Analysis, please enter a lot number in the search box below.

Product Specific Notices for SERBP1 Antibody (OTI5G2)

This product is for research use only and is not approved for use in humans or in clinical diagnosis. Primary Antibodies are guaranteed for 1 year from date of receipt.

Loading...
Loading...
Loading...
Loading...